Rabbit anti-Human, Mouse BLNK Polyclonal Antibody | anti-BLNK antibody
BLNK Antibody
Phosphate buffered saline, pH 7.4, 150mM NaCl, 0.02% sodium azide and 50% glycerol.
WB (Western Blot)
(Western blot analysis of BLNK expression in etoposide treated 293 whole cell lysates, The lane on the left is treated with the antigen-specific peptide.)
IF (Immunofluorescence)
(AAA322440 staining COLO205 cells by IF/ICC. The sample were fixed with PFA and permeabilized in 0.1% Triton X-100, then blocked in 10% serum for 45 minutes at 25 degree C. The primary antibody was diluted at 1/200 and incubated with the sample for 1 hour at 37 degree C. An Alexa Fluor 594 conjugated goat anti-rabbit IgG (H+L) antibody, diluted at 1/600, was used as secondary antibody.)
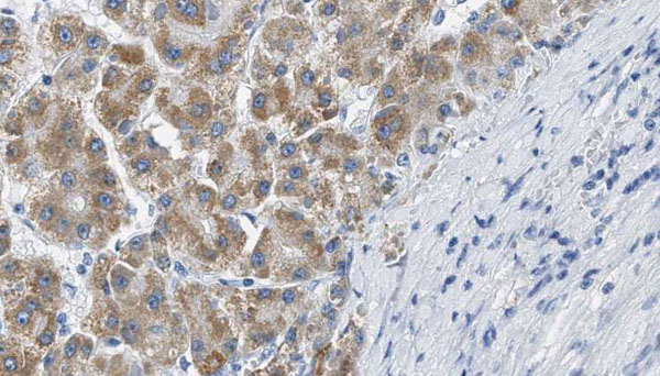
IHC (Immunohistochemistry)
(AAA322440 at 1/100 staining Human liver cancer tissue by IHC-P. The sample was formaldehyde fixed and a heat mediated antigen retrieval step in citrate buffer was performed. The sample was then blocked and incubated with the antibody for 1.5 hours at 22 degree C. An HRP conjugated goat anti-rabbit antibody was used as the secondary.)
Function: Functions as a central linker protein, downstream of the B-cell receptor (BCR), bridging the SYK kinase to a multitude of signaling pathways and regulating biological outcomes of B-cell function and development. Plays a role in the activation of ERK/EPHB2, MAP kinase p38 and JNK. Modulates AP1 activation. Important for the activation of NF-kappa-B and NFAT. Plays an important role in BCR-mediated PLCG1 and PLCG2 activation and Ca2+ mobilization and is required for trafficking of the BCR to late endosomes. However, does not seem to be required for pre-BCR-mediated activation of MAP kinase and phosphatidyl-inositol 3 (PI3) kinase signaling. May be required for the RAC1-JNK pathway. Plays a critical role in orchestrating the pro-B cell to pre-B cell transition. May play an important role in BCR-induced B-cell apoptosis.
Subunit Structure: Associates with PLCG1, VAV1 and NCK1 in a B-cell antigen receptor-dependent fashion. Interacts with VAV3, PLCG2 and GRB2. Interacts through its SH2 domain with CD79A. Interacts (via SH2 domain) with SYK; phosphorylated and activated by SYK. Interacts with SCIMP.
Post-translational Modifications: Following BCR activation, phosphorylated on tyrosine residues by SYK and LYN. When phosphorylated, serves as a scaffold to assemble downstream targets of antigen activation, including PLCG1, VAV1, GRB2 and NCK1. Phosphorylation of Tyr-84, Tyr-178 and Tyr-189 facilitates PLCG1 binding. Phosphorylation of Tyr-96 facilitates BTK binding. Phosphorylation of Tyr-72 facilitates VAV1 and NCK1 binding. Phosphorylation is required for both Ca2+ and MAPK signaling pathways.
NCBI and Uniprot Product Information
Predicted: 51 kDa
Customer Reviews
Loading reviews...
Share Your Experience
Similar Products
Product Notes
The BLNK blnk (Catalog #AAA322440) is an Antibody produced from Rabbit and is intended for research purposes only. The product is available for immediate purchase. The BLNK Antibody reacts with Human, Mouse and may cross-react with other species as described in the data sheet. AAA Biotech's BLNK can be used in a range of immunoassay formats including, but not limited to, ELISA, ICC (Immunocytochemistry), IF (Immunofluorescence), IHC (Immunohistochemistry), WB (Western Blot). Researchers should empirically determine the suitability of the BLNK blnk for an application not listed in the data sheet. Researchers commonly develop new applications and it is an integral, important part of the investigative research process. It is sometimes possible for the material contained within the vial of "BLNK, Polyclonal Antibody" to become dispersed throughout the inside of the vial, particularly around the seal of said vial, during shipment and storage. We always suggest centrifuging these vials to consolidate all of the liquid away from the lid and to the bottom of the vial prior to opening. Please be advised that certain products may require dry ice for shipping and that, if this is the case, an additional dry ice fee may also be required.Precautions
All products in the AAA Biotech catalog are strictly for research-use only, and are absolutely not suitable for use in any sort of medical, therapeutic, prophylactic, in-vivo, or diagnostic capacity. By purchasing a product from AAA Biotech, you are explicitly certifying that said products will be properly tested and used in line with industry standard. AAA Biotech and its authorized distribution partners reserve the right to refuse to fulfill any order if we have any indication that a purchaser may be intending to use a product outside of our accepted criteria.Disclaimer
Though we do strive to guarantee the information represented in this datasheet, AAA Biotech cannot be held responsible for any oversights or imprecisions. AAA Biotech reserves the right to adjust any aspect of this datasheet at any time and without notice. It is the responsibility of the customer to inform AAA Biotech of any product performance issues observed or experienced within 30 days of receipt of said product. To see additional details on this or any of our other policies, please see our Terms & Conditions page.Item has been added to Shopping Cart
If you are ready to order, navigate to Shopping Cart and get ready to checkout.
