Rabbit anti-Human CCAAT/enhancer-binding protein gamma Polyclonal Antibody | anti-CEBPG antibody
Rabbit anti-human CCAAT/enhancer-binding protein gamma polyclonal Antibody(CEBPG)
Gene Names
CEBPG; GPE1BP; IG/EBP-1
Reactivity
Human
Applications
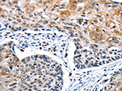
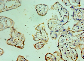
Immunohistochemistry, ELISA
Purity
Antigen Affinity Purified
Synonyms
CCAAT/enhancer-binding protein gamma, Antibody; Rabbit anti-human CCAAT/enhancer-binding protein gamma polyclonal Antibody(CEBPG); C/EBP gamma; CEBPG; anti-CEBPG antibody
Host
Rabbit
Reactivity
Human
Clonality
Polyclonal
Isotype
IgG
Purity/Purification
Antigen Affinity Purified
Sequence Length
150
Applicable Applications for anti-CEBPG antibody
IHC (Immunohistochemistry), ELISA
Storage Buffer
PBS with 0.02% sodium azide, 50% glycerol, pH7.3.
Conjugate
Non-conjugated
Immunogen
Recombinant human CCAAT/enhancer-binding protein gamma protein (1-150aa)
Santa Cruz Alternative
Potential replacement for Santa Cruz Biotechnology antibody catalog# sc-7658 / sc-7659 / sc-25769
Preparation and Storage
Shipped at 4 degree C. Upon delivery aliquot and store at -20 degree C or -80 degree C. Avoid repeated freeze.
Related Product Information for anti-CEBPG antibody
Transcription factor that binds to the enhancer element PRE-I (positive regulatory element-I) of the IL-4 gene. Might change the DNA-binding specificity of other transcription factors and recruit them to unusual DNA sites.
NCBI and Uniprot Product Information
NCBI GI #
NCBI GeneID
NCBI Accession #
NCBI GenBank Nucleotide #
Molecular Weight
16,408 Da
NCBI Official Full Name
CCAAT/enhancer-binding protein gamma
NCBI Official Synonym Full Names
CCAAT/enhancer binding protein gamma
NCBI Official Symbol
CEBPG
NCBI Official Synonym Symbols
GPE1BP; IG/EBP-1
NCBI Protein Information
CCAAT/enhancer-binding protein gamma
UniProt Protein Name
CCAAT/enhancer-binding protein gamma
UniProt Gene Name
CEBPG
UniProt Synonym Gene Names
C/EBP gamma
UniProt Entry Name
CEBPG_HUMAN
Customer Reviews
Loading reviews...
Share Your Experience
Similar Products
Product Notes
The CEBPG cebpg (Catalog #AAA119270) is an Antibody produced from Rabbit and is intended for research purposes only. The product is available for immediate purchase. The Rabbit anti-human CCAAT/enhancer-binding protein gamma polyclonal Antibody(CEBPG) reacts with Human and may cross-react with other species as described in the data sheet. AAA Biotech's CCAAT/enhancer-binding protein gamma can be used in a range of immunoassay formats including, but not limited to, IHC (Immunohistochemistry), ELISA. Researchers should empirically determine the suitability of the CEBPG cebpg for an application not listed in the data sheet. Researchers commonly develop new applications and it is an integral, important part of the investigative research process. It is sometimes possible for the material contained within the vial of "CCAAT/enhancer-binding protein gamma, Polyclonal Antibody" to become dispersed throughout the inside of the vial, particularly around the seal of said vial, during shipment and storage. We always suggest centrifuging these vials to consolidate all of the liquid away from the lid and to the bottom of the vial prior to opening. Please be advised that certain products may require dry ice for shipping and that, if this is the case, an additional dry ice fee may also be required.Precautions
All products in the AAA Biotech catalog are strictly for research-use only, and are absolutely not suitable for use in any sort of medical, therapeutic, prophylactic, in-vivo, or diagnostic capacity. By purchasing a product from AAA Biotech, you are explicitly certifying that said products will be properly tested and used in line with industry standard. AAA Biotech and its authorized distribution partners reserve the right to refuse to fulfill any order if we have any indication that a purchaser may be intending to use a product outside of our accepted criteria.Disclaimer
Though we do strive to guarantee the information represented in this datasheet, AAA Biotech cannot be held responsible for any oversights or imprecisions. AAA Biotech reserves the right to adjust any aspect of this datasheet at any time and without notice. It is the responsibility of the customer to inform AAA Biotech of any product performance issues observed or experienced within 30 days of receipt of said product. To see additional details on this or any of our other policies, please see our Terms & Conditions page.Item has been added to Shopping Cart
If you are ready to order, navigate to Shopping Cart and get ready to checkout.
