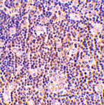
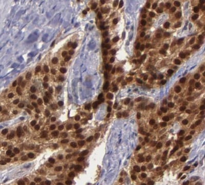
Rabbit anti-Human Bag-3 Polyclonal Antibody | anti-Bag-3 antibody
Bag-3 Polyclonal Antibody
Gene Names
BAG3; BIS; BAG-3; CAIR-1
Reactivity
Human
Applications
Immunohistochemistry, Western Blot
Synonyms
Bag-3, Antibody; Bag-3 Polyclonal Antibody; BAG3; BIS; BAG family molecular chaperone regulator 3; BAG-3; Bcl-2-associated athanogene 3; Bcl-2-binding protein Bis; Docking protein CAIR-1; anti-Bag-3 antibody
Host
Rabbit
Reactivity
Human
Clonality
Polyclonal
Applicable Applications for anti-Bag-3 antibody
IHC (Immunohistochemistry), WB (Western Blot)
Preparation and Storage
Maintain refrigerated at 2-8 degree C for up to 2 weeks. For long term storage store at -20 degree C in small aliquots to prevent freeze-thaw cycles.
Related Product Information for anti-Bag-3 antibody
Co-chaperone for HSP70 and HSC70 chaperone proteins. Acts as a nucleotide-exchange factor (NEF) promoting the release of ADP from the HSP70 and HSC70 proteins thereby triggering client/substrate protein release. Nucleotide release is mediated via its binding to the nucleotide-binding domain (NBD) of HSPA8/HSC70 where as the substrate release is mediated via its binding to the substrate-binding domain (SBD) of HSPA8/HSC70 (PubMed:27474739). Has anti-apoptotic activity (PubMed:10597216). Plays a role in the HSF1 nucleocytoplasmic transport (PubMed:26159920).
NCBI and Uniprot Product Information
NCBI GI #
NCBI GeneID
NCBI Accession #
NCBI GenBank Nucleotide #
Molecular Weight
61,595 Da
NCBI Official Full Name
BAG family molecular chaperone regulator 3
NCBI Official Synonym Full Names
BCL2-associated athanogene 3
NCBI Official Symbol
BAG3
NCBI Official Synonym Symbols
BIS; BAG-3; CAIR-1
NCBI Protein Information
BAG family molecular chaperone regulator 3; docking protein CAIR-1; BCL2-binding athanogene 3; bcl-2-binding protein Bis
UniProt Protein Name
BAG family molecular chaperone regulator 3
UniProt Gene Name
BAG3
UniProt Synonym Gene Names
BIS; BAG-3
UniProt Entry Name
BAG3_HUMAN
Customer Reviews
Loading reviews...
Share Your Experience
Similar Products
Product Notes
The Bag-3 bag3 (Catalog #AAA296329) is an Antibody produced from Rabbit and is intended for research purposes only. The product is available for immediate purchase. The Bag-3 Polyclonal Antibody reacts with Human and may cross-react with other species as described in the data sheet. AAA Biotech's Bag-3 can be used in a range of immunoassay formats including, but not limited to, IHC (Immunohistochemistry), WB (Western Blot). Researchers should empirically determine the suitability of the Bag-3 bag3 for an application not listed in the data sheet. Researchers commonly develop new applications and it is an integral, important part of the investigative research process. It is sometimes possible for the material contained within the vial of "Bag-3, Polyclonal Antibody" to become dispersed throughout the inside of the vial, particularly around the seal of said vial, during shipment and storage. We always suggest centrifuging these vials to consolidate all of the liquid away from the lid and to the bottom of the vial prior to opening. Please be advised that certain products may require dry ice for shipping and that, if this is the case, an additional dry ice fee may also be required.Precautions
All products in the AAA Biotech catalog are strictly for research-use only, and are absolutely not suitable for use in any sort of medical, therapeutic, prophylactic, in-vivo, or diagnostic capacity. By purchasing a product from AAA Biotech, you are explicitly certifying that said products will be properly tested and used in line with industry standard. AAA Biotech and its authorized distribution partners reserve the right to refuse to fulfill any order if we have any indication that a purchaser may be intending to use a product outside of our accepted criteria.Disclaimer
Though we do strive to guarantee the information represented in this datasheet, AAA Biotech cannot be held responsible for any oversights or imprecisions. AAA Biotech reserves the right to adjust any aspect of this datasheet at any time and without notice. It is the responsibility of the customer to inform AAA Biotech of any product performance issues observed or experienced within 30 days of receipt of said product. To see additional details on this or any of our other policies, please see our Terms & Conditions page.Item has been added to Shopping Cart
If you are ready to order, navigate to Shopping Cart and get ready to checkout.
