Rabbit BAD Polyclonal Antibody | anti-BAD antibody
BAD Polyclonal Antibody
Gene Names
BAD; BBC2; BCL2L8
Reactivity
Human, Mouse, Rat
Applications
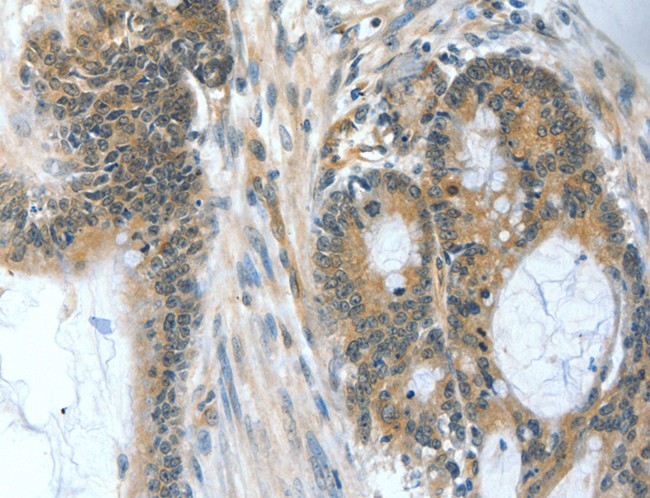
Immunohistochemistry, ELISA
Purity
Antigen affinity purification
Synonyms
BAD, Antibody; BAD Polyclonal Antibody; BBC2; BCL2L8; anti-BAD antibody
Host
Rabbit
Reactivity
Human, Mouse, Rat
Clonality
Polyclonal
Isotype
IgG
Purity/Purification
Antigen affinity purification
Concentration
2.3mg/mL (varies by lot)
Sequence Length
168
Applicable Applications for anti-BAD antibody
IHC (Immunohistochemistry), ELISA
Immunogen
Recombinant protein of human BAD
Buffer
PBS with 0.05% sodium azide, 50% glycerol, pH7.3
Preparation and Storage
Store at -20 degree C (regular) and -80 degree C (long term). Avoid freeze / thaw cycles.
Related Product Information for anti-BAD antibody
The protein encoded by this gene is a member of the BCL-2 family. BCL-2 family members are known to be regulators of programmed cell death. This protein positively regulates cell apoptosis by forming heterodimers with BCL-xL and BCL-2, and reversing their death repressor activity. Proapoptotic activity of this protein is regulated through its phosphorylation. Protein kinases AKT and MAP kinase, as well as protein phosphatase calcineurin were found to be involved in the regulation of this protein. Alternative splicing of this gene results in two transcript variants which encode the same isoform.
Product Categories/Family for anti-BAD antibody
NCBI and Uniprot Product Information
NCBI GI #
NCBI GeneID
NCBI Accession #
NCBI GenBank Nucleotide #
Molecular Weight
18,392 Da
NCBI Official Full Name
bcl2 antagonist of cell death
NCBI Official Synonym Full Names
BCL2-associated agonist of cell death
NCBI Official Symbol
BAD
NCBI Official Synonym Symbols
BBC2; BCL2L8
NCBI Protein Information
bcl2-associated agonist of cell death; BCL-X/BCL-2 binding protein; BCL2-antagonist of cell death protein; BCL2-binding component 6; BCL2-binding protein; bcl-2-binding component 6; bcl-2-like protein 8; bcl-XL/Bcl-2-associated death promoter; bcl2 antagonist of cell death; bcl2-L-8
UniProt Protein Name
Bcl2-associated agonist of cell death
UniProt Gene Name
BAD
UniProt Synonym Gene Names
BBC6; BCL2L8; BAD; Bcl2-L-8
UniProt Entry Name
BAD_HUMAN
Customer Reviews
Loading reviews...
Share Your Experience
Similar Products
Product Notes
The BAD bad (Catalog #AAA166280) is an Antibody produced from Rabbit and is intended for research purposes only. The product is available for immediate purchase. The BAD Polyclonal Antibody reacts with Human, Mouse, Rat and may cross-react with other species as described in the data sheet. AAA Biotech's BAD can be used in a range of immunoassay formats including, but not limited to, IHC (Immunohistochemistry), ELISA. Researchers should empirically determine the suitability of the BAD bad for an application not listed in the data sheet. Researchers commonly develop new applications and it is an integral, important part of the investigative research process. It is sometimes possible for the material contained within the vial of "BAD, Polyclonal Antibody" to become dispersed throughout the inside of the vial, particularly around the seal of said vial, during shipment and storage. We always suggest centrifuging these vials to consolidate all of the liquid away from the lid and to the bottom of the vial prior to opening. Please be advised that certain products may require dry ice for shipping and that, if this is the case, an additional dry ice fee may also be required.Precautions
All products in the AAA Biotech catalog are strictly for research-use only, and are absolutely not suitable for use in any sort of medical, therapeutic, prophylactic, in-vivo, or diagnostic capacity. By purchasing a product from AAA Biotech, you are explicitly certifying that said products will be properly tested and used in line with industry standard. AAA Biotech and its authorized distribution partners reserve the right to refuse to fulfill any order if we have any indication that a purchaser may be intending to use a product outside of our accepted criteria.Disclaimer
Though we do strive to guarantee the information represented in this datasheet, AAA Biotech cannot be held responsible for any oversights or imprecisions. AAA Biotech reserves the right to adjust any aspect of this datasheet at any time and without notice. It is the responsibility of the customer to inform AAA Biotech of any product performance issues observed or experienced within 30 days of receipt of said product. To see additional details on this or any of our other policies, please see our Terms & Conditions page.Item has been added to Shopping Cart
If you are ready to order, navigate to Shopping Cart and get ready to checkout.
