Rabbit anti-Human ASK1 Polyclonal Antibody | anti-ASK1 antibody
Phospho-ASK1 (Ser83) Antibody
Phosphate buffered saline, pH 7.4, 150mM NaCl, 0.02% sodium azide and 50% glycerol.
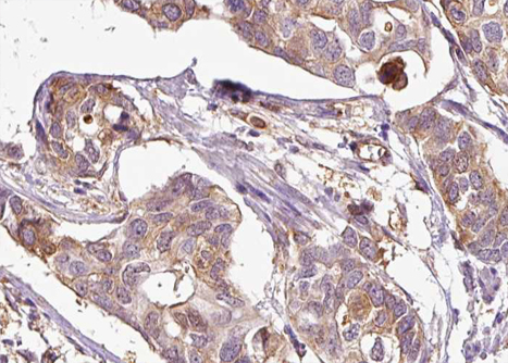
IHC (Immunohistochemisry)
(AAA321764 at 1/100 staining human Breast cancer tissue sections by IHC-P. The tissue was formaldehyde fixed and a heat mediated antigen retrieval step in citrate buffer was performed. The tissue was then blocked and incubated with the antibody for 1.5 hours at 22 degree C. An HRP conjugated goat anti-rabbit antibody was used as the secondary.)
WB (Western Blot)
(Western blot analysis of ASK1 phosphorylation expression in TNF-alpha treated MDA-MB-435 whole cell lysates, The lane on the left is treated with the antigen-specific peptide.)
IF (Immunofluorescence)
(AAA321764 staining MDA-MB-435 by IF/ICC. The sample were fixed with PFA and permeabilized in 0.1% Triton X-100, then blocked in 10% serum for 45 minutes at 25 degree C. The primary antibody was diluted at 1/200 and incubated with the sample for 1 hour at 37 degree C. An Alexa Fluor 594 conjugated goat anti-rabbit IgG (H+L) Ab, diluted at 1/600, was used as the secondary antibody.)
Function: Serine/threonine kinase which acts as an essential component of the MAP kinase signal transduction pathway. Plays an important role in the cascades of cellular responses evoked by changes in the environment. Mediates signaling for determination of cell fate such as differentiation and survival. Plays a crucial role in the apoptosis signal transduction pathway through mitochondria-dependent caspase activation. MAP3K5/ASK1 is required for the innate immune response, which is essential for host defense against a wide range of pathogens. Mediates signal transduction of various stressors like oxidative stress as well as by receptor-mediated inflammatory signals, such as the tumor necrosis factor (TNF) or lipopolysaccharide (LPS). Once activated, acts as an upstream activator of the MKK/JNK signal transduction cascade and the p38 MAPK signal transduction cascade through the phosphorylation and activation of several MAP kinase kinases like MAP2K4/SEK1, MAP2K3/MKK3, MAP2K6/MKK6 and MAP2K7/MKK7. These MAP2Ks in turn activate p38 MAPKs and c-jun N-terminal kinases (JNKs). Both p38 MAPK and JNKs control the transcription factors activator protein-1 (AP-1).
