Rabbit ATPIF1 Polyclonal Antibody | anti-ATPIF1 antibody
ATPIF1 Antibody
Gene Names
ATP5IF1; IP; ATPI; ATPIP; ATPIF1
Reactivity
Human, Mouse, MonkeyPredicted: Pig, Bovine
Applications
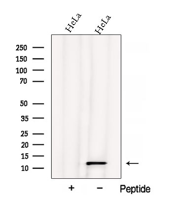
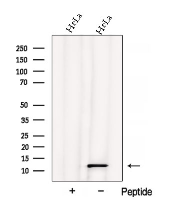
Western Blot
Purity
The antiserum was purified by peptide affinity chromatography using SulfoLink Coupling Resin (Thermo Fisher Scientific).
Synonyms
ATPIF1, Antibody; ATPIF1 Antibody; ATIF1_HUMAN; ATP synthase inhibitor protein; ATPase inhibitor; ATPase inhibitor mitochondrial; ATPase inhibitor protein; ATPase inhibitory factor 1; ATPI; ATPIF 1; Atpif1; ATPIP; IF(1); IF1; Inhibitor of F(1)F(o)-ATPase; IP; MGC1167; MGC8898, mitochondrial; anti-ATPIF1 antibody
Host
Rabbit
Reactivity
Human, Mouse, Monkey
Predicted: Pig, Bovine
Predicted: Pig, Bovine
Clonality
Polyclonal
Isotype
IgG
Specificity
ATPIF1 Antibody detects endogenous levels of ATPIF1.
Purity/Purification
The antiserum was purified by peptide affinity chromatography using SulfoLink Coupling Resin (Thermo Fisher Scientific).
Form/Format
Liquid; Phosphate buffered saline, pH 7.4, 150mM NaCl, 0.02% sodium azide and 50% glycerol.
Concentration
1mg/ml (varies by lot)
Sequence Length
106
Applicable Applications for anti-ATPIF1 antibody
WB (Western Blot)
Immunogen
A synthesized peptide derived from human ATPIF1.
Fragment
Fab Fragment
Conjugate
Unconjugated
Subcellular Location
Mitochondrion
Preparation and Storage
Store at -20 degree C. Stable for 12 months from date of receipt.
Related Product Information for anti-ATPIF1 antibody
Description: Endogenous F1F(o)-ATPase inhibitor limiting ATP depletion when the mitochondrial membrane potential falls below a threshold and the F1F(o)-ATP synthase starts hydrolyzing ATP to pump protons out of the mitochondrial matrix. Required to avoid the consumption of cellular ATP when the F1F(o)-ATP synthase enzyme acts as an ATP hydrolase. Indirectly acts as a regulator of heme synthesis in erythroid tissues: regulates heme synthesis by modulating the mitochondrial pH and redox potential, allowing FECH to efficiently catalyze the incorporation of iron into protoporphyrin IX to produce heme.
Post Translational Modifications: Exhibits variability in chain length, mitochondria have distinct pools of protein cleaved after the 24th, 25th, and 26th amino acid.
Subunit Structure: Homodimer; represents the active form and is present at a pH value below 6.5. Homotetramer; represents the inactive form and is present at a pH value above 7.0 (By similarity).
Similarity: Forms an alpha-helical dimer with monomers associated via an antiparallel alpha-helical coiled coil composed of residues 74-106, leaving each N-terminal inhibitory region (residues 26-52) accessible for interaction with an F1 catalytic domain. The inhibitory N-terminal region (residues 26-52) binds the alpha(ADP-bound)-beta(ADP-bound) (ATP5F1A-ATP5F1B) interface of F1-ATPase, and also contact the central gamma subunit (ATP5F1C). This dimeric state is favored by pH values below 7.0, and at higher values the dimers associate to form inactive homotetramer, where the inhibitory region is occluded, masking its inhibitory activity (By similarity). Belongs to the ATPase inhibitor family.
