Rabbit anti-Human, Mouse ATPIF1 Polyclonal Antibody | anti-ATPIF1 antibody
ATPIF1 Polyclonal Antibody
IF/ICC 1:50 - 1:100
IP: 0.5ug-4ug antibody for 200 ug-400 ug extracts of whole cells.
IHC (Immunohistchemistry)
(Immunohistochemistry of paraffin-embedded human trachea using ATPIF1 antibody at dilution of 1:100 (40x lens).)
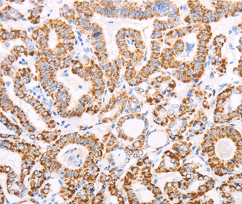
IHC (Immunohistochemistry)
(Immunohistochemistry of paraffin-embedded human liver cancer using ATPIF1 antibody at dilution of 1:100 (40x lens).)
IHC (Immunohistochemistry)
(Immunohistochemistry of paraffin-embedded human stomach using ATPIF1 antibody at dilution of 1:100 (40x lens).)
IP (Immunoprecipitation)
(Immunoprecipitation analysis of 300 ug extracts of K-562 cells using 3ug [KO Validated] ATPIF1 Rabbit pAb (AAA10772). Western blot was performed from theimmunoprecipitate using [KO Validated] ATPIF1 Rabbit pAb (AAA10772) at a dilution of 1:3000)
IF (Immunofluorescence)
(Immunofluorescence analysis of U2OS cells using [KO Validated] ATPIF1 Rabbit pAb (AAA10772) at dilution of 1:100. Secondary antibody: Cy3 Goat Anti-Rabbit IgG (H+L) at 1:500 dilution. Blue: DAPI for nuclear staining)
WB (Western Blot)
(Western blot analysis of lysates from wild type(WT) and ATPIF1 knockout (KO) 293T(KO)cells, using [KO Validated] ATPIF1 Rabbit pAb (AAA10772) at 1:1000 dilution.Secondary antibody: HRP Goat Anti-Rabbit IgG (H+L) (at 1:10000 dilution. Lysates/proteins: 25?g per lane. Blocking buffer: 3% nonfat dry milk in TBST. Detection: ECL Basic Kit Exposure time: 1s.)
Background: Enables several functions, including ATPase binding activity; angiostatin binding activity; and mitochondrial proton-transporting ATP synthase complex binding activity. Involved in several processes, including mitochondrial depolarization; negative regulation of ATPase activity; and regulation of protein targeting to mitochondrion. Located in cell surface and mitochondrion.
NCBI and Uniprot Product Information
Calculated MW: 12 KDa
Customer Reviews
Loading reviews...
Share Your Experience
Similar Products
Product Notes
The ATPIF1 atpif1 (Catalog #AAA10772) is an Antibody produced from Rabbit and is intended for research purposes only. The product is available for immediate purchase. The ATPIF1 Polyclonal Antibody reacts with Human, Mouse and may cross-react with other species as described in the data sheet. AAA Biotech's ATPIF1 can be used in a range of immunoassay formats including, but not limited to, WB (Western Blot), IF (Immunofluorescence), ICC (Immunocytochemistry), IP (Immunoprecipitation), ELISA. WB 1:500 - 1:1000 IF/ICC 1:50 - 1:100 IP: 0.5ug-4ug antibody for 200 ug-400 ug extracts of whole cells. Researchers should empirically determine the suitability of the ATPIF1 atpif1 for an application not listed in the data sheet. Researchers commonly develop new applications and it is an integral, important part of the investigative research process. It is sometimes possible for the material contained within the vial of "ATPIF1, Polyclonal Antibody" to become dispersed throughout the inside of the vial, particularly around the seal of said vial, during shipment and storage. We always suggest centrifuging these vials to consolidate all of the liquid away from the lid and to the bottom of the vial prior to opening. Please be advised that certain products may require dry ice for shipping and that, if this is the case, an additional dry ice fee may also be required.Precautions
All products in the AAA Biotech catalog are strictly for research-use only, and are absolutely not suitable for use in any sort of medical, therapeutic, prophylactic, in-vivo, or diagnostic capacity. By purchasing a product from AAA Biotech, you are explicitly certifying that said products will be properly tested and used in line with industry standard. AAA Biotech and its authorized distribution partners reserve the right to refuse to fulfill any order if we have any indication that a purchaser may be intending to use a product outside of our accepted criteria.Disclaimer
Though we do strive to guarantee the information represented in this datasheet, AAA Biotech cannot be held responsible for any oversights or imprecisions. AAA Biotech reserves the right to adjust any aspect of this datasheet at any time and without notice. It is the responsibility of the customer to inform AAA Biotech of any product performance issues observed or experienced within 30 days of receipt of said product. To see additional details on this or any of our other policies, please see our Terms & Conditions page.Item has been added to Shopping Cart
If you are ready to order, navigate to Shopping Cart and get ready to checkout.
