Rabbit CCDC134 Polyclonal Antibody | anti-CCDC134 antibody
CCDC134 Antibody
Reactivity
Human, Mouse, Rat
Applications
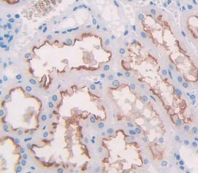
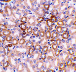
Immunohistochemistry, Western Blot, ELISA
Purity
Affinity chromatography purified via peptide column
Synonyms
CCDC134, Antibody; CCDC134 Antibody; CCDC134, Coiled-coil domain containing 134; anti-CCDC134 antibody
Host
Rabbit
Reactivity
Human, Mouse, Rat
Clonality
Polyclonal
Purity/Purification
Affinity chromatography purified via peptide column
Form/Format
Supplied in PBS containing 0.02% sodium azide.
Sequence Length
229
Applicable Applications for anti-CCDC134 antibody
IHC (Immunohistochemistry), WB (Western Blot), ELISA
Immunogen Type
Peptide
Immunogen Description
Raised against a 17 amino acid peptide near the amino terminus of human CCDC134.
Target Name
CCDC134
Preparation and Storage
Can be stored at -20 degree C, stable for one year. As with all antibodies care should be taken to avoid repeated freeze thaw cycles. Antibodies should not be exposed to prolonged high temperatures.
Related Product Information for anti-CCDC134 antibody
The coiled-coil domain is a common protein motif that is often involved in protein oligomerization and is found in proteins such as transcription factors and intermediate filaments. One such protein is CCDC134, a recently identified secretory protein that has been found to inhibit the transcriptional activity of the Elk1 protein. Overexpression CCDC134 also inhibited the phosphorylation of Erk and JNK/SAPK but not p38 MAPK, while specific siRNA against CCDC134 activated Elk1 transcriptional activity and the phosphorylation of Erk and JNK/SAPK, suggesting a potential inhibiting role of CCDC134 in MAPK-mediated Elk1 transcription. CCDC134 is widely expressing in normal adult tissues, tumors, and cell lines.
Product Categories/Family for anti-CCDC134 antibody
NCBI and Uniprot Product Information
NCBI GI #
NCBI GeneID
NCBI Accession #
NCBI GenBank Nucleotide #
Molecular Weight
26,561 Da
NCBI Official Full Name
coiled-coil domain-containing protein 134 isoform 1
NCBI Official Synonym Full Names
coiled-coil domain containing 134
NCBI Official Symbol
CCDC134
NCBI Protein Information
coiled-coil domain-containing protein 134
UniProt Protein Name
Coiled-coil domain-containing protein 134
UniProt Gene Name
CCDC134
UniProt Entry Name
CC134_HUMAN
Customer Reviews
Loading reviews...
Share Your Experience
Similar Products
Product Notes
The CCDC134 ccdc134 (Catalog #AAA302371) is an Antibody produced from Rabbit and is intended for research purposes only. The product is available for immediate purchase. The CCDC134 Antibody reacts with Human, Mouse, Rat and may cross-react with other species as described in the data sheet. AAA Biotech's CCDC134 can be used in a range of immunoassay formats including, but not limited to, IHC (Immunohistochemistry), WB (Western Blot), ELISA. Researchers should empirically determine the suitability of the CCDC134 ccdc134 for an application not listed in the data sheet. Researchers commonly develop new applications and it is an integral, important part of the investigative research process. It is sometimes possible for the material contained within the vial of "CCDC134, Polyclonal Antibody" to become dispersed throughout the inside of the vial, particularly around the seal of said vial, during shipment and storage. We always suggest centrifuging these vials to consolidate all of the liquid away from the lid and to the bottom of the vial prior to opening. Please be advised that certain products may require dry ice for shipping and that, if this is the case, an additional dry ice fee may also be required.Precautions
All products in the AAA Biotech catalog are strictly for research-use only, and are absolutely not suitable for use in any sort of medical, therapeutic, prophylactic, in-vivo, or diagnostic capacity. By purchasing a product from AAA Biotech, you are explicitly certifying that said products will be properly tested and used in line with industry standard. AAA Biotech and its authorized distribution partners reserve the right to refuse to fulfill any order if we have any indication that a purchaser may be intending to use a product outside of our accepted criteria.Disclaimer
Though we do strive to guarantee the information represented in this datasheet, AAA Biotech cannot be held responsible for any oversights or imprecisions. AAA Biotech reserves the right to adjust any aspect of this datasheet at any time and without notice. It is the responsibility of the customer to inform AAA Biotech of any product performance issues observed or experienced within 30 days of receipt of said product. To see additional details on this or any of our other policies, please see our Terms & Conditions page.Item has been added to Shopping Cart
If you are ready to order, navigate to Shopping Cart and get ready to checkout.
