Rabbit BAI1 Polyclonal Antibody | anti-BAI1 antibody
BAI1 Antibody
Phosphate buffered saline, pH 7.4, 150mM NaCl, 0.02% sodium azide and 50% glycerol.
IF (Immunofluorescence)
(AAA325527 staining Hela by IF/ICC. The sample were fixed with PFA and permeabilized in 0.1% Triton X-100, then blocked in 10% serum for 45 minutes at 25 degree C. The primary antibody was diluted at 1/200 and incubated with the sample for 1 hour at 37 degree C. An Alexa Fluor 594 conjugated goat anti-rabbit IgG (H+L) Ab, diluted at 1/600, was used as the secondary antibody.)
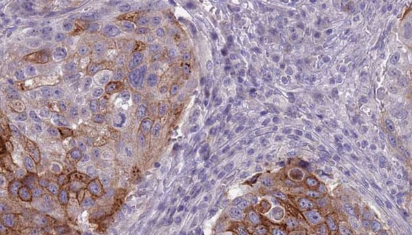
IHC (Immunohiostchemistry)
(AAA325527 at 1/100 staining Human urothelial cancer tissue by IHC-P. The sample was formaldehyde fixed and a heat mediated antigen retrieval step in citrate buffer was performed. The sample was then blocked and incubated with the antibody for 1.5 hours at 22 degree C. An HRP conjugated goat anti-rabbit antibody was used as the secondary.)
WB (Western Blot)
(Western blot analysis of extracts from Mouse Myeloma cell, using BAI1 Antibody. Lane 1 was treated with the blocking peptide.)
Subunit Structure: Interacts with ELMO1 and DOCK (By similarity). When bound to ELMO1 and DOCK1, acts as a module to promote apoptotic cell engulfment (By similarity). Interacts with MDM2; the interaction results in inhibition of MDM2-mediated ubiquitination and degradation of DLG4/PSD95 (By similarity). Interacts with PARD3 and TIAM1; the interaction is required for correct dendritic. localization of PARD3 and TIAM1 and for dendritic spine formation (PubMed:23595754). Interacts with MAGI1 (PubMed:9647739). Interacts with MAGI3 (PubMed:10748157). Interacts with BAIAP2 (PubMed:10343108). Interacts with PHYHIP (By similarity). Interacts with DLG4 (via PDZ domain) (PubMed:23782696). Vasculostatin-120: Interacts with CD36 (PubMed:19176395). Vasculostatin-120: Interacts with ARRB2 (PubMed:23782696). Interacts with BAIAP3; this interaction is direct (PubMed:9790924).
Post-translational Modifications: Proteolytically cleaved to produce vasculostatin-40 and vasculostatin-120 (PubMed:15782143, PubMed:22333914, PubMed:22330140). Vasculostatin-40 is the major form and is produced through proteolytic cleavage by MMP14 between residues 321 and 329 with cleavage likely to be between Ser-326 and Leu-327 (PubMed:22330140). Ubiquitinated.
Similarity: The TSP type-1 repeats in the extracellular domain mediate binding to phosphatidylserine. They are also required for bacterial recognition and binding to bacterial outer membrane lipopolysaccharide. Belongs to the G-protein coupled receptor 2 family. LN-TM7 subfamily.
NCBI and Uniprot Product Information
Predicted: 174 kDa
Customer Reviews
Loading reviews...
Share Your Experience
Similar Products
Product Notes
The BAI1 adgrb1 (Catalog #AAA325527) is an Antibody produced from Rabbit and is intended for research purposes only. The product is available for immediate purchase. The BAI1 Antibody reacts with Human, Mouse, Rat and may cross-react with other species as described in the data sheet. AAA Biotech's BAI1 can be used in a range of immunoassay formats including, but not limited to, ELISA, ICC (Immunocytochemistry), IF (Immunofluorescence), IHC (Immunohistochemistry), WB (Western Blot). Researchers should empirically determine the suitability of the BAI1 adgrb1 for an application not listed in the data sheet. Researchers commonly develop new applications and it is an integral, important part of the investigative research process. It is sometimes possible for the material contained within the vial of "BAI1, Polyclonal Antibody" to become dispersed throughout the inside of the vial, particularly around the seal of said vial, during shipment and storage. We always suggest centrifuging these vials to consolidate all of the liquid away from the lid and to the bottom of the vial prior to opening. Please be advised that certain products may require dry ice for shipping and that, if this is the case, an additional dry ice fee may also be required.Precautions
All products in the AAA Biotech catalog are strictly for research-use only, and are absolutely not suitable for use in any sort of medical, therapeutic, prophylactic, in-vivo, or diagnostic capacity. By purchasing a product from AAA Biotech, you are explicitly certifying that said products will be properly tested and used in line with industry standard. AAA Biotech and its authorized distribution partners reserve the right to refuse to fulfill any order if we have any indication that a purchaser may be intending to use a product outside of our accepted criteria.Disclaimer
Though we do strive to guarantee the information represented in this datasheet, AAA Biotech cannot be held responsible for any oversights or imprecisions. AAA Biotech reserves the right to adjust any aspect of this datasheet at any time and without notice. It is the responsibility of the customer to inform AAA Biotech of any product performance issues observed or experienced within 30 days of receipt of said product. To see additional details on this or any of our other policies, please see our Terms & Conditions page.Item has been added to Shopping Cart
If you are ready to order, navigate to Shopping Cart and get ready to checkout.
