Rabbit CCND1 Polyclonal Antibody | anti-CCND1 antibody
CCND1 Polyclonal Antibody
Gene Names
CCND1; BCL1; PRAD1; U21B31; D11S287E
Reactivity
Human, Mouse, Rat
Applications
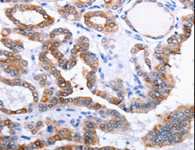
Immunohistochemistry, ELISA
Purity
Antigen affinity purification
Synonyms
CCND1, Antibody; CCND1 Polyclonal Antibody; BCL1, PRAD1, U21B31, D11S287E; anti-CCND1 antibody
Host
Rabbit
Reactivity
Human, Mouse, Rat
Clonality
Polyclonal
Isotype
IgG
Purity/Purification
Antigen affinity purification
Concentration
1.4mg/mL (varies by lot)
Sequence Length
295
Applicable Applications for anti-CCND1 antibody
IHC (Immunohistochemistry), ELISA
Immunogen
Synthetic peptide of human CCND1
Buffer
PBS with 0.05% sodium azide, 50% glycerol, pH7.3
Preparation and Storage
Store at -20 degree C (regular) and -80 degree C (long term). Avoid freeze / thaw cycles.
Related Product Information for anti-CCND1 antibody
The protein encoded by this gene belongs to the highly conserved cyclin family, whose members are characterized by a dramatic periodicity in protein abundance throughout the cell cycle. Cyclins function as regulators of CDK kinases. Different cyclins exhibit distinct expression and degradation patterns which contribute to the temporal coordination of each mitotic event. This cyclin forms a complex with and functions as a regulatory subunit of CDK4 or CDK6, whose activity is required for cell cycle G1/S transition. This protein has been shown to interact with tumor suppressor protein Rb and the expression of this gene is regulated positively by Rb. Mutations, amplification and overexpression of this gene, which alters cell cycle progression, are observed frequently in a variety of tumors and may contribute to tumorigenesis.
Product Categories/Family for anti-CCND1 antibody
NCBI and Uniprot Product Information
NCBI GI #
NCBI GeneID
Molecular Weight
33,729 Da
NCBI Official Full Name
CCND1, partial
NCBI Official Synonym Full Names
cyclin D1
NCBI Official Symbol
CCND1
NCBI Official Synonym Symbols
BCL1; PRAD1; U21B31; D11S287E
NCBI Protein Information
G1/S-specific cyclin-D1; B-cell CLL/lymphoma 1; B-cell lymphoma 1 protein; BCL-1 oncogene; PRAD1 oncogene
UniProt Protein Name
CCND1 protein
UniProt Gene Name
CCND1
UniProt Entry Name
Q6FI00_HUMAN
Similar Products
Product Notes
The CCND1 ccnd1 (Catalog #AAA169410) is an Antibody produced from Rabbit and is intended for research purposes only. The product is available for immediate purchase. The CCND1 Polyclonal Antibody reacts with Human, Mouse, Rat and may cross-react with other species as described in the data sheet. AAA Biotech's CCND1 can be used in a range of immunoassay formats including, but not limited to, IHC (Immunohistochemistry), ELISA. Researchers should empirically determine the suitability of the CCND1 ccnd1 for an application not listed in the data sheet. Researchers commonly develop new applications and it is an integral, important part of the investigative research process. It is sometimes possible for the material contained within the vial of "CCND1, Polyclonal Antibody" to become dispersed throughout the inside of the vial, particularly around the seal of said vial, during shipment and storage. We always suggest centrifuging these vials to consolidate all of the liquid away from the lid and to the bottom of the vial prior to opening. Please be advised that certain products may require dry ice for shipping and that, if this is the case, an additional dry ice fee may also be required.Precautions
All products in the AAA Biotech catalog are strictly for research-use only, and are absolutely not suitable for use in any sort of medical, therapeutic, prophylactic, in-vivo, or diagnostic capacity. By purchasing a product from AAA Biotech, you are explicitly certifying that said products will be properly tested and used in line with industry standard. AAA Biotech and its authorized distribution partners reserve the right to refuse to fulfill any order if we have any indication that a purchaser may be intending to use a product outside of our accepted criteria.Disclaimer
Though we do strive to guarantee the information represented in this datasheet, AAA Biotech cannot be held responsible for any oversights or imprecisions. AAA Biotech reserves the right to adjust any aspect of this datasheet at any time and without notice. It is the responsibility of the customer to inform AAA Biotech of any product performance issues observed or experienced within 30 days of receipt of said product. To see additional details on this or any of our other policies, please see our Terms & Conditions page.Item has been added to Shopping Cart
If you are ready to order, navigate to Shopping Cart and get ready to checkout.
