Rabbit anti-Human BTLA/CD272 Polyclonal Antibody | anti-BTLA antibody
BTLA/CD272 Rabbit anti-Human Polyclonal Antibody
Reactivity
Human
Applications
Immunohistochemistry
Purity
Immunoaffinity purified
Synonyms
BTLA/CD272, Antibody; BTLA/CD272 Rabbit anti-Human Polyclonal Antibody; PathPlus BTLA/CD272 Antibody; BTLA; BTLA1; B and T lymphocyte associated; CD272; B and T lymphocyte attenuator; B- and T-lymphocyte attenuator; CD272 antigen; anti-BTLA antibody
Host
Rabbit
Reactivity
Human
Clonality
Polyclonal
Purity/Purification
Immunoaffinity purified
Form/Format
PBS, 0.1% Sodium Azide
Concentration
1mg/ml (varies by lot)
Applicable Applications for anti-BTLA antibody
IHC (Immunohistochemistry)
Target
Human BTLA/CD272
Immunogen
LP-12763, synthetic peptide
Conjugation
Unconjugated
Preparation and Storage
Aliquot and store undiluted at -20 degree C or below for up to 1 year. Can be stored undiluted at 4 degree C for up to 1 month. Avoid freeze-thaw cycles.
Related Product Information for anti-BTLA antibody
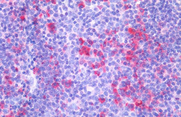
CD272 antibody is an unconjugated rabbit polyclonal antibody to CD272 (BTLA) from human. Validated for IHC.
B- and T-lymphocyte attenuator (BTLA, CD272) is a transmembrane protein member of the immunoglobulin superfamily, with structural and functional similarities to cytotoxic T-lymphocyte associated protein 4 (CTLA4) and programmed cell death protein 1 (PD1). It is an inhibitory receptor that is involved in downregulation of the immune response. Polymorphisms in the gene may be associated with susceptibility to autoimmune diseases (eg, rheumatoid arthritis), systemic lupus erythematosus, type 1 diabetes mellitus, and cancer. BTLA is expressed in most lymphocytes (high expression in lymph nodes and spleen) and during activation of T cells, remaining expressed on T helper type 1 (Th1) but not Th2 cells.
B- and T-lymphocyte attenuator (BTLA, CD272) is a transmembrane protein member of the immunoglobulin superfamily, with structural and functional similarities to cytotoxic T-lymphocyte associated protein 4 (CTLA4) and programmed cell death protein 1 (PD1). It is an inhibitory receptor that is involved in downregulation of the immune response. Polymorphisms in the gene may be associated with susceptibility to autoimmune diseases (eg, rheumatoid arthritis), systemic lupus erythematosus, type 1 diabetes mellitus, and cancer. BTLA is expressed in most lymphocytes (high expression in lymph nodes and spleen) and during activation of T cells, remaining expressed on T helper type 1 (Th1) but not Th2 cells.
References
Nat Immunol. 2003;4(7):670-679. doi: 10.1038/ni944; Arch Immunol Ther Exp (Warsz). 2015;63(1):73-78. doi: 10.1007/s00005-014-0300-3; Clin Dev Immunol. 2011;2011:305656. doi: 10.1155/2011/305656; Int J Immunogenet. 2009;36(1):65-68. doi: 10.1111/j.1744-313X.2008.00809.x; Breast Cancer Res Treat. 2010;120(1):195-202. doi: 10.1007/s10549-009-0462-6.
NCBI and Uniprot Product Information
Customer Reviews
Loading reviews...
Share Your Experience
Similar Products
Product Notes
The BTLA btla (Catalog #AAA163197) is an Antibody produced from Rabbit and is intended for research purposes only. The product is available for immediate purchase. The BTLA/CD272 Rabbit anti-Human Polyclonal Antibody reacts with Human and may cross-react with other species as described in the data sheet. AAA Biotech's BTLA/CD272 can be used in a range of immunoassay formats including, but not limited to, IHC (Immunohistochemistry). Researchers should empirically determine the suitability of the BTLA btla for an application not listed in the data sheet. Researchers commonly develop new applications and it is an integral, important part of the investigative research process. It is sometimes possible for the material contained within the vial of "BTLA/CD272, Polyclonal Antibody" to become dispersed throughout the inside of the vial, particularly around the seal of said vial, during shipment and storage. We always suggest centrifuging these vials to consolidate all of the liquid away from the lid and to the bottom of the vial prior to opening. Please be advised that certain products may require dry ice for shipping and that, if this is the case, an additional dry ice fee may also be required.Precautions
All products in the AAA Biotech catalog are strictly for research-use only, and are absolutely not suitable for use in any sort of medical, therapeutic, prophylactic, in-vivo, or diagnostic capacity. By purchasing a product from AAA Biotech, you are explicitly certifying that said products will be properly tested and used in line with industry standard. AAA Biotech and its authorized distribution partners reserve the right to refuse to fulfill any order if we have any indication that a purchaser may be intending to use a product outside of our accepted criteria.Disclaimer
Though we do strive to guarantee the information represented in this datasheet, AAA Biotech cannot be held responsible for any oversights or imprecisions. AAA Biotech reserves the right to adjust any aspect of this datasheet at any time and without notice. It is the responsibility of the customer to inform AAA Biotech of any product performance issues observed or experienced within 30 days of receipt of said product. To see additional details on this or any of our other policies, please see our Terms & Conditions page.Item has been added to Shopping Cart
If you are ready to order, navigate to Shopping Cart and get ready to checkout.
