Rabbit C-RAF Polyclonal Antibody | anti-RAF1 antibody
C-RAF Antibody
Phosphate buffered saline, pH 7.4, 150mM NaCl, 0.02% sodium azide and 50% glycerol.
WB (Western Blot)
(Western blot analysis of C-RAF expression in UV treated HeLa whole cell lysates, The lane on the left is treated with the antigen-specific peptide.)
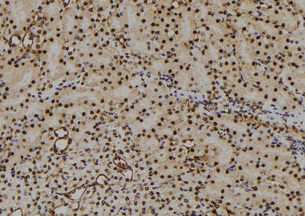
IHC (Immunohistochemisry)
(AAA322163 at 1/100 staining Mouse kidney tissue by IHC-P. The sample was formaldehyde fixed and a heat mediated antigen retrieval step in citrate buffer was performed. The sample was then blocked and incubated with the antibody for 1.5 hours at 22 degree C. An HRP conjugated goat anti-rabbit antibody was used as the secondary.)
IF (Immunofluorescence)
(AAA322163 staining Hela by IF/ICC. The sample were fixed with PFA and permeabilized in 0.1% Triton X-100, then blocked in 10% serum for 45 minutes at 25 degree C. The primary antibody was diluted at 1/200 and incubated with the sample for 1 hour at 37 degree C. An Alexa Fluor 594 conjugated goat anti-rabbit IgG (H+L) Ab, diluted at 1/600, was used as the secondary antibody.)
IF (Immunofluorescence)
(AAA322163 staining MCF-7 cells by ICC/IF. Cells were fixed with PFA and permeabilized in 0.1% saponin prior to blocking in 10% serum for 45 minutes at 37 degree C. The primary antibody was diluted 1/400 and incubated with the sample for 1 hour at 37 degree C. A Alexa Fluor 594 conjugated goat polyclonal to rabbit IgG (H+L), diluted 1/600 was used as secondary antibody.)
Function: Serine/threonine-protein kinase that acts as a regulatory link between the membrane-associated Ras GTPases and the MAPK/ERK cascade, and this critical regulatory link functions as a switch determining cell fate decisions including proliferation, differentiation, apoptosis, survival and oncogenic transformation. RAF1 activation initiates a mitogen-activated protein kinase (MAPK) cascade that comprises a sequential phosphorylation of the dual-specific MAPK kinases (MAP2K1/MEK1 and MAP2K2/MEK2) and the extracellular signal-regulated kinases (MAPK3/ERK1 and MAPK1/ERK2). The phosphorylated form of RAF1 (on residues Ser-338 and Ser-339, by PAK1) phosphorylates BAD/Bcl2-antagonist of cell death at 'Ser-75'. Phosphorylates adenylyl cyclases: ADCY2, ADCY5 and ADCY6, resulting in their activation. Phosphorylates PPP1R12A resulting in inhibition of the phosphatase activity. Phosphorylates TNNT2/cardiac muscle troponin T. Can promote NF-kB activation and inhibit signal transducers involved in motility (ROCK2), apoptosis (MAP3K5/ASK1 and STK3/MST2), proliferation and angiogenesis (RB1). Can protect cells from apoptosis also by translocating to the mitochondria where it binds BCL2 and displaces BAD/Bcl2-antagonist of cell death. Regulates Rho signaling and migration, and is required for normal wound healing. Plays a role in the oncogenic transformation of epithelial cells via repression of the TJ protein, occludin (OCLN) by inducing the up-regulation of a transcriptional repressor SNAI2/SLUG, which induces down-regulation of OCLN. Restricts caspase activation in response to selected stimuli, notably Fas stimulation, pathogen-mediated macrophage apoptosis, and erythroid differentiation.
Subunit Structure: Monomer. Homodimer. Heterodimerizes with BRAF and this heterodimer possesses a highly increased kinase activity compared to the respective homodimers or monomers (PubMed:16508002). Heterodimerization is mitogen-regulated and enhanced by 14-3-3 proteins (PubMed:16508002). MAPK1/ERK2 activation can induce a negative feedback that promotes the dissociation of the heterodimer (PubMed:16508002). Forms a multiprotein complex with Ras (M-Ras/MRAS), SHOC2 and protein phosphatase 1 (PPP1CA, PPP1CB and PPP1CC) (PubMed:16630891). Interacts with Ras proteins; the interaction is antagonized by RIN1 (PubMed:11784866). Weakly interacts with RIT1. Interacts (via N-terminus) with RGS14 (via RBD domains); the interaction mediates the formation of a ternary complex with BRAF, a ternary complex inhibited by GNAI1 (By similarity). Probably forms a complex composed of chaperones HSP90 and HSP70, co-chaperones CDC37, PPP5C, TSC1 and client protein TSC2, CDK4, AKT, RAF1 and NR3C1; this complex does not contain co-chaperones STIP1/HOP and PTGES3/p23 (PubMed:29127155). Interacts with STK3/MST2; the interaction inhibits its pro-apoptotic activity (PubMed:15618521). Interacts (when phosphorylated at Ser-259) with YWHAZ (unphosphorylated at 'Thr-232') (PubMed:9360956). Interacts with MAP2K1/MEK1 and MAP2K2/MEK2 (By similarity). Interacts with MAP3K5/ASF1 (via N-terminus) and this interaction inhibits the proapoptotic function of MAP3K5/ASK1 (PubMed:11427728). Interacts with PAK1 (via kinase domain) (PubMed:11733498). The phosphorylated form interacts with PIN1 (By similarity). The Ser-338 and Ser-339 phosphorylated form (by PAK1) interacts with BCL2 (PubMed:15849194). Interacts with PEBP1/RKIP and this interaction is enhanced if RAF1 is phosphorylated on residues Ser-338, Ser-339, Tyr-340 and Tyr-341 (PubMed:18294816). Interacts with ADCY2, ADCY5, ADCY6, DGKH, RCAN1/DSCR1, PPP1R12A, PKB/AKT1, PPP2CA, PPP2R1B, SPRY2, SPRY4, CNKSR1/CNK1, KSR2 and PHB/prohibitin (PubMed:10801873, PubMed:11719507, PubMed:12717443, PubMed:15385642, PubMed:15935327, PubMed:19710016, PubMed:10576742). Interacts with ROCK2 (By similarity). In its active form, interacts with PRMT5 (PubMed:21917714). Interacts with FAM83B; displaces 14-3-3 proteins from RAF1 and activates RAF1 (PubMed:22886302). Interacts with PDE8A; the interaction promotes RAF1 activity (PubMed:23509299).
