Rabbit BRCA1 Polyclonal Antibody | anti-BRCA1 antibody
BRCA1 Antibody (Ser1423)
Gene Names
BRCA1; IRIS; PSCP; BRCAI; BRCC1; FANCS; PNCA4; RNF53; BROVCA1; PPP1R53
Applications
Immunohistochemistry, Western Blot
Purity
Affinity Chromatography
Synonyms
BRCA1, Antibody; BRCA1 Antibody (Ser1423); Rabbit Polyclonal BRCA1 Antibody (Ser1423); Polyclonal BRCA1 antibody; Anti-BRCA1 antibody; BRCA1/BRCA2-containing complex subunit 1 antibody; BRCAI antibody; BRCC1 antibody; breast and ovarian cancer susceptibility protein 1 antibody; breast and ovarian cancer sususceptibility protein antibody; breast cancer 1 early onset antibody; Breast cancer type 1 susceptibility protein antibody; BROVCA1 antibody; IRIS antibody; PSCP antibody; RING finger protein 53 antibody; RNF53 antibody; anti-BRCA1 antibody
Host
Rabbit
Clonality
Polyclonal
Isotype
IgG
Specificity
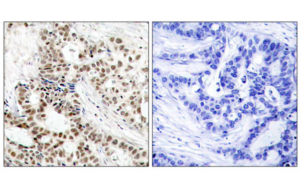
BRCA1 antibody (Ser1423) detects endogenous levels of BRCA1 only when phosphorylated at serine 1423
Purity/Purification
Affinity Chromatography
Form/Format
Supplied in PBS buffer (without Mg2+ and Ca2+), pH 7.4, 150mM NaCl, 0.02% Sodium Azide and 50% Glycerol
Concentration
1 mg/ml (varies by lot)
Sequence Length
1863
Applicable Applications for anti-BRCA1 antibody
IHC (Immunohistochemistry), WB (Western Blot)
Immunogen
BRCA1 antibody was raised in Rabbit using a synthesized phosphopeptide derived from human BRCA1 around the phosphorylation site of serine 1423 (H-G-SP-Q-P) as the immunogen.
Preparation and Storage
Store at -20 degree C in small aliquots. Avoid repeat freeze/thaw cycles.
Related Product Information for anti-BRCA1 antibody
BRCA1 is a gene that belongs to a class known as tumor suppressor genes. Like many other tumor suppressor genes, BRCA1 regulates the cycle of cell division by keeping cells from growing and dividing too rapidly or in an uncontrolled way.
Product Categories/Family for anti-BRCA1 antibody
NCBI and Uniprot Product Information
NCBI GI #
NCBI GeneID
NCBI Official Full Name
BRCA1
NCBI Official Synonym Full Names
BRCA1 DNA repair associated
NCBI Official Symbol
BRCA1
NCBI Official Synonym Symbols
IRIS; PSCP; BRCAI; BRCC1; FANCS; PNCA4; RNF53; BROVCA1; PPP1R53
NCBI Protein Information
breast cancer type 1 susceptibility protein
Customer Reviews
Loading reviews...
Share Your Experience
Similar Products
Product Notes
The BRCA1 (Catalog #AAA226098) is an Antibody produced from Rabbit and is intended for research purposes only. The product is available for immediate purchase. AAA Biotech's BRCA1 can be used in a range of immunoassay formats including, but not limited to, IHC (Immunohistochemistry), WB (Western Blot). Researchers should empirically determine the suitability of the BRCA1 for an application not listed in the data sheet. Researchers commonly develop new applications and it is an integral, important part of the investigative research process. It is sometimes possible for the material contained within the vial of "BRCA1, Polyclonal Antibody" to become dispersed throughout the inside of the vial, particularly around the seal of said vial, during shipment and storage. We always suggest centrifuging these vials to consolidate all of the liquid away from the lid and to the bottom of the vial prior to opening. Please be advised that certain products may require dry ice for shipping and that, if this is the case, an additional dry ice fee may also be required.Precautions
All products in the AAA Biotech catalog are strictly for research-use only, and are absolutely not suitable for use in any sort of medical, therapeutic, prophylactic, in-vivo, or diagnostic capacity. By purchasing a product from AAA Biotech, you are explicitly certifying that said products will be properly tested and used in line with industry standard. AAA Biotech and its authorized distribution partners reserve the right to refuse to fulfill any order if we have any indication that a purchaser may be intending to use a product outside of our accepted criteria.Disclaimer
Though we do strive to guarantee the information represented in this datasheet, AAA Biotech cannot be held responsible for any oversights or imprecisions. AAA Biotech reserves the right to adjust any aspect of this datasheet at any time and without notice. It is the responsibility of the customer to inform AAA Biotech of any product performance issues observed or experienced within 30 days of receipt of said product. To see additional details on this or any of our other policies, please see our Terms & Conditions page.Item has been added to Shopping Cart
If you are ready to order, navigate to Shopping Cart and get ready to checkout.
