Rabbit Calreticulin Polyclonal Antibody | anti-CALR antibody
Calreticulin Antibody: ATTO 390
IHC (Immunohiostchemistry)
(Immunohistochemistry analysis using Rabbit Anti-Calreticulin Polyclonal Antibody (SPC-122). Tissue: backskin. Species: Mouse. Fixation: Bouin's Fixative Solution. Primary Antibody: Rabbit Anti-Calreticulin Polyclonal Antibody (SPC-122) at 1:100 for 1 hour at RT. Secondary Antibody: FITC Goat Anti-Rabbit (green) at 1:50 for 1 hour at RT. Localization: Cytoplasmic granule. Endoplasmic reticulum lumen.)
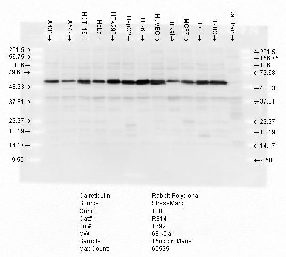
WB (Western Blot)
(Western blot analysis of multiple cell lines lysates showing detection of Calreticulin protein using Rabbit Anti-Calreticulin Polyclonal Antibody (SPC-122). Load: 15 ugprotein. Block: 1.5% BSA for 30 minutes at RT. Primary Antibody: Rabbit Anti-Calreticulin Polyclonal Antibody (SPC-122) at 1:5000 for 2 hours at RT. Secondary Antibody: Donkey Anti-Rabbit IgG: HRP for 1 hour at RT.)
Scientific Background: Calreticulin is a multifunctional, highly conserved Ca2+ -binding protein that is localized to the endoplasmic reticulum (ER), but has also been detected in the nucleus and nuclear envelop. Like many other ER proteins, it has the conserved ER retention KDEL (Lys-Asp-Glu-Leu) sequence at its C-terminus (1-3). CRT's three domains include a 180 residue N-terminal domain, a proline-rich P-domain (residues 189-288) that binds Ca2+ with high affinity and shares homology with calnexin (CNX) and calmegin, and a 110 residue C-terminal domain that binds Ca2+ with low affinity but high capacity (1,3). Recent studies suggest that this soluble ER protein has a multifunctional role. It appears to be involved in calcium storage and regulation as well as having a molecular chaperone activity. It has been shown to interact with the cytoskeleton and to be involved in the regulation of gene expression. Calreticulin may also play a role in cellular proliferation including its apparent activity in the proliferation of certain viruses within mammalian host cells (4, 5), and it has also been shown to be induced in response to various types of cell stress including amino acid deprivation (6). Close interconnections among protein synthesis, gene expression and calcium signaling have been observed by many researchers in recent years. Calreticulin might be centrally located and therefore it crucially participates in the coordination of many functions by the cell (4, 5). Studies also suggest its involvement in a few diseases such as systemic lupus erythematosus, rheumatoid arthritis, celiac disease, complete congenital heart block, and halothane hepatitis (1).
NCBI and Uniprot Product Information
Customer Reviews
Loading reviews...
Share Your Experience
Similar Products
Product Notes
The CALR calr (Catalog #AAA103681) is an Antibody produced from Rabbit and is intended for research purposes only. The product is available for immediate purchase. The Calreticulin Antibody: ATTO 390 reacts with Human, Mouse, Rat, Bovine, Canine, Chicken, Drosophila, Fish (carp), Guinea pig, Hamster, Monkey, Pig, Rabbit, Sheep and may cross-react with other species as described in the data sheet. AAA Biotech's Calreticulin can be used in a range of immunoassay formats including, but not limited to, IF (Immunofluorescence), IP (Immunoprecipitation), ICC (Immunocytochemistry), IHC (Immunohistochemistry), WB (Western Blot). Researchers should empirically determine the suitability of the CALR calr for an application not listed in the data sheet. Researchers commonly develop new applications and it is an integral, important part of the investigative research process. It is sometimes possible for the material contained within the vial of "Calreticulin, Polyclonal Antibody" to become dispersed throughout the inside of the vial, particularly around the seal of said vial, during shipment and storage. We always suggest centrifuging these vials to consolidate all of the liquid away from the lid and to the bottom of the vial prior to opening. Please be advised that certain products may require dry ice for shipping and that, if this is the case, an additional dry ice fee may also be required.Precautions
All products in the AAA Biotech catalog are strictly for research-use only, and are absolutely not suitable for use in any sort of medical, therapeutic, prophylactic, in-vivo, or diagnostic capacity. By purchasing a product from AAA Biotech, you are explicitly certifying that said products will be properly tested and used in line with industry standard. AAA Biotech and its authorized distribution partners reserve the right to refuse to fulfill any order if we have any indication that a purchaser may be intending to use a product outside of our accepted criteria.Disclaimer
Though we do strive to guarantee the information represented in this datasheet, AAA Biotech cannot be held responsible for any oversights or imprecisions. AAA Biotech reserves the right to adjust any aspect of this datasheet at any time and without notice. It is the responsibility of the customer to inform AAA Biotech of any product performance issues observed or experienced within 30 days of receipt of said product. To see additional details on this or any of our other policies, please see our Terms & Conditions page.Item has been added to Shopping Cart
If you are ready to order, navigate to Shopping Cart and get ready to checkout.
