Rabbit anti-Human, Mouse CAST Polyclonal Antibody | anti-CAST antibody
CAST Polyclonal Antibody
Gene Names
CAST; BS-17; PLACK
Reactivity
Human, Mouse
Applications
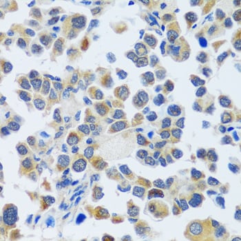
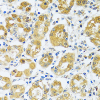
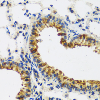
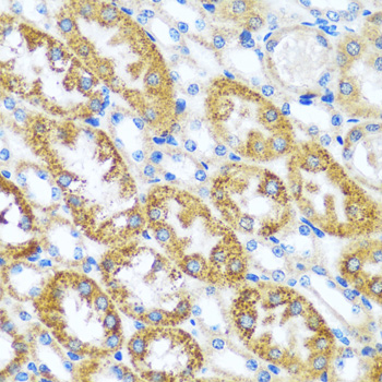
Immunohistochemistry, Western Blot
Purity
Affinity Purification
Synonyms
CAST, Antibody; CAST Polyclonal Antibody; CAST; BS-17; PLACK; calpastatin; anti-CAST antibody
Host
Rabbit
Reactivity
Human, Mouse
Clonality
Polyclonal
Isotype
IgG
Purity/Purification
Affinity Purification
Form/Format
PBS with 0.02% sodium azide, 50% glycerol, pH7.3.
Concentration
2.79 mg/ml (varies by lot)
Sequence Length
708
Applicable Applications for anti-CAST antibody
IHC (Immunohistochemistry), WB (Western Blot)
Immunogen
Recombinant fusion protein containing a sequence corresponding to amino acids 406-695 of human CAST (NP_001177371.1).
Immunogen Sequence
PPEPATLKGTVPDDAVEALADSLGKKEADPEDGKPVMDKVKEKAKEEDREKLGEKEETIPPDYRLEEVKDKDGKPLLPKESKEQLPPMSEDFLLDALSEDFSGPQNASSLKFEDAKLAAAISEVVSQTPASTTQAGAPPRDTSQSDKDLDDALDKLSDSLGQRQPDPDENKPMEDKVKEKAKAEHRDKLGERDDTIPPEYRHLLDDNGQDKPVKPPTKKSEDSKKPADDQDPIDALSGDLDSCPSTTETSQNTAKDKCKKAASSSKAPKNGGKAKDSAKTTEETSKPKDD
Preparation and Storage
Store at -20 degree C. Avoid freeze/thaw cycles.
Related Product Information for anti-CAST antibody
The protein encoded by this gene is an endogenous calpain (calcium-dependent cysteine protease) inhibitor. It consists of an N-terminal domain L and four repetitive calpain-inhibition domains (domains 1-4), and it is involved in the proteolysis of amyloid precursor protein. The calpain/calpastatin system is involved in numerous membrane fusion events, such as neural vesicle exocytosis and platelet and red-cell aggregation. The encoded protein is also thought to affect the expression levels of genes encoding structural or regulatory proteins. Alternatively spliced transcript variants encoding different isoforms have been described.
NCBI and Uniprot Product Information
NCBI GI #
NCBI GeneID
UniProt Accession #
Molecular Weight
63kDa; 71- 84kDa
NCBI Official Full Name
Calpastatin
NCBI Official Synonym Full Names
calpastatin
NCBI Official Symbol
CAST
NCBI Official Synonym Symbols
BS-17; PLACK
NCBI Protein Information
calpastatin
UniProt Protein Name
Calpastatin
UniProt Gene Name
CAST
UniProt Entry Name
ICAL_HUMAN
Customer Reviews
Loading reviews...
Share Your Experience
Similar Products
Product Notes
The CAST cast (Catalog #AAA281480) is an Antibody produced from Rabbit and is intended for research purposes only. The product is available for immediate purchase. The CAST Polyclonal Antibody reacts with Human, Mouse and may cross-react with other species as described in the data sheet. AAA Biotech's CAST can be used in a range of immunoassay formats including, but not limited to, IHC (Immunohistochemistry), WB (Western Blot). Researchers should empirically determine the suitability of the CAST cast for an application not listed in the data sheet. Researchers commonly develop new applications and it is an integral, important part of the investigative research process. It is sometimes possible for the material contained within the vial of "CAST, Polyclonal Antibody" to become dispersed throughout the inside of the vial, particularly around the seal of said vial, during shipment and storage. We always suggest centrifuging these vials to consolidate all of the liquid away from the lid and to the bottom of the vial prior to opening. Please be advised that certain products may require dry ice for shipping and that, if this is the case, an additional dry ice fee may also be required.Precautions
All products in the AAA Biotech catalog are strictly for research-use only, and are absolutely not suitable for use in any sort of medical, therapeutic, prophylactic, in-vivo, or diagnostic capacity. By purchasing a product from AAA Biotech, you are explicitly certifying that said products will be properly tested and used in line with industry standard. AAA Biotech and its authorized distribution partners reserve the right to refuse to fulfill any order if we have any indication that a purchaser may be intending to use a product outside of our accepted criteria.Disclaimer
Though we do strive to guarantee the information represented in this datasheet, AAA Biotech cannot be held responsible for any oversights or imprecisions. AAA Biotech reserves the right to adjust any aspect of this datasheet at any time and without notice. It is the responsibility of the customer to inform AAA Biotech of any product performance issues observed or experienced within 30 days of receipt of said product. To see additional details on this or any of our other policies, please see our Terms & Conditions page.Item has been added to Shopping Cart
If you are ready to order, navigate to Shopping Cart and get ready to checkout.
