Rabbit ATF2 Polyclonal Antibody | anti-ATF2 antibody
ATF2 Antibody
Phosphate buffered saline, pH 7.4, 150mM NaCl, 0.02% sodium azide and 50% glycerol.
IF (Immunofluorescence)
(AAA322230 staining Hela by IF/ICC. The sample were fixed with PFA and permeabilized in 0.1% Triton X-100, then blocked in 10% serum for 45 minutes at 25 degree C. The primary antibody was diluted at 1/200 and incubated with the sample for 1 hour at 37 degree C. An Alexa Fluor 594 conjugated goat anti-rabbit IgG (H+L) Ab, diluted at 1/600, was used as the secondary antibody.)
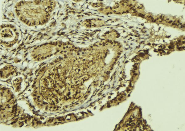
IHC (Immunohiostchemistry)
(AAA322230 at 1/100 staining Mouse colon tissue by IHC-P. The sample was formaldehyde fixed and a heat mediated antigen retrieval step in citrate buffer was performed. The sample was then blocked and incubated with the antibody for 1.5 hours at 22 degree C. An HRP conjugated goat anti-rabbit antibody was used as the secondary.)
WB (Western Blot)
(Western blot analysis of ATF2 expression in HeLa whole cell lysates, The lane on the left is treated with the antigen-specific peptide.)
Function: Transcriptional activator which regulates the transcription of various genes, including those involved in anti-apoptosis, cell growth, and DNA damage response. Dependent on its binding partner, binds to CRE (cAMP response element) consensus sequences (5'-TGACGTCA-3') or to AP-1 (activator protein 1) consensus sequences (5'-TGACTCA-3'). In the nucleus, contributes to global transcription and the DNA damage response, in addition to specific transcriptional activities that are related to cell development, proliferation and death. In the cytoplasm, interacts with and perturbs HK1-and VDAC1-containing complexes at the mitochondrial outer membrane, thereby impairing mitochondrial membrane potential, inducing mitochondrial leakage and promoting cell death. The phosphorylated form (mediated by ATM) plays a role in the DNA damage response and is involved in the ionizing radiation (IR)-induced S phase checkpoint control and in the recruitment of the MRN complex into the IR-induced foci (IRIF). Exhibits histone acetyltransferase (HAT) activity which specifically acetylates histones H2B and H4 in vitro. In concert with CUL3 and RBX1, promotes the degradation of KAT5 thereby attenuating its ability to acetylate and activate ATM. Can elicit oncogenic or tumor suppressor activities depending on the tissue or cell type.
Subunit Structure: Binds DNA as a dimer and can form a homodimer in the absence of DNA. Can form a heterodimer with JUN. Heterodimerization is essential for its transcriptional activity. Interacts with SMAD3 and SMAD4. Binds through its N-terminal region to UTF1 which acts as a coactivator of ATF2 transcriptional activity. Interacts with the HK1/VDAC1 complex. Interacts with NBN, MRE11, XPO1, KAT5 and CUL3.
Post-translational Modifications: Phosphorylation of Thr-69 by MAPK14 and MAPK11, and at Thr-71 by MAPK1/ERK2, MAPK3/ERK1, MAPK11, MAPK12 and MAPK14 in response to external stimulus like insulin causes increased transcriptional activity. Phosphorylated by PLK3 following hyperosmotic stress. Also phosphorylated and activated by JNK and CaMK4. ATM-mediated phosphorylation at Ser-490 and Ser-498 stimulates its function in DNA damage response. Phosphorylation at Ser-62, Thr-73 and Ser-121 activates its transcriptional activity. Phosphorylation at Thr-69 or Thr-71 enhances its histone acetyltransferase (HAT) activity.
Similarity: The nuclear export signal 1 (N-NES) negatively regulates its nuclear localization and transcriptional activity. Belongs to the bZIP family. ATF subfamily.
NCBI and Uniprot Product Information
Predicted: 55 kDa
Customer Reviews
Loading reviews...
Share Your Experience
Similar Products
Product Notes
The ATF2 atf2 (Catalog #AAA322230) is an Antibody produced from Rabbit and is intended for research purposes only. The product is available for immediate purchase. The ATF2 Antibody reacts with Human, Mouse, Rat and may cross-react with other species as described in the data sheet. AAA Biotech's ATF2 can be used in a range of immunoassay formats including, but not limited to, ELISA, IP (Immunoprecipitation), ICC (Immunocytochemistry), IF (Immunofluorescence), IHC (Immunohistochemistry), WB (Western Blot). Researchers should empirically determine the suitability of the ATF2 atf2 for an application not listed in the data sheet. Researchers commonly develop new applications and it is an integral, important part of the investigative research process. It is sometimes possible for the material contained within the vial of "ATF2, Polyclonal Antibody" to become dispersed throughout the inside of the vial, particularly around the seal of said vial, during shipment and storage. We always suggest centrifuging these vials to consolidate all of the liquid away from the lid and to the bottom of the vial prior to opening. Please be advised that certain products may require dry ice for shipping and that, if this is the case, an additional dry ice fee may also be required.Precautions
All products in the AAA Biotech catalog are strictly for research-use only, and are absolutely not suitable for use in any sort of medical, therapeutic, prophylactic, in-vivo, or diagnostic capacity. By purchasing a product from AAA Biotech, you are explicitly certifying that said products will be properly tested and used in line with industry standard. AAA Biotech and its authorized distribution partners reserve the right to refuse to fulfill any order if we have any indication that a purchaser may be intending to use a product outside of our accepted criteria.Disclaimer
Though we do strive to guarantee the information represented in this datasheet, AAA Biotech cannot be held responsible for any oversights or imprecisions. AAA Biotech reserves the right to adjust any aspect of this datasheet at any time and without notice. It is the responsibility of the customer to inform AAA Biotech of any product performance issues observed or experienced within 30 days of receipt of said product. To see additional details on this or any of our other policies, please see our Terms & Conditions page.Item has been added to Shopping Cart
If you are ready to order, navigate to Shopping Cart and get ready to checkout.
