Rabbit BCL2 Polyclonal Antibody | anti-BCL2 antibody
BCL2 Antibody (Thr56)
Gene Names
BCL2; Bcl-2; PPP1R50
Applications
Immunohistochemistry, Western Blot
Purity
Affinity Chromatography
Synonyms
BCL2, Antibody; BCL2 Antibody (Thr56); Rabbit Polyclonal BCL2 Antibody (Thr56); Polyclonal BCL2 antibody; Anti-BCL2 antibody; Apoptosis regulator Bcl-2 antibody; B-cell CLL/lymphoma 2 antibody; Bcl-2 antibody; BCL2 antibody; anti-BCL2 antibody
Host
Rabbit
Clonality
Polyclonal
Isotype
IgG
Specificity
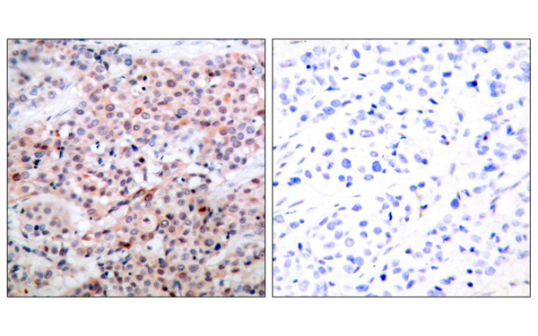
BCL2 antibody (Thr56) detects endogenous levels of BCL2 only when phosphorylated at threonine 56
Purity/Purification
Affinity Chromatography
Form/Format
Supplied in PBS buffer (without Mg2+ and Ca2+), pH 7.4, 150mM NaCl, 0.02% Sodium Azide and 50% Glycerol
Concentration
1 mg/ml (varies by lot)
Sequence Length
195
Applicable Applications for anti-BCL2 antibody
IHC (Immunohistochemistry), WB (Western Blot)
Immunogen
BCL2 antibody was raised in Rabbit using a synthesized phosphopeptide derived from human BCL2 around the phosphorylation site of threonine 56 (G-H-TP-P-H) as the immunogen.
Preparation and Storage
Store at -20 degree C in small aliquots. Avoid repeat freeze/thaw cycles.
Related Product Information for anti-BCL2 antibody
BCL2 is an integral outer mitochondrial membrane protein that blocks the apoptotic death of some cells such as lymphocytes.
Product Categories/Family for anti-BCL2 antibody
NCBI and Uniprot Product Information
NCBI GI #
NCBI GeneID
NCBI Official Full Name
BCL2, partial
NCBI Official Synonym Full Names
BCL2 apoptosis regulator
NCBI Official Symbol
BCL2
NCBI Official Synonym Symbols
Bcl-2; PPP1R50
NCBI Protein Information
apoptosis regulator Bcl-2
Customer Reviews
Loading reviews...
Share Your Experience
Similar Products
Product Notes
The BCL2 (Catalog #AAA226025) is an Antibody produced from Rabbit and is intended for research purposes only. The product is available for immediate purchase. AAA Biotech's BCL2 can be used in a range of immunoassay formats including, but not limited to, IHC (Immunohistochemistry), WB (Western Blot). Researchers should empirically determine the suitability of the BCL2 for an application not listed in the data sheet. Researchers commonly develop new applications and it is an integral, important part of the investigative research process. It is sometimes possible for the material contained within the vial of "BCL2, Polyclonal Antibody" to become dispersed throughout the inside of the vial, particularly around the seal of said vial, during shipment and storage. We always suggest centrifuging these vials to consolidate all of the liquid away from the lid and to the bottom of the vial prior to opening. Please be advised that certain products may require dry ice for shipping and that, if this is the case, an additional dry ice fee may also be required.Precautions
All products in the AAA Biotech catalog are strictly for research-use only, and are absolutely not suitable for use in any sort of medical, therapeutic, prophylactic, in-vivo, or diagnostic capacity. By purchasing a product from AAA Biotech, you are explicitly certifying that said products will be properly tested and used in line with industry standard. AAA Biotech and its authorized distribution partners reserve the right to refuse to fulfill any order if we have any indication that a purchaser may be intending to use a product outside of our accepted criteria.Disclaimer
Though we do strive to guarantee the information represented in this datasheet, AAA Biotech cannot be held responsible for any oversights or imprecisions. AAA Biotech reserves the right to adjust any aspect of this datasheet at any time and without notice. It is the responsibility of the customer to inform AAA Biotech of any product performance issues observed or experienced within 30 days of receipt of said product. To see additional details on this or any of our other policies, please see our Terms & Conditions page.Item has been added to Shopping Cart
If you are ready to order, navigate to Shopping Cart and get ready to checkout.
