Rabbit Caveolin-1 Polyclonal Antibody | anti-CAV1 antibody
Anti-Caveolin-1 Antibody
Each vial contains 5mg BSA, 0.9mg NaCl, 0.2mg Na2HPO4, 0.05mg NaN3.
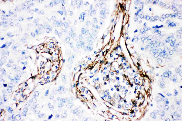
IHC (Immunohistochemistry)
(Anti- Caveolin-1 picoband antibody, AAA46020, IHC(P)IHC(P): Human Lung Cancer Tissue)
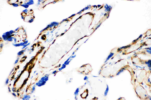
IHC (Immunohistochemisry)
(Anti- Caveolin-1 picoband antibody, AAA46020, IHC(P)IHC(P): Human Placenta Tissue)
WB (Western Blot)
(Anti- Caveolin-1 picoband antibody, AAA46020, Western blottingAll lanes: Anti Caveolin-1 (AAA46020) at 0.5ug/mlLane 1: Hela Whole Cell Lysate at 40ugLane 2: HT1080 Whole Cell Lysate at 40ugLane 3: Human Placenta Tissue Lysate at 50ugLane 4: A431 Whole Cell Lysate at 40ugPredicted bind size: 21KDObserved bind size: 21KD)
WB (Western Blot)
(Anti- Caveolin-1 picoband antibody, AAA46020, Western blottingAll lanes: Anti Caveolin-1 (AAA46020) at 0.5ug/mlWB: Recombinant Human Caveolin-1 Protein 0.5ngPredicted bind size: 40KDObserved bind size: 40KD)
Background: CAV1(Caveolin-1) is a protein that in humans is encoded by the CAV1 gene. The CAV1 gene is mapped to 7q31.2. The scaffolding protein encoded by this gene is the main component of the caveolae plasma membranes found in most cell types. The protein links integrin subunits to the tyrosine kinase FYN, an initiating step in coupling integrins to the Ras-ERK pathway and promoting cell cycle progression. The gene is a tumor suppressor gene candidate and a negative regulator of the Ras-p42/44 MAP kinase cascade. CAV1 and CAV2 are located next to each other on chromosome 7 and express colocalizing proteins that form a stable hetero-oligomeric complex. By using alternative initiation codons in the same reading frame, two isoforms(alpha and beta) are encoded by a single transcript from this gene.
NCBI and Uniprot Product Information
Customer Reviews
Loading reviews...
Share Your Experience
Similar Products
Product Notes
The CAV1 cav1 (Catalog #AAA46020) is an Antibody produced from Rabbit and is intended for research purposes only. The product is available for immediate purchase. The Anti-Caveolin-1 Antibody reacts with Human, Mouse. No cross reactivity with other proteins. and may cross-react with other species as described in the data sheet. AAA Biotech's Caveolin-1 can be used in a range of immunoassay formats including, but not limited to, IHC (Immunohistochemistry), IHC (Immunohistochemistry), WB (Western Blot). Researchers should empirically determine the suitability of the CAV1 cav1 for an application not listed in the data sheet. Researchers commonly develop new applications and it is an integral, important part of the investigative research process. It is sometimes possible for the material contained within the vial of "Caveolin-1, Polyclonal Antibody" to become dispersed throughout the inside of the vial, particularly around the seal of said vial, during shipment and storage. We always suggest centrifuging these vials to consolidate all of the liquid away from the lid and to the bottom of the vial prior to opening. Please be advised that certain products may require dry ice for shipping and that, if this is the case, an additional dry ice fee may also be required.Precautions
All products in the AAA Biotech catalog are strictly for research-use only, and are absolutely not suitable for use in any sort of medical, therapeutic, prophylactic, in-vivo, or diagnostic capacity. By purchasing a product from AAA Biotech, you are explicitly certifying that said products will be properly tested and used in line with industry standard. AAA Biotech and its authorized distribution partners reserve the right to refuse to fulfill any order if we have any indication that a purchaser may be intending to use a product outside of our accepted criteria.Disclaimer
Though we do strive to guarantee the information represented in this datasheet, AAA Biotech cannot be held responsible for any oversights or imprecisions. AAA Biotech reserves the right to adjust any aspect of this datasheet at any time and without notice. It is the responsibility of the customer to inform AAA Biotech of any product performance issues observed or experienced within 30 days of receipt of said product. To see additional details on this or any of our other policies, please see our Terms & Conditions page.Item has been added to Shopping Cart
If you are ready to order, navigate to Shopping Cart and get ready to checkout.
