Rabbit ATP7B Polyclonal Antibody | anti-ATP7B antibody
ATP7B Polyclonal Antibody
Gene Names
ATP7B; WD; PWD; WC1; WND
Reactivity
Human, Mouse, Rat
Applications
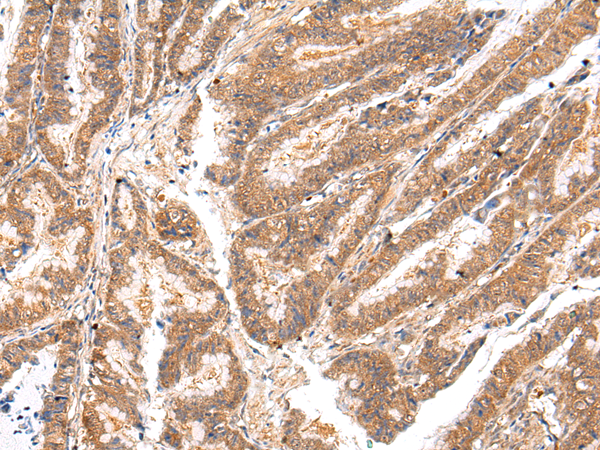
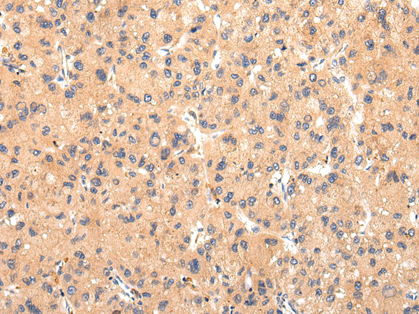
Immunohistochemistry, ELISA
Purity
Antigen Affinity Purification
Synonyms
ATP7B, Antibody; ATP7B Polyclonal Antibody; WD; PWD; WC1; WND; anti-ATP7B antibody
Host
Rabbit
Reactivity
Human, Mouse, Rat
Clonality
Polyclonal
Isotype
IgG
Purity/Purification
Antigen Affinity Purification
Concentration
1.4mg/ml (varies by lot)
Sequence Length
18
Applicable Applications for anti-ATP7B antibody
IHC (Immunohistochemistry), ELISA
Immunogen
Synthetic peptide of human ATP7B
Buffer
PBS with 0.05% sodium azide, 50% glycerol, pH7.3
Preparation and Storage
Store at -20 degree C. Avoid freeze/thaw cycles.
Related Product Information for anti-ATP7B antibody
This gene is a member of the P-type cation transport ATPase family and encodes a protein with several membrane-spanning domains, an ATPase consensus sequence, a hinge domain, a phosphorylation site, and at least 2 putative copper-binding sites. This protein functions as a monomer, exporting copper out of the cells, such as the efflux of hepatic copper into the bile. Alternate transcriptional splice variants, encoding different isoforms with distinct cellular localizations, have been characterized. Mutations in this gene have been associated with Wilson disease (WD).
NCBI and Uniprot Product Information
NCBI GI #
NCBI GeneID
Molecular Weight
155,125 Da
NCBI Official Full Name
ATP7B, partial
NCBI Official Synonym Full Names
ATPase copper transporting beta
NCBI Official Symbol
ATP7B
NCBI Official Synonym Symbols
WD; PWD; WC1; WND
NCBI Protein Information
copper-transporting ATPase 2
UniProt Protein Name
Copper-transporting ATPase 2
UniProt Gene Name
ATP7B
UniProt Synonym Gene Names
PWD; WC1; WND
UniProt Entry Name
ATP7B_HUMAN
Similar Products
Product Notes
The ATP7B atp7b (Catalog #AAA173418) is an Antibody produced from Rabbit and is intended for research purposes only. The product is available for immediate purchase. The ATP7B Polyclonal Antibody reacts with Human, Mouse, Rat and may cross-react with other species as described in the data sheet. AAA Biotech's ATP7B can be used in a range of immunoassay formats including, but not limited to, IHC (Immunohistochemistry), ELISA. Researchers should empirically determine the suitability of the ATP7B atp7b for an application not listed in the data sheet. Researchers commonly develop new applications and it is an integral, important part of the investigative research process. It is sometimes possible for the material contained within the vial of "ATP7B, Polyclonal Antibody" to become dispersed throughout the inside of the vial, particularly around the seal of said vial, during shipment and storage. We always suggest centrifuging these vials to consolidate all of the liquid away from the lid and to the bottom of the vial prior to opening. Please be advised that certain products may require dry ice for shipping and that, if this is the case, an additional dry ice fee may also be required.Precautions
All products in the AAA Biotech catalog are strictly for research-use only, and are absolutely not suitable for use in any sort of medical, therapeutic, prophylactic, in-vivo, or diagnostic capacity. By purchasing a product from AAA Biotech, you are explicitly certifying that said products will be properly tested and used in line with industry standard. AAA Biotech and its authorized distribution partners reserve the right to refuse to fulfill any order if we have any indication that a purchaser may be intending to use a product outside of our accepted criteria.Disclaimer
Though we do strive to guarantee the information represented in this datasheet, AAA Biotech cannot be held responsible for any oversights or imprecisions. AAA Biotech reserves the right to adjust any aspect of this datasheet at any time and without notice. It is the responsibility of the customer to inform AAA Biotech of any product performance issues observed or experienced within 30 days of receipt of said product. To see additional details on this or any of our other policies, please see our Terms & Conditions page.Item has been added to Shopping Cart
If you are ready to order, navigate to Shopping Cart and get ready to checkout.
