Rabbit BTRC Polyclonal Antibody | anti-BTRC antibody
BTRC Antibody
Phosphate buffered saline, pH 7.4, 150mM NaCl, 0.02% sodium azide and 50% glycerol.
WB (Western Blot)
(Western blot analysis of extracts of Kidney, using BTRC antibody. The lane on the left is treated with the antigen-specific peptide.)
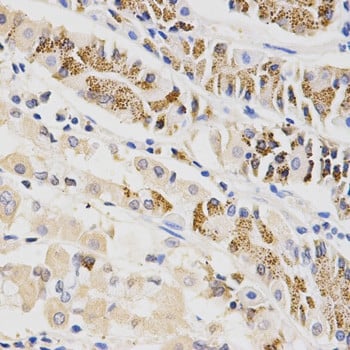
IHC (Immunohistochemistry)
(AAA326300 at 1/100 staining Mouse liver tissue by IHC-P. The sample was formaldehyde fixed and a heat mediated antigen retrieval step in citrate buffer was performed. The sample was then blocked and incubated with the antibody for 1.5 hours at 22 degree C. An HRP conjugated goat anti-rabbit antibody was used as the secondary.)
Function: Substrate recognition component of a SCF (SKP1-CUL1-F-box protein) E3 ubiquitin-protein ligase complex which mediates the ubiquitination and subsequent proteasomal degradation of target proteins. Recognizes and binds to phosphorylated target proteins (PubMed:10066435, PubMed:10497169, PubMed:10644755, PubMed:10835356, PubMed:11238952, PubMed:11359933, PubMed:11994270, PubMed:12791267, PubMed:12902344, PubMed:14603323, PubMed:14681206, PubMed:14988407, PubMed:15448698, PubMed:15917222, PubMed:16371461, PubMed:25503564, PubMed:25704143, PubMed:9859996). SCF(BTRC) mediates the ubiquitination of CTNNB1 and participates in Wnt signaling (PubMed:12077367, PubMed:12820959). SCF(BTRC) mediates the ubiquitination of phosphorylated NFKB1, ATF4, CDC25A, DLG1, FBXO5, PER1, SMAD3, SMAD4, SNAI1 and probably NFKB2 (PubMed:10835356, PubMed:11238952, PubMed:14681206, PubMed:14603323). SCF(BTRC) mediates the ubiquitination of NFKBIA, NFKBIB and NFKBIE; the degradation frees the associated NFKB1 to translocate into the nucleus and to activate transcription (PubMed:10066435, PubMed:10497169, PubMed:10644755). Ubiquitination of NFKBIA occurs at 'Lys-21' and 'Lys-22' (PubMed:10066435). SCF(BTRC) mediates the ubiquitination of CEP68; this is required for centriole separation during mitosis (PubMed:25704143, PubMed:25503564). SCF(BTRC) mediates the ubiquitination and subsequent degradation of nuclear NFE2L1 (By similarity). Has an essential role in the control of the clock-dependent transcription via degradation of phosphorylated PER1 and PER2 (PubMed:15917222). May be involved in ubiquitination and subsequent proteasomal degradation through a DBB1-CUL4 E3 ubiquitin-protein ligase. Required for activation of NFKB-mediated transcription by IL1B, MAP3K14, MAP3K1, IKBKB and TNF. Required for proteolytic processing of GLI3 (PubMed:16371461).
Subunit Structure: Homodimer. Self-associates. Component of the SCF(BTRC) complex formed of CUL1, SKP1, RBX1 and a BTRC dimer. Direct interaction with SKP1 occurs via the F-box domain. Interacts with phosphorylated ubiquitination substrates SMAD3 and SMAD4. Interacts with phosphorylated ubiquitination substrates CTNNB1, NFKBIA, NFKBIB, NFKBIE, NFKB1/nuclear factor NF-kappa-B p105 subunit, ATF4, CDC25A, DLG1, FBXO5 and SNAI1; the interaction requires the phosphorylation of the 2 serine residues in the substrate destruction motif D-S-G-X(2, 3, 4)-S. Binds UBQLN1. Interacts with CDC34 and UBE2R2. Interacts with FBXW11. Interacts with CUL4A and DDB1. Part of a SCF(BTRC)-like complex lacking CUL1, which is associated with phosphorylated NKBIA and RELA; RELA interacts directly with NFKBIA. Interacts with the phosphorylated form of GLI3. Interacts with CLU. Interacts with PER1 (phosphorylated), PER2 (phosphorylated) and PER3. Interacts with phosphorylated ubiquitination substrate CEP68 (PubMed:25704143, PubMed:25503564). Interacts with ZC3H12A; this interaction occurs when ZC3H12A is phosphorylated in a IKBKB/IKKB-dependent manner (By similarity). Interacts with HSF1; this interaction occurs during mitosis and induces HSF1 ubiquitin-dependent degradation, a process inhibited by CDC20 (PubMed:18794143). Interacts with NFE2L1 (By similarity). Interacts with INAVA (PubMed:29420262).
Similarity: The N-terminal D domain mediates homodimerization.
NCBI and Uniprot Product Information
Predicted: 69 kDa
Customer Reviews
Loading reviews...
Share Your Experience
Similar Products
Product Notes
The BTRC btrc (Catalog #AAA326300) is an Antibody produced from Rabbit and is intended for research purposes only. The product is available for immediate purchase. The BTRC Antibody reacts with Human, Mouse, Rat and may cross-react with other species as described in the data sheet. AAA Biotech's BTRC can be used in a range of immunoassay formats including, but not limited to, ELISA, IHC (Immunohistochemistry), WB (Western Blot). Researchers should empirically determine the suitability of the BTRC btrc for an application not listed in the data sheet. Researchers commonly develop new applications and it is an integral, important part of the investigative research process. It is sometimes possible for the material contained within the vial of "BTRC, Polyclonal Antibody" to become dispersed throughout the inside of the vial, particularly around the seal of said vial, during shipment and storage. We always suggest centrifuging these vials to consolidate all of the liquid away from the lid and to the bottom of the vial prior to opening. Please be advised that certain products may require dry ice for shipping and that, if this is the case, an additional dry ice fee may also be required.Precautions
All products in the AAA Biotech catalog are strictly for research-use only, and are absolutely not suitable for use in any sort of medical, therapeutic, prophylactic, in-vivo, or diagnostic capacity. By purchasing a product from AAA Biotech, you are explicitly certifying that said products will be properly tested and used in line with industry standard. AAA Biotech and its authorized distribution partners reserve the right to refuse to fulfill any order if we have any indication that a purchaser may be intending to use a product outside of our accepted criteria.Disclaimer
Though we do strive to guarantee the information represented in this datasheet, AAA Biotech cannot be held responsible for any oversights or imprecisions. AAA Biotech reserves the right to adjust any aspect of this datasheet at any time and without notice. It is the responsibility of the customer to inform AAA Biotech of any product performance issues observed or experienced within 30 days of receipt of said product. To see additional details on this or any of our other policies, please see our Terms & Conditions page.Item has been added to Shopping Cart
If you are ready to order, navigate to Shopping Cart and get ready to checkout.
