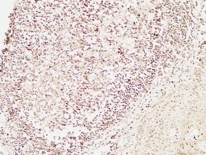
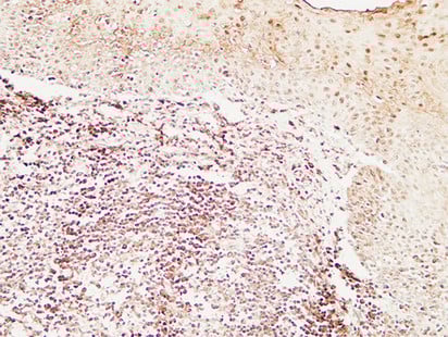
Rabbit anti-Human Bob 1 Polyclonal Antibody | anti-Bob1 antibody
Bob 1 Polyclonal Antibody
Gene Names
POU2AF1; BOB1; OBF1; OCAB; OBF-1
Reactivity
Human
Applications
Immunohistochemistry
Synonyms
Bob 1, Antibody; Bob 1 Polyclonal Antibody; POU domain class 2-associating factor 1 (B-cell-specific coactivator OBF-1)(BOB-1)(OCA-B)(OCT-binding factor 1); anti-Bob1 antibody
Host
Rabbit
Reactivity
Human
Clonality
Polyclonal
Applicable Applications for anti-Bob1 antibody
IHC (Immunohistochemistry)
Preparation and Storage
Maintain refrigerated at 2-8 degree C for up to 2 weeks. For long term storage store at -20 degree C in small aliquots to prevent freeze-thaw cycles.
Related Product Information for anti-Bob1 antibody
Transcriptional coactivator that specifically associates with either OCT1 or OCT2. It boosts the OCT1 mediated promoter activity and to a lesser extent, that of OCT2. It has no intrinsic DNA-binding activity. It recognizes the POU domains of OCT1 and OCT2. It is essential for the response of B-cells to antigens and required for the formation of germinal centers.
NCBI and Uniprot Product Information
NCBI GI #
NCBI GeneID
NCBI Accession #
NCBI GenBank Nucleotide #
Molecular Weight
27,436 Da
NCBI Official Full Name
POU domain class 2-associating factor 1
NCBI Official Synonym Full Names
POU class 2 associating factor 1
NCBI Official Symbol
POU2AF1
NCBI Official Synonym Symbols
BOB1; OBF1; OCAB; OBF-1
NCBI Protein Information
POU domain class 2-associating factor 1; B-cell-specific coactivator OBF-1; BOB-1; OCA-B; OCT-binding factor 1; POU domain, class 2, associating factor 1
UniProt Protein Name
POU domain class 2-associating factor 1
UniProt Gene Name
POU2AF1
UniProt Synonym Gene Names
OBF1
UniProt Entry Name
OBF1_HUMAN
Customer Reviews
Loading reviews...
Share Your Experience
Similar Products
Product Notes
The Bob1 pou2af1 (Catalog #AAA296595) is an Antibody produced from Rabbit and is intended for research purposes only. The product is available for immediate purchase. The Bob 1 Polyclonal Antibody reacts with Human and may cross-react with other species as described in the data sheet. AAA Biotech's Bob 1 can be used in a range of immunoassay formats including, but not limited to, IHC (Immunohistochemistry). Researchers should empirically determine the suitability of the Bob1 pou2af1 for an application not listed in the data sheet. Researchers commonly develop new applications and it is an integral, important part of the investigative research process. It is sometimes possible for the material contained within the vial of "Bob 1, Polyclonal Antibody" to become dispersed throughout the inside of the vial, particularly around the seal of said vial, during shipment and storage. We always suggest centrifuging these vials to consolidate all of the liquid away from the lid and to the bottom of the vial prior to opening. Please be advised that certain products may require dry ice for shipping and that, if this is the case, an additional dry ice fee may also be required.Precautions
All products in the AAA Biotech catalog are strictly for research-use only, and are absolutely not suitable for use in any sort of medical, therapeutic, prophylactic, in-vivo, or diagnostic capacity. By purchasing a product from AAA Biotech, you are explicitly certifying that said products will be properly tested and used in line with industry standard. AAA Biotech and its authorized distribution partners reserve the right to refuse to fulfill any order if we have any indication that a purchaser may be intending to use a product outside of our accepted criteria.Disclaimer
Though we do strive to guarantee the information represented in this datasheet, AAA Biotech cannot be held responsible for any oversights or imprecisions. AAA Biotech reserves the right to adjust any aspect of this datasheet at any time and without notice. It is the responsibility of the customer to inform AAA Biotech of any product performance issues observed or experienced within 30 days of receipt of said product. To see additional details on this or any of our other policies, please see our Terms & Conditions page.Item has been added to Shopping Cart
If you are ready to order, navigate to Shopping Cart and get ready to checkout.
