Rabbit CA3 Polyclonal Antibody | anti-CA3 antibody
Anti-CA3 Antibody
Each vial contains 5mg BSA, 0.9mg NaCl, 0.2mg Na2HPO4, 0.05mg NaN3.
Predicted Species: Species predicted to be fit for the product based on sequence similarities.
By Heat: Boiling the paraffin sections in 10mM citrate buffer, pH6.0, for 20mins is required for the staining of formalin/paraffin sections.
Other applications have not been tested.
IHC (Immunohistochemistry)
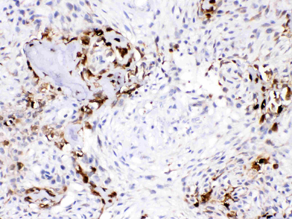
(CA3 was detected in paraffin-embedded sections of human osteosarcoma tissues using rabbit anti- CA3 Antigen Affinity purified polyclonal antibody at 1ug/mL. The immunohistochemical section was developed using SABC method.)
IHC (Immunohistochemisry)
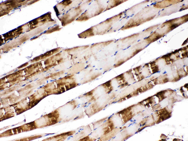
(CA3 was detected in paraffin-embedded sections of rat skeletal muscle tissues using rabbit anti- CA3 Antigen Affinity purified polyclonal antibody at 1 ug/mL. The immunohistochemical section was developed using SABC method.)
IHC (Immunohiostchemistry)
(CA3 was detected in paraffin-embedded sections of mouse skeletal muscle tissues using rabbit anti- CA3 Antigen Affinity purified polyclonal antibody at 1ug/mL. The immunohistochemical section was developed using SABC method.)
WB (Western Blot)
(Western blot analysis of CA3 expression in rat cardiac muscle extract (lane 1) and mouse cardiac muscle extract (lane 2). CA3 at 29KD was detected using rabbit anti- CA3 Antigen Affinity purified polyclonal antibody at 0.5ug/mL. The blot was developed using chemiluminescence (ECL) method.)
Background: Carbonic anhydrase III (CA3) is an enzyme that in humans is encoded by the CA3 gene. CA3 is a member of a multigene family (at least six separate genes are known) that encode carbonic anhydrase isozymes. The gene spans 10.3 kb and contains seven exons and six introns. Using a cDNA clone of the CA3 gene in the study of human-rodent hybrids, the gene was mapped to chromosome 8 which carries a cluster of CA genes. The expression of the CA3 gene is strictly tissue specific and present at high levels in skeletal muscle and much lower levels in cardiac and smooth muscle. A proportion of carriers of Duchenne muscle dystrophy have a higher CA3 level than normal.
2. Heath, R., Carter, N. D., Jeffery, S., Edwards, R. J., Watts, D. C., Watts, R. L.Evaluation of carrier detection of Duchenne muscular dystrophy using carbonic anhydrase III and creatine kinase.Am. J. Med. Genet. 21: 291-296, 1985.
3. Wade, R., Gunning, P., Eddy, R., Shows, T., Kedes, L.Nucleotide sequence, tissue-specific expression, and chromosome location of human carbonic anhydrase III: the human CAIII gene is located on the same chromosome as the closely linked CAI and CAII genes.Proc. Nat. Acad. Sci. 83: 9571-9575, 1986.
NCBI and Uniprot Product Information
Customer Reviews
Loading reviews...
Share Your Experience
Similar Products
Product Notes
The CA3 ca3 (Catalog #AAA46826) is an Antibody produced from Rabbit and is intended for research purposes only. The product is available for immediate purchase. The Anti-CA3 Antibody reacts with Human, Mouse, Rat and may cross-react with other species as described in the data sheet. AAA Biotech's CA3 can be used in a range of immunoassay formats including, but not limited to, IHC (Immunohistochemistry), WB (Western Blot). Researchers should empirically determine the suitability of the CA3 ca3 for an application not listed in the data sheet. Researchers commonly develop new applications and it is an integral, important part of the investigative research process. It is sometimes possible for the material contained within the vial of "CA3, Polyclonal Antibody" to become dispersed throughout the inside of the vial, particularly around the seal of said vial, during shipment and storage. We always suggest centrifuging these vials to consolidate all of the liquid away from the lid and to the bottom of the vial prior to opening. Please be advised that certain products may require dry ice for shipping and that, if this is the case, an additional dry ice fee may also be required.Precautions
All products in the AAA Biotech catalog are strictly for research-use only, and are absolutely not suitable for use in any sort of medical, therapeutic, prophylactic, in-vivo, or diagnostic capacity. By purchasing a product from AAA Biotech, you are explicitly certifying that said products will be properly tested and used in line with industry standard. AAA Biotech and its authorized distribution partners reserve the right to refuse to fulfill any order if we have any indication that a purchaser may be intending to use a product outside of our accepted criteria.Disclaimer
Though we do strive to guarantee the information represented in this datasheet, AAA Biotech cannot be held responsible for any oversights or imprecisions. AAA Biotech reserves the right to adjust any aspect of this datasheet at any time and without notice. It is the responsibility of the customer to inform AAA Biotech of any product performance issues observed or experienced within 30 days of receipt of said product. To see additional details on this or any of our other policies, please see our Terms & Conditions page.Item has been added to Shopping Cart
If you are ready to order, navigate to Shopping Cart and get ready to checkout.
