Rabbit anti-Human BMP4 Polyclonal Antibody | anti-BMP4 antibody
BMP4 Rabbit anti-Human Polyclonal Antibody
Gene Names
BMP4; ZYME; BMP2B; OFC11; BMP2B1; MCOPS6
Reactivity
Human
Applications
Immunohistochemistry
Purity
Immunoaffinity purified
Synonyms
BMP4, Antibody; BMP4 Rabbit anti-Human Polyclonal Antibody; IHC-plus BMP4 Antibody; BMP4; BMP-2B; BMP-4; BMP2B; BMP2B1; Bone morphogenetic protein 2B; Bone morphogenetic protein 4; DVR4; MCOPS6; OFC11; Zyme; anti-BMP4 antibody
Host
Rabbit
Reactivity
Human
Clonality
Polyclonal
Purity/Purification
Immunoaffinity purified
Form/Format
PBS, 0.1% Sodium Azide
Concentration
1mg/ml (varies by lot)
Applicable Applications for anti-BMP4 antibody
IHC (Immunohistochemistry)
Target
Human BMP4
Immunogen
LP-12468, synthetic peptide
Conjugation
Unconjugated
Family
TGF beta
Preparation and Storage
Aliquot and store undiluted at -20 degree C or below for up to 1 year. Can be stored undiluted at 4 degree C for up to 1 month. Avoid freeze-thaw cycles.
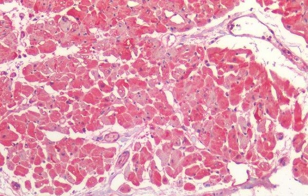
IHC (Immunohistochemistry)
(BMP4 Antibody-Human Skeletal Muscle: Formalin-Fixed, Paraffin-Embedded (FFPE))
Related Product Information for anti-BMP4 antibody
BMP4 antibody is an unconjugated rabbit polyclonal antibody to BMP4 from human. Validated for IHC. Tested on 20 paraffin-embedded human tissues.
NCBI and Uniprot Product Information
NCBI GI #
NCBI GeneID
NCBI Accession #
NCBI GenBank Nucleotide #
Molecular Weight
46,555 Da
NCBI Official Full Name
bone morphogenetic protein 4 preproprotein
NCBI Official Synonym Full Names
bone morphogenetic protein 4
NCBI Official Symbol
BMP4
NCBI Official Synonym Symbols
ZYME; BMP2B; OFC11; BMP2B1; MCOPS6
NCBI Protein Information
bone morphogenetic protein 4; BMP-4; BMP-2B; bone morphogenetic protein 2B
UniProt Protein Name
Bone morphogenetic protein 4
UniProt Gene Name
BMP4
UniProt Synonym Gene Names
BMP2B; DVR4; BMP-4; BMP-2B
UniProt Entry Name
BMP4_HUMAN
Customer Reviews
Loading reviews...
Share Your Experience
Similar Products
Product Notes
The BMP4 bmp4 (Catalog #AAA163167) is an Antibody produced from Rabbit and is intended for research purposes only. The product is available for immediate purchase. The BMP4 Rabbit anti-Human Polyclonal Antibody reacts with Human and may cross-react with other species as described in the data sheet. AAA Biotech's BMP4 can be used in a range of immunoassay formats including, but not limited to, IHC (Immunohistochemistry). Researchers should empirically determine the suitability of the BMP4 bmp4 for an application not listed in the data sheet. Researchers commonly develop new applications and it is an integral, important part of the investigative research process. It is sometimes possible for the material contained within the vial of "BMP4, Polyclonal Antibody" to become dispersed throughout the inside of the vial, particularly around the seal of said vial, during shipment and storage. We always suggest centrifuging these vials to consolidate all of the liquid away from the lid and to the bottom of the vial prior to opening. Please be advised that certain products may require dry ice for shipping and that, if this is the case, an additional dry ice fee may also be required.Precautions
All products in the AAA Biotech catalog are strictly for research-use only, and are absolutely not suitable for use in any sort of medical, therapeutic, prophylactic, in-vivo, or diagnostic capacity. By purchasing a product from AAA Biotech, you are explicitly certifying that said products will be properly tested and used in line with industry standard. AAA Biotech and its authorized distribution partners reserve the right to refuse to fulfill any order if we have any indication that a purchaser may be intending to use a product outside of our accepted criteria.Disclaimer
Though we do strive to guarantee the information represented in this datasheet, AAA Biotech cannot be held responsible for any oversights or imprecisions. AAA Biotech reserves the right to adjust any aspect of this datasheet at any time and without notice. It is the responsibility of the customer to inform AAA Biotech of any product performance issues observed or experienced within 30 days of receipt of said product. To see additional details on this or any of our other policies, please see our Terms & Conditions page.Item has been added to Shopping Cart
If you are ready to order, navigate to Shopping Cart and get ready to checkout.
