Rabbit BCAT1/ECA39 Polyclonal Antibody | anti-BCAT1/ECA39 antibody
BCAT1/ECA39 Antibody
Gene Names
BCAT1; BCT1; PP18; BCATC; ECA39; MECA39; PNAS121
Reactivity
Human, Mouse, Rat
Applications
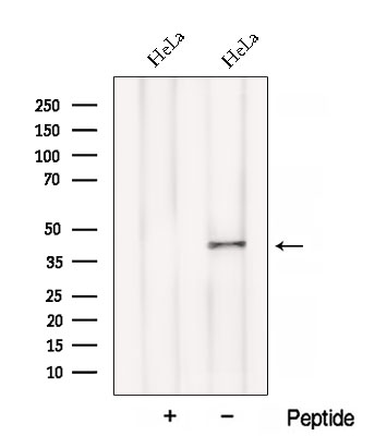
Western Blot
Purity
Peptide affinity purification
Synonyms
BCAT1/ECA39, Antibody; BCAT1/ECA39 Antibody; BCAT; BCAT(c); Bcat1; BCAT1_HUMAN; BCT1; Branched chain amino acid aminotransferase, cytosolic; branched chain amino-acid transaminase 1, cytosolic; branched chain aminotransferase 1; branched chain aminotransferase 1, cytosolic; Branched-chain-amino-acid aminotransferase; cytosolic; DKFZp686E12175; EC 2.6.1.42; ECA39; MECA39; placental protein 18; PNAS 121; PP18; Protein ECA39; anti-BCAT1/ECA39 antibody
Host
Rabbit
Reactivity
Human, Mouse, Rat
Clonality
Polyclonal
Isotype
IgG
Specificity
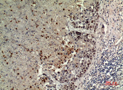
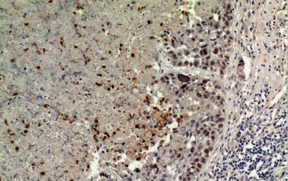
BCAT1/ECA39 Antibody detects endogenous levels of BCAT1/ECA39.
Purity/Purification
Peptide affinity purification
Form/Format
Supplied in phosphate buffered saline, pH 7.4, 150mM NaCl, 0.02% sodium azide and 50% glycerol.
Concentration
~1mg/ml (varies by lot)
Sequence Length
386
Applicable Applications for anti-BCAT1/ECA39 antibody
WB (Western Blot)
Immunogen
A synthesized peptide derived from human BCAT1/ECA39, corresponding to a region within the internal amino acids.
Preparation and Storage
Store at -20 degree C. Stable for 12 months from date of receipt.
NCBI and Uniprot Product Information
NCBI GI #
NCBI GeneID
UniProt Accession #
Molecular Weight
43 kDa
NCBI Official Full Name
Branched-chain-amino-acid aminotransferase, cytosolic
NCBI Official Synonym Full Names
branched chain amino acid transaminase 1
NCBI Official Symbol
BCAT1
NCBI Official Synonym Symbols
BCT1; PP18; BCATC; ECA39; MECA39; PNAS121
NCBI Protein Information
branched-chain-amino-acid aminotransferase, cytosolic
UniProt Protein Name
Branched-chain-amino-acid aminotransferase, cytosolic
UniProt Gene Name
BCAT1
UniProt Synonym Gene Names
BCT1; ECA39; BCAT(c)
UniProt Entry Name
BCAT1_HUMAN
Customer Reviews
Loading reviews...
Share Your Experience
Similar Products
Product Notes
The BCAT1/ECA39 bcat1 (Catalog #AAA328786) is an Antibody produced from Rabbit and is intended for research purposes only. The product is available for immediate purchase. The BCAT1/ECA39 Antibody reacts with Human, Mouse, Rat and may cross-react with other species as described in the data sheet. AAA Biotech's BCAT1/ECA39 can be used in a range of immunoassay formats including, but not limited to, WB (Western Blot). Researchers should empirically determine the suitability of the BCAT1/ECA39 bcat1 for an application not listed in the data sheet. Researchers commonly develop new applications and it is an integral, important part of the investigative research process. It is sometimes possible for the material contained within the vial of "BCAT1/ECA39, Polyclonal Antibody" to become dispersed throughout the inside of the vial, particularly around the seal of said vial, during shipment and storage. We always suggest centrifuging these vials to consolidate all of the liquid away from the lid and to the bottom of the vial prior to opening. Please be advised that certain products may require dry ice for shipping and that, if this is the case, an additional dry ice fee may also be required.Precautions
All products in the AAA Biotech catalog are strictly for research-use only, and are absolutely not suitable for use in any sort of medical, therapeutic, prophylactic, in-vivo, or diagnostic capacity. By purchasing a product from AAA Biotech, you are explicitly certifying that said products will be properly tested and used in line with industry standard. AAA Biotech and its authorized distribution partners reserve the right to refuse to fulfill any order if we have any indication that a purchaser may be intending to use a product outside of our accepted criteria.Disclaimer
Though we do strive to guarantee the information represented in this datasheet, AAA Biotech cannot be held responsible for any oversights or imprecisions. AAA Biotech reserves the right to adjust any aspect of this datasheet at any time and without notice. It is the responsibility of the customer to inform AAA Biotech of any product performance issues observed or experienced within 30 days of receipt of said product. To see additional details on this or any of our other policies, please see our Terms & Conditions page.Item has been added to Shopping Cart
If you are ready to order, navigate to Shopping Cart and get ready to checkout.