Subunit Structure: Homodimer when inactive. Binds both upstream activators and downstream substrates in multimolecular complexes. Associates with and inhibited by HIV-1 Nef (PubMed:11298454). Part of a cytoplasmic complex made of HIPK1, DAB2IP and MAP3K5 in response to TNF (PubMed:15310755, PubMed:15701637, PubMed:17210579, PubMed:17389591). This complex formation promotes MAP3K5-JNK activation and subsequent apoptosis. Interacts with SOCS1 which recognizes phosphorylation of Tyr-718 and induces MAP3K5/ASK1 degradation in endothelial cells. Interacts with the 14-3-3 family proteins such as YWHAB, YWHAE, YWHAQ, YWHAH, YWHAZ and SFN (PubMed:10411906, PubMed:15023544, PubMed:15094778). Interacts with ARRB2, BIRC2, DAB2IP, IGF1R, MAP3K6/ASK2, PGAM5, PIM1, PPP5C, SOCS1, STUB1, TRAF2, TRAF6 and TXN (PubMed:9564042, PubMed:9774977, PubMed:10688666, PubMed:11090355, PubMed:11689443, PubMed:12556535, PubMed:12813029, PubMed:15310755, PubMed:16038411, PubMed:16129676, PubMed:16407264, PubMed:17220297, PubMed:17724081, PubMed:18408005, PubMed:19590015, PubMed:19749799). Interacts with ERN1 in a TRAF2-dependent manner (PubMed:14749717). Interacts with calcineurin subunit PPP3R1 and with PPM1L (PubMed:17456047) (By similarity). Interacts (via N-terminus) with RAF1 and this interaction inhibits the proapoptotic function of MAP3K5 (PubMed:11427728). Interacts with DAB2IP (via N-terminus C2 domain); the interaction occurs in a TNF-alpha-dependent manner (PubMed:15310755). Interacts with DUSP13/DUSP13A; may positively regulate apoptosis (PubMed:20358250). Interacts with DAXX (PubMed:9743501). Interacts with RC3H2 (PubMed:24448648).
Post-translational Modifications: Phosphorylated at Thr-838 through autophosphorylation and by MAP3K6/ASK2 which leads to activation. Thr-838 is dephosphorylated by PPP5C. Ser-83 and Ser-1033 are inactivating phosphorylation sites, the former of which is phosphorylated by AKT1 and AKT2. Phosphorylated at Ser-966 which induces association of MAP3K5/ASK1 with the 14-3-3 family proteins and suppresses MAP3K5/ASK1 activity. Calcineurin (CN) dephosphorylates this site. Also dephosphorylated and activated by PGAM5. Ubiquitinated. Tumor necrosis factor (TNF) induces TNFR2-dependent ubiquitination leading to proteasomal degradation.
Similarity: Belongs to the protein kinase superfamily. STE Ser/Thr protein kinase family. MAP kinase kinase kinase subfamily.
NCBI and Uniprot Product Information
Predicted: 155 kDa
Customer Reviews
Loading reviews...
Share Your Experience
Similar Products
Product Notes
The ASK1 map3k5 (Catalog #AAA321764) is an Antibody produced from Rabbit and is intended for research purposes only. The product is available for immediate purchase. The Phospho-ASK1 (Ser83) Antibody reacts with Human and may cross-react with other species as described in the data sheet. AAA Biotech's ASK1 can be used in a range of immunoassay formats including, but not limited to, ELISA, ICC (Immunocytochemistry), IF (Immunofluorescence), IHC (Immunohistochemistry), WB (Western Blot). Researchers should empirically determine the suitability of the ASK1 map3k5 for an application not listed in the data sheet. Researchers commonly develop new applications and it is an integral, important part of the investigative research process. It is sometimes possible for the material contained within the vial of "ASK1, Polyclonal Antibody" to become dispersed throughout the inside of the vial, particularly around the seal of said vial, during shipment and storage. We always suggest centrifuging these vials to consolidate all of the liquid away from the lid and to the bottom of the vial prior to opening. Please be advised that certain products may require dry ice for shipping and that, if this is the case, an additional dry ice fee may also be required.Precautions
All products in the AAA Biotech catalog are strictly for research-use only, and are absolutely not suitable for use in any sort of medical, therapeutic, prophylactic, in-vivo, or diagnostic capacity. By purchasing a product from AAA Biotech, you are explicitly certifying that said products will be properly tested and used in line with industry standard. AAA Biotech and its authorized distribution partners reserve the right to refuse to fulfill any order if we have any indication that a purchaser may be intending to use a product outside of our accepted criteria.Disclaimer
Though we do strive to guarantee the information represented in this datasheet, AAA Biotech cannot be held responsible for any oversights or imprecisions. AAA Biotech reserves the right to adjust any aspect of this datasheet at any time and without notice. It is the responsibility of the customer to inform AAA Biotech of any product performance issues observed or experienced within 30 days of receipt of said product. To see additional details on this or any of our other policies, please see our Terms & Conditions page.Item has been added to Shopping Cart
If you are ready to order, navigate to Shopping Cart and get ready to checkout.
