Rabbit anti-Human, Mouse AZI1 Polyclonal Antibody | anti-AZI1 antibody
AZI1 Antibody
Phosphate buffered saline, pH 7.4, 150mM NaCl, 0.02% sodium azide and 50% glycerol.
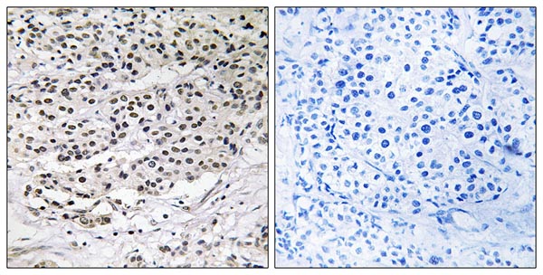
IHC (Immunohistochemisry)
(AAA324375 at 1/100 staining Human cervical cancer tissue by IHC-P. The sample was formaldehyde fixed and a heat mediated antigen retrieval step in citrate buffer was performed. The sample was then blocked and incubated with the antibody for 1.5 hours at 22 degree C. An HRP conjugated goat anti-rabbit antibody was used as the secondary.)
IF (Immunofluorescence)
(AAA324375 staining HuvEc cells by IF/ICC. The sample were fixed with PFA and permeabilized in 0.1% Triton X-100, then blocked in 10% serum for 45 minutes at 25 degree C. The primary antibody was diluted at 1/200 and incubated with the sample for 1 hour at 37 degree C. An Alexa Fluor 594 conjugated goat anti-rabbit IgG (H+L) antibody, diluted at 1/600, was used as secondary antibody.)
Subunit Structure: Self-associates. Associates with the centriolar satellite BBSome protein complex. Interacts with BBS4; the interaction limits BBS4 availability for association with the BBSome complex, and hence negatively regulates ciliary localization of the BBSome complex (PubMed:24550735). Interacts with MIB1 (PubMed:24121310). Interacts with PCM1; the interaction increases in response to ultraviolet light (UV) radiation (PubMed:22797915, PubMed:24121310). Associates with microtubules; association with microtubules is reduced in response to cellular stress, such as UV stimulation, in a process that requires p38 MAP kinase signaling (PubMed:24121310). Interacts with CEP290, DCTN1, PCNT, PCM1 and CEP152. Interacts with 14-3-3 proteins following UV-induced phosphorylation by MAPKAPK2; this inhibits formation of novel centriolar satellites (PubMed:26616734).
Post-translational Modifications: Ubiquitinated. Undergoes monoubiquitination catalyzed by the E3 ubiquitin-protein ligase MIB1 in proliferating cells, preventing cilia formation. Monoubiquitination by MIB1 is inhibited in response to cellular stress, such as ultraviolet light (UV) radiation or heat shock, resulting in cilia formation initiation. MAPKAPK2-dependent phosphorylation at Ser-47 and Ser-78 occurs in response to cellular stress such as exposure to ultraviolet irradiation and promotes binding to 14-3-3 proteins which leads to cytoplasmic sequestration of CEP131 and blocks formation of new centriolar satellites.
Similarity: Belongs to the CEP131 family.
NCBI and Uniprot Product Information
Predicted: 123 kDa
Customer Reviews
Loading reviews...
Share Your Experience
Similar Products
Product Notes
The AZI1 cep131 (Catalog #AAA324375) is an Antibody produced from Rabbit and is intended for research purposes only. The product is available for immediate purchase. The AZI1 Antibody reacts with Human, Mouse and may cross-react with other species as described in the data sheet. AAA Biotech's AZI1 can be used in a range of immunoassay formats including, but not limited to, ELISA, ICC (Immunocytochemistry), IF (Immunofluorescence), IHC (Immunohistochemistry), WB (Western Blot). Researchers should empirically determine the suitability of the AZI1 cep131 for an application not listed in the data sheet. Researchers commonly develop new applications and it is an integral, important part of the investigative research process. It is sometimes possible for the material contained within the vial of "AZI1, Polyclonal Antibody" to become dispersed throughout the inside of the vial, particularly around the seal of said vial, during shipment and storage. We always suggest centrifuging these vials to consolidate all of the liquid away from the lid and to the bottom of the vial prior to opening. Please be advised that certain products may require dry ice for shipping and that, if this is the case, an additional dry ice fee may also be required.Precautions
All products in the AAA Biotech catalog are strictly for research-use only, and are absolutely not suitable for use in any sort of medical, therapeutic, prophylactic, in-vivo, or diagnostic capacity. By purchasing a product from AAA Biotech, you are explicitly certifying that said products will be properly tested and used in line with industry standard. AAA Biotech and its authorized distribution partners reserve the right to refuse to fulfill any order if we have any indication that a purchaser may be intending to use a product outside of our accepted criteria.Disclaimer
Though we do strive to guarantee the information represented in this datasheet, AAA Biotech cannot be held responsible for any oversights or imprecisions. AAA Biotech reserves the right to adjust any aspect of this datasheet at any time and without notice. It is the responsibility of the customer to inform AAA Biotech of any product performance issues observed or experienced within 30 days of receipt of said product. To see additional details on this or any of our other policies, please see our Terms & Conditions page.Item has been added to Shopping Cart
If you are ready to order, navigate to Shopping Cart and get ready to checkout.