Post Translational Modifications: Exhibits variability in chain length, mitochondria have distinct pools of protein cleaved after the 24th, 25th, and 26th amino acid.
Subunit Structure: Homodimer; represents the active form and is present at a pH value below 6.5. Homotetramer; represents the inactive form and is present at a pH value above 7.0 (By similarity).
Similarity: Forms an alpha-helical dimer with monomers associated via an antiparallel alpha-helical coiled coil composed of residues 74-106, leaving each N-terminal inhibitory region (residues 26-52) accessible for interaction with an F1 catalytic domain. The inhibitory N-terminal region (residues 26-52) binds the alpha(ADP-bound)-beta(ADP-bound) (ATP5F1A-ATP5F1B) interface of F1-ATPase, and also contact the central gamma subunit (ATP5F1C). This dimeric state is favored by pH values below 7.0, and at higher values the dimers associate to form inactive homotetramer, where the inhibitory region is occluded, masking its inhibitory activity (By similarity). Belongs to the ATPase inhibitor family.
NCBI and Uniprot Product Information
NCBI GI #
NCBI GeneID
UniProt Accession #
Molecular Weight
Observed: 12 kDa
Predicted: 13 kDa
Predicted: 13 kDa
NCBI Official Full Name
ATPase inhibitor, mitochondrial
NCBI Official Synonym Full Names
ATP synthase inhibitory factor subunit 1
NCBI Official Symbol
ATP5IF1
NCBI Official Synonym Symbols
IP; ATPI; ATPIP; ATPIF1
NCBI Protein Information
ATPase inhibitor, mitochondrial
UniProt Protein Name
ATPase inhibitor, mitochondrial
UniProt Gene Name
ATPIF1
UniProt Synonym Gene Names
ATPI; IF(1); IF1
UniProt Entry Name
ATIF1_HUMAN
Customer Reviews
Loading reviews...
Share Your Experience
Similar Products
Product Notes
The ATPIF1 atpif1 (Catalog #AAA328783) is an Antibody produced from Rabbit and is intended for research purposes only. The product is available for immediate purchase. The ATPIF1 Antibody reacts with Human, Mouse, Monkey Predicted: Pig, Bovine and may cross-react with other species as described in the data sheet. AAA Biotech's ATPIF1 can be used in a range of immunoassay formats including, but not limited to, WB (Western Blot). Researchers should empirically determine the suitability of the ATPIF1 atpif1 for an application not listed in the data sheet. Researchers commonly develop new applications and it is an integral, important part of the investigative research process. It is sometimes possible for the material contained within the vial of "ATPIF1, Polyclonal Antibody" to become dispersed throughout the inside of the vial, particularly around the seal of said vial, during shipment and storage. We always suggest centrifuging these vials to consolidate all of the liquid away from the lid and to the bottom of the vial prior to opening. Please be advised that certain products may require dry ice for shipping and that, if this is the case, an additional dry ice fee may also be required.Precautions
All products in the AAA Biotech catalog are strictly for research-use only, and are absolutely not suitable for use in any sort of medical, therapeutic, prophylactic, in-vivo, or diagnostic capacity. By purchasing a product from AAA Biotech, you are explicitly certifying that said products will be properly tested and used in line with industry standard. AAA Biotech and its authorized distribution partners reserve the right to refuse to fulfill any order if we have any indication that a purchaser may be intending to use a product outside of our accepted criteria.Disclaimer
Though we do strive to guarantee the information represented in this datasheet, AAA Biotech cannot be held responsible for any oversights or imprecisions. AAA Biotech reserves the right to adjust any aspect of this datasheet at any time and without notice. It is the responsibility of the customer to inform AAA Biotech of any product performance issues observed or experienced within 30 days of receipt of said product. To see additional details on this or any of our other policies, please see our Terms & Conditions page.Item has been added to Shopping Cart
If you are ready to order, navigate to Shopping Cart and get ready to checkout.
