Rabbit CALM1 Polyclonal Antibody | anti-CALM1 antibody
CALM1 Antibody
Phosphate buffered saline, pH 7.4, 150mM NaCl, 0.02% sodium azide and 50% glycerol.
WB (Western Blot)
(Western blot analysis of A431 lysate using CALM1 antibody. The lane on the left is treated with the antigen-specific peptide.)
IF (Immunofluorescence)
(AAA326098 staining HeLa cells by IF/ICC. The sample were fixed with PFA and permeabilized in 0.1% Triton X-100, then blocked in 10% serum for 45 minutes at 25 degree C. The primary antibody was diluted at 1/200 and incubated with the sample for 1 hour at 37 degree C. An Alexa Fluor 594 conjugated goat anti-rabbit IgG (H+L) antibody, diluted at 1/600, was used as secondary antibody.)
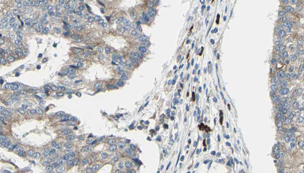
IHC (Immunohistochemistry)
(AAA326098 at 1/100 staining Human prostate tissue by IHC-P. The sample was formaldehyde fixed and a heat mediated antigen retrieval step in citrate buffer was performed. The sample was then blocked and incubated with the antibody for 1.5 hours at 22 degree C. An HRP conjugated goat anti-rabbit antibody was used as the secondary.)
Function: Calmodulin mediates the control of a large number of enzymes, ion channels, aquaporins and other proteins through calcium-binding. Among the enzymes to be stimulated by the calmodulin-calcium complex are a number of protein kinases and phosphatases. Together with CCP110 and centrin, is involved in a genetic pathway that regulates the centrosome cycle and progression through cytokinesis.
Subunit Structure: Interacts with MYO1C, MYO5A and RRAD. Interacts with MYO10 (By similarity). Interacts with CEP97, CCP110, TTN/titin and SRY (PubMed:9804419, PubMed:12871148, PubMed:15746192, PubMed:16760425, PubMed:17719545). Interacts with USP6; the interaction is calcium dependent (PubMed:16127172). Interacts with CDK5RAP2 (PubMed:20466722). Interacts with SCN5A (By similarity). Interacts with RYR1 (PubMed:18650434). Interacts with FCHO1 (PubMed:22484487). Interacts with MIP in a 1:2 stoichiometry; the interaction with the cytoplasmic domains from two MIP subunits promotes MIP water channel closure (By similarity). Interacts with ORAI1; this may play a role in the regulation of ORAI1-mediated calcium transport (By similarity). Interacts with IQCF1 (By similarity). Interacts with SYT7 (By similarity). Interacts with CEACAM1 (via cytoplasmic domain); this interaction is in a calcium dependent manner and reduces homophilic cell adhesion through dissociation of dimer (By similarity). Interacts with RYR2; regulates RYR2 calcium-release channel activity (PubMed:27516456, PubMed:18650434). Interacts with PCP4; regulates calmodulin calcium-binding (PubMed:27876793). Interacts with the heterotetrameric KCNQ2 and KCNQ3 channel; the interaction is calcium-independent, constitutive and participates to the proper assembly of a functional heterotetrameric M channel (PubMed:27564677).
Post-translational Modifications: Ubiquitination results in a strongly decreased activity. Phosphorylation results in a decreased activity.
Similarity: Belongs to the calmodulin family.
NCBI and Uniprot Product Information
Predicted: 17 kDa
Customer Reviews
Loading reviews...
Share Your Experience
Similar Products
Product Notes
The CALM1 calm3 (Catalog #AAA326098) is an Antibody produced from Rabbit and is intended for research purposes only. The product is available for immediate purchase. The CALM1 Antibody reacts with Human, Mouse, Rat and may cross-react with other species as described in the data sheet. AAA Biotech's CALM1 can be used in a range of immunoassay formats including, but not limited to, ELISA, ICC (Immunocytochemistry), IF (Immunofluorescence), IHC (Immunohistochemistry), WB (Western Blot). Researchers should empirically determine the suitability of the CALM1 calm3 for an application not listed in the data sheet. Researchers commonly develop new applications and it is an integral, important part of the investigative research process. It is sometimes possible for the material contained within the vial of "CALM1, Polyclonal Antibody" to become dispersed throughout the inside of the vial, particularly around the seal of said vial, during shipment and storage. We always suggest centrifuging these vials to consolidate all of the liquid away from the lid and to the bottom of the vial prior to opening. Please be advised that certain products may require dry ice for shipping and that, if this is the case, an additional dry ice fee may also be required.Precautions
All products in the AAA Biotech catalog are strictly for research-use only, and are absolutely not suitable for use in any sort of medical, therapeutic, prophylactic, in-vivo, or diagnostic capacity. By purchasing a product from AAA Biotech, you are explicitly certifying that said products will be properly tested and used in line with industry standard. AAA Biotech and its authorized distribution partners reserve the right to refuse to fulfill any order if we have any indication that a purchaser may be intending to use a product outside of our accepted criteria.Disclaimer
Though we do strive to guarantee the information represented in this datasheet, AAA Biotech cannot be held responsible for any oversights or imprecisions. AAA Biotech reserves the right to adjust any aspect of this datasheet at any time and without notice. It is the responsibility of the customer to inform AAA Biotech of any product performance issues observed or experienced within 30 days of receipt of said product. To see additional details on this or any of our other policies, please see our Terms & Conditions page.Item has been added to Shopping Cart
If you are ready to order, navigate to Shopping Cart and get ready to checkout.