Post-translational Modifications: Phosphorylation at Thr-269, Ser-338, Tyr-341, Thr-491 and Ser-494 results in its activation. Phosphorylation at Ser-29, Ser-43, Ser-289, Ser-296, Ser-301 and Ser-642 by MAPK1/ERK2 results in its inactivation. Phosphorylation at Ser-259 induces the interaction with YWHAZ and inactivates kinase activity. Dephosphorylation of Ser-259 by the complex containing protein phosphatase 1, SHOC2 and M-Ras/MRAS relieves inactivation, leading to stimulate RAF1 activity. Phosphorylation at Ser-338 by PAK1 and PAK5 and Ser-339 by PAK1 is required for its mitochondrial localization. Phosphorylation at Ser-621 in response to growth factor treatment stabilizes the protein, possibly by preventing proteasomal degradation. Phosphorylation at Ser-289, Ser-296, Ser-301, Ser-338 and Ser-621 are somehow linked to the methylation potential of cells. Treatment of cells with HGF in the presence of the methylation inhibitor 5'-methylthioadenosine (MTA) results in increased phosphorylation at Ser-338 and Ser-621 and decreased phosphorylation at Ser-296, Ser-301 and Ser-338. Dephosphorylation at Ser-338 by PPP5C results in an activity decrease. Methylated at Arg-563 in response to EGF treatment. This modification leads to destabilization of the protein, possibly through proteasomal degradation.
Similarity: Belongs to the protein kinase superfamily. TKL Ser/Thr protein kinase family. RAF subfamily.
NCBI and Uniprot Product Information
Predicted: 74 kDa
Customer Reviews
Loading reviews...
Share Your Experience
Similar Products
Product Notes
The RAF1 raf1 (Catalog #AAA322163) is an Antibody produced from Rabbit and is intended for research purposes only. The product is available for immediate purchase. The C-RAF Antibody reacts with Human, Mouse, Rat and may cross-react with other species as described in the data sheet. AAA Biotech's C-RAF can be used in a range of immunoassay formats including, but not limited to, ELISA, ICC (Immunocytochemistry), IF (Immunofluorescence), IHC (Immunohistochemistry), WB (Western Blot). Researchers should empirically determine the suitability of the RAF1 raf1 for an application not listed in the data sheet. Researchers commonly develop new applications and it is an integral, important part of the investigative research process. It is sometimes possible for the material contained within the vial of "C-RAF, Polyclonal Antibody" to become dispersed throughout the inside of the vial, particularly around the seal of said vial, during shipment and storage. We always suggest centrifuging these vials to consolidate all of the liquid away from the lid and to the bottom of the vial prior to opening. Please be advised that certain products may require dry ice for shipping and that, if this is the case, an additional dry ice fee may also be required.Precautions
All products in the AAA Biotech catalog are strictly for research-use only, and are absolutely not suitable for use in any sort of medical, therapeutic, prophylactic, in-vivo, or diagnostic capacity. By purchasing a product from AAA Biotech, you are explicitly certifying that said products will be properly tested and used in line with industry standard. AAA Biotech and its authorized distribution partners reserve the right to refuse to fulfill any order if we have any indication that a purchaser may be intending to use a product outside of our accepted criteria.Disclaimer
Though we do strive to guarantee the information represented in this datasheet, AAA Biotech cannot be held responsible for any oversights or imprecisions. AAA Biotech reserves the right to adjust any aspect of this datasheet at any time and without notice. It is the responsibility of the customer to inform AAA Biotech of any product performance issues observed or experienced within 30 days of receipt of said product. To see additional details on this or any of our other policies, please see our Terms & Conditions page.Item has been added to Shopping Cart
If you are ready to order, navigate to Shopping Cart and get ready to checkout.
