Rabbit BRCA1 Polyclonal Antibody | anti-BRCA1 antibody
Anti-BRCA1 antibody
Application Data
(Anti-BRCA1 Picoband antibody, AAA45697-4.jpgAll lanes: Anti-BRCA1(AAA45697) at 0.5ug/mlLane 1: HELA Whole Cell Lysate at 40ugLane 2: MCF-7 Whole Cell Lysate at 40ugLane 3: A549 Whole Cell Lysate at 40ugPredicted bind size: 207KDObserved bind size: 207KD)
IHC (Immunohistochemisry)
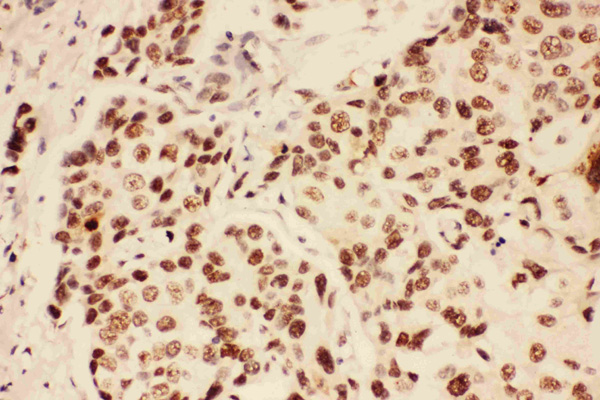
(Anti-BRCA1 Picoband antibody, AAA45697-3.JPGIHC(P): Human Mammary Cancer Tissue)
IHC (Immunohistochemistry)
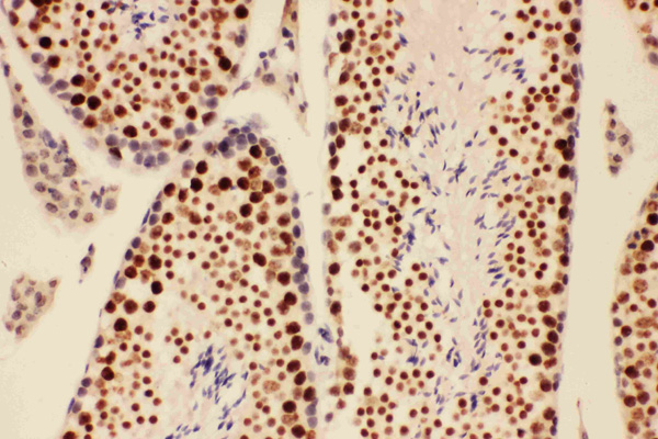
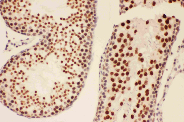
(Anti-BRCA1 Picoband antibody, AAA45697-1.JPGIHC(P): Mouse Testis Tissue)
Background: BRCA1, also known as BRCC1, is a gene which mapping to 17q21.3. This gene encodes a nuclear phosphoprotein that plays a role in maintaining genomic stability, and it also acts as a tumor suppressor. The encoded protein combines with other tumor suppressors, DNA damage sensors, and signal transducers to form a large multi-subunit protein complex known as the BRCA1-associated genome surveillance complex (BASC). BRCA1 product associates with RNA polymerase II, and through the C-terminal domain, also interacts with histone deacetylase complexes. This protein thus plays a role in transcription, DNA repair of double-stranded breaks, and recombination. In addition to it, BRCA1 may normally serve as a negative regulator of mammary epithelial cell growth and that this function is compromised in breast cancer either by direct mutation or by alterations in gene expression.
NCBI and Uniprot Product Information
Customer Reviews
Loading reviews...
Share Your Experience
Similar Products
Product Notes
The BRCA1 brca1 (Catalog #AAA45697) is an Antibody produced from Rabbit and is intended for research purposes only. The product is available for immediate purchase. The Anti-BRCA1 antibody reacts with Human, Mouse, Rat and may cross-react with other species as described in the data sheet. AAA Biotech's BRCA1 can be used in a range of immunoassay formats including, but not limited to, IHC (Immunohistochemistry), WB (Western Blot). Researchers should empirically determine the suitability of the BRCA1 brca1 for an application not listed in the data sheet. Researchers commonly develop new applications and it is an integral, important part of the investigative research process. It is sometimes possible for the material contained within the vial of "BRCA1, Polyclonal Antibody" to become dispersed throughout the inside of the vial, particularly around the seal of said vial, during shipment and storage. We always suggest centrifuging these vials to consolidate all of the liquid away from the lid and to the bottom of the vial prior to opening. Please be advised that certain products may require dry ice for shipping and that, if this is the case, an additional dry ice fee may also be required.Precautions
All products in the AAA Biotech catalog are strictly for research-use only, and are absolutely not suitable for use in any sort of medical, therapeutic, prophylactic, in-vivo, or diagnostic capacity. By purchasing a product from AAA Biotech, you are explicitly certifying that said products will be properly tested and used in line with industry standard. AAA Biotech and its authorized distribution partners reserve the right to refuse to fulfill any order if we have any indication that a purchaser may be intending to use a product outside of our accepted criteria.Disclaimer
Though we do strive to guarantee the information represented in this datasheet, AAA Biotech cannot be held responsible for any oversights or imprecisions. AAA Biotech reserves the right to adjust any aspect of this datasheet at any time and without notice. It is the responsibility of the customer to inform AAA Biotech of any product performance issues observed or experienced within 30 days of receipt of said product. To see additional details on this or any of our other policies, please see our Terms & Conditions page.Item has been added to Shopping Cart
If you are ready to order, navigate to Shopping Cart and get ready to checkout.
