Mouse BOB.1 Monoclonal Antibody | anti-BOB.1 antibody
BOB.1 (B-Cell Marker)
Gene Names
POU2AF1; BOB1; OBF1; OCAB; OBF-1
Reactivity
Human. Others not known.
Applications
Immunohistochemistry
Purity
Purified Ab with BSA and Azide at 200ug/ml OR Purified Ab WITHOUT BSA and Azide at 1.0mg/ml
Synonyms
BOB.1, Antibody; BOB.1 (B-Cell Marker); B cell Oct binding protein 1; B-cell-specific coactivator OBF-1; BOB-1; OBF1; OCA-B; OCAB; OCT-binding factor 1; POU domain class 2-associating factor 1; POU2AF1; anti-BOB.1 antibody
Host
Mouse
Reactivity
Human. Others not known.
Clonality
Monoclonal
Isotype
IgG2b, kappa
Clone Number
BOB1/2421
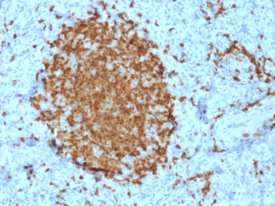
Specificity
BOB.1 expression in a variety of established B-cell lines, representing different stages of B-cell development, has suggested a constitutive, B-cell-specific expression pattern. LP cells in nodular lymphocyte predominant Hodgkin lymphoma, because they are germinal center-derived, are consistently immuno-positive for BOB.1. Conversely, only some cases of classical Hodgkin lymphoma show BOB.1 immuno-reactivity within the Hodgkin and Reed-Sternberg cells. Expression of BOB.1 has been reported in follicular center cell lymphoma, diffuse large B-cell lymphoma and some cases of acute myeloid leukemia. B-CLL, marginal zone lymphoma, and mantle cell lymphoma may show weak to moderate immunoreactivity.
Purity/Purification
Purified Ab with BSA and Azide at 200ug/ml OR Purified Ab WITHOUT BSA and Azide at 1.0mg/ml
Form/Format
200ug/ml of Ab purified from Bioreactor Concentrate by Protein A/G. Prepared in 10mM PBS with 0.05% BSA & 0.05% azide. Also available WITHOUT BSA & azide at 1.0mg/ml.
Sequence Length
256
Applicable Applications for anti-BOB.1 antibody
IHC (Immunohistochemistry)
Immunogen
Recombinant fragment (around aa 148-255) of human BOB1 (POU2AF1) protein (exact sequence is proprietary)
Positive Control
Ramos Cells. Spleen or Tonsil
Cellular Localization
Nuclear
Chromosome Location
11q23.1
Preparation and Storage
Antibody with azide - store at 2 to 8 degree C.
Antibody without azide - store at -20 to -80 degree C.
Antibody is stable for 24 months. Non-hazardous. No MSDS required.
Antibody without azide - store at -20 to -80 degree C.
Antibody is stable for 24 months. Non-hazardous. No MSDS required.
References
Gibson SE, et al. Am J Clin Pathol. 2006 Dec; 126(6):916-24.
NCBI and Uniprot Product Information
NCBI GI #
NCBI GeneID
NCBI Accession #
NCBI GenBank Nucleotide #
Molecular Weight
35kDa
NCBI Official Full Name
POU domain class 2-associating factor 1
NCBI Official Synonym Full Names
POU class 2 associating factor 1
NCBI Official Symbol
POU2AF1
NCBI Official Synonym Symbols
BOB1; OBF1; OCAB; OBF-1
NCBI Protein Information
POU domain class 2-associating factor 1
UniProt Protein Name
POU domain class 2-associating factor 1
UniProt Gene Name
POU2AF1
UniProt Synonym Gene Names
OBF1
Customer Reviews
Loading reviews...
Share Your Experience
Similar Products
Product Notes
The BOB.1 pou2af1 (Catalog #AAA214796) is an Antibody produced from Mouse and is intended for research purposes only. The product is available for immediate purchase. The BOB.1 (B-Cell Marker) reacts with Human. Others not known. and may cross-react with other species as described in the data sheet. AAA Biotech's BOB.1 can be used in a range of immunoassay formats including, but not limited to, IHC (Immunohistochemistry). Researchers should empirically determine the suitability of the BOB.1 pou2af1 for an application not listed in the data sheet. Researchers commonly develop new applications and it is an integral, important part of the investigative research process. It is sometimes possible for the material contained within the vial of "BOB.1, Monoclonal Antibody" to become dispersed throughout the inside of the vial, particularly around the seal of said vial, during shipment and storage. We always suggest centrifuging these vials to consolidate all of the liquid away from the lid and to the bottom of the vial prior to opening. Please be advised that certain products may require dry ice for shipping and that, if this is the case, an additional dry ice fee may also be required.Precautions
All products in the AAA Biotech catalog are strictly for research-use only, and are absolutely not suitable for use in any sort of medical, therapeutic, prophylactic, in-vivo, or diagnostic capacity. By purchasing a product from AAA Biotech, you are explicitly certifying that said products will be properly tested and used in line with industry standard. AAA Biotech and its authorized distribution partners reserve the right to refuse to fulfill any order if we have any indication that a purchaser may be intending to use a product outside of our accepted criteria.Disclaimer
Though we do strive to guarantee the information represented in this datasheet, AAA Biotech cannot be held responsible for any oversights or imprecisions. AAA Biotech reserves the right to adjust any aspect of this datasheet at any time and without notice. It is the responsibility of the customer to inform AAA Biotech of any product performance issues observed or experienced within 30 days of receipt of said product. To see additional details on this or any of our other policies, please see our Terms & Conditions page.Item has been added to Shopping Cart
If you are ready to order, navigate to Shopping Cart and get ready to checkout.
