Rabbit BUB1B Polyclonal Antibody | anti-BUB1B antibody
BUB1B Antibody
Phosphate buffered saline, pH 7.4, 150mM NaCl, 0.02% sodium azide and 50% glycerol.
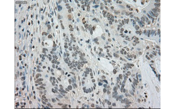
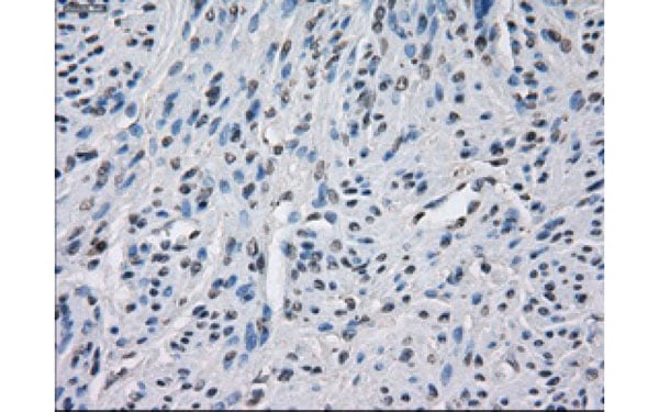
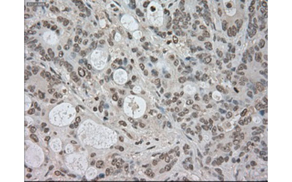
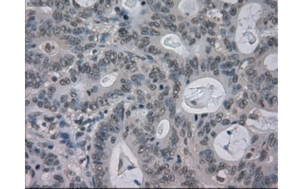
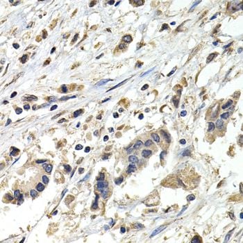
IHC (Immunohistochemisry)
(AAA326374 at 1/100 staining Human kidney tissue by IHC-P. The sample was formaldehyde fixed and a heat mediated antigen retrieval step in citrate buffer was performed. The sample was then blocked and incubated with the antibody for 1.5 hours at 22 degree C. An HRP conjugated goat anti-rabbit antibody was used as the secondary.)
WB (Western Blot)
(Western blot analysis of extracts of mouse testis tissue, using BUB1B antibody. The lane on the left is treated with the antigen-specific peptide.)
IF (Immunofluorescence)
(AAA326374 staining HeLa cells by IF/ICC. The sample were fixed with PFA and permeabilized in 0.1% Triton X-100, then blocked in 10% serum for 45 minutes at 25 degree C. The primary antibody was diluted at 1/200 and incubated with the sample for 1 hour at 37 degree C. An Alexa Fluor 594 conjugated goat anti-rabbit IgG (H+L) antibody, diluted at 1/600, was used as secondary antibody.)
Function: Essential component of the mitotic checkpoint. Required for normal mitosis progression. The mitotic checkpoint delays anaphase until all chromosomes are properly attached to the mitotic spindle. One of its checkpoint functions is to inhibit the activity of the anaphase-promoting complex/cyclosome (APC/C) by blocking the binding of CDC20 to APC/C, independently of its kinase activity. The other is to monitor kinetochore activities that depend on the kinetochore motor CENPE. Required for kinetochore localization of CENPE. Negatively regulates PLK1 activity in interphase cells and suppresses centrosome amplification. Also implicated in triggering apoptosis in polyploid cells that exit aberrantly from mitotic arrest. May play a role for tumor suppression.
Subunit Structure: Interacts with CENPE, CENPF, mitosin, PLK1 and BUB3. Part of a complex containing BUB3, CDC20 and BUB1B. Interacts with anaphase-promoting complex/cyclosome (APC/C). Interacts with KNL1.
Post-translational Modifications: Proteolytically cleaved by caspase-3 in a cell cycle specific manner. The cleavage might be involved in the durability of the cell cycle delay. Caspase-3 cleavage is associated with abrogation of the mitotic checkpoint. The major site of cleavage is at Asp-610. Acetylation at Lys-250 regulates its degradation and timing in anaphase entry. Ubiquitinated. Degraded by the proteasome. Sumoylated with SUMO2 and SUMO3. The sumoylation mediates the association with CENPE at the kinetochore. Autophosphorylated in vitro. Intramolecular autophosphorylation is stimulated by CENPE. Phosphorylated during mitosis and hyperphosphorylated in mitotically arrested cells. Phosphorylation at Ser-670 and Ser-1043 occurs at kinetochores upon mitotic entry with dephosphorylation at the onset of anaphase.
Similarity: The D-box targets the protein for rapid degradation by ubiquitin-dependent proteolysis during the transition from mitosis to interphase.The BUB1 N-terminal domain directs kinetochore localization and binding to BUB3. Belongs to the protein kinase superfamily. Ser/Thr protein kinase family. BUB1 subfamily.
NCBI and Uniprot Product Information
Predicted: 120 kDa
Customer Reviews
Loading reviews...
Share Your Experience
Similar Products
Product Notes
The BUB1B bub1b (Catalog #AAA326374) is an Antibody produced from Rabbit and is intended for research purposes only. The product is available for immediate purchase. The BUB1B Antibody reacts with Human, Mouse, Rat and may cross-react with other species as described in the data sheet. AAA Biotech's BUB1B can be used in a range of immunoassay formats including, but not limited to, ELISA, ICC (Immunocytochemistry), IF (Immunofluorescence), IHC (Immunohistochemistry), WB (Western Blot). Researchers should empirically determine the suitability of the BUB1B bub1b for an application not listed in the data sheet. Researchers commonly develop new applications and it is an integral, important part of the investigative research process. It is sometimes possible for the material contained within the vial of "BUB1B, Polyclonal Antibody" to become dispersed throughout the inside of the vial, particularly around the seal of said vial, during shipment and storage. We always suggest centrifuging these vials to consolidate all of the liquid away from the lid and to the bottom of the vial prior to opening. Please be advised that certain products may require dry ice for shipping and that, if this is the case, an additional dry ice fee may also be required.Precautions
All products in the AAA Biotech catalog are strictly for research-use only, and are absolutely not suitable for use in any sort of medical, therapeutic, prophylactic, in-vivo, or diagnostic capacity. By purchasing a product from AAA Biotech, you are explicitly certifying that said products will be properly tested and used in line with industry standard. AAA Biotech and its authorized distribution partners reserve the right to refuse to fulfill any order if we have any indication that a purchaser may be intending to use a product outside of our accepted criteria.Disclaimer
Though we do strive to guarantee the information represented in this datasheet, AAA Biotech cannot be held responsible for any oversights or imprecisions. AAA Biotech reserves the right to adjust any aspect of this datasheet at any time and without notice. It is the responsibility of the customer to inform AAA Biotech of any product performance issues observed or experienced within 30 days of receipt of said product. To see additional details on this or any of our other policies, please see our Terms & Conditions page.Item has been added to Shopping Cart
If you are ready to order, navigate to Shopping Cart and get ready to checkout.
