Rabbit anti-Human CCR4-NOT transcription complex subunit 8 Polyclonal Antibody | anti-CNOT8 antibody
Rabbit anti-human CCR4-NOT transcription complex subunit 8 polyclonal Antibody(CNOT8)
Gene Names
CNOT8; CAF1; POP2; CALIF; Caf1b; hCAF1
Reactivity
Human
Applications
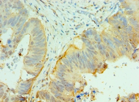
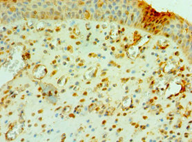
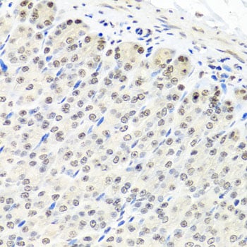
Immunohistochemistry, ELISA
Purity
Antigen Affinity Purified
Synonyms
CCR4-NOT transcription complex subunit 8, Antibody; Rabbit anti-human CCR4-NOT transcription complex subunit 8 polyclonal Antibody(CNOT8); CAF1-like protein; CALIFp; CAF2; CCR4-associated factor 8; Caf1b; CNOT8; CALIF; POP2; anti-CNOT8 antibody
Host
Rabbit
Reactivity
Human
Clonality
Polyclonal
Isotype
IgG
Purity/Purification
Antigen Affinity Purified
Sequence Length
292
Applicable Applications for anti-CNOT8 antibody
IHC (Immunohistochemistry), ELISA
Storage Buffer
PBS with 0.02% sodium azide, 50% glycerol, pH7.3.
Conjugate
Non-conjugated
Immunogen
Recombinant human CCR4-NOT transcription complex subunit 8 protein (1-292aa)
Santa Cruz Alternative
Potential replacement for Santa Cruz Biotechnology antibody catalog# sc-82837 / sc-82838
Preparation and Storage
Shipped at 4 degree C. Upon delivery aliquot and store at -20 degree C or -80 degree C. Avoid repeated freeze.
Related Product Information for anti-CNOT8 antibody
Has 3'-5' poly(A) exoribonuclease activity for synthetic poly(A) RNA substrate. Its function seems to be partially redundant with that of CNOT7. Catalytic component of the CCR4-NOT complex which is linked to various cellular processes including bulk mRNA degradation, miRNA-mediated repression, translational repression during translational initiation and general transcription regulation. During miRNA-mediated repression the complex seems also to act as translational repressor during translational initiation. Additional complex functions may be a consequence of its influence on mRNA expression. Associates with members of the BTG family such as TOB1 and BTG2 and is required for their anti-proliferative activity.
NCBI and Uniprot Product Information
NCBI GI #
NCBI GeneID
NCBI Accession #
NCBI GenBank Nucleotide #
Molecular Weight
27,415 Da
NCBI Official Full Name
CCR4-NOT transcription complex subunit 8 isoform 1
NCBI Official Synonym Full Names
CCR4-NOT transcription complex subunit 8
NCBI Official Symbol
CNOT8
NCBI Official Synonym Symbols
CAF1; POP2; CALIF; Caf1b; hCAF1
NCBI Protein Information
CCR4-NOT transcription complex subunit 8
UniProt Protein Name
CCR4-NOT transcription complex subunit 8
UniProt Gene Name
CNOT8
UniProt Synonym Gene Names
CALIF; POP2; CALIFp
UniProt Entry Name
CNOT8_HUMAN
Customer Reviews
Loading reviews...
Share Your Experience
Similar Products
Product Notes
The CNOT8 cnot8 (Catalog #AAA119168) is an Antibody produced from Rabbit and is intended for research purposes only. The product is available for immediate purchase. The Rabbit anti-human CCR4-NOT transcription complex subunit 8 polyclonal Antibody(CNOT8) reacts with Human and may cross-react with other species as described in the data sheet. AAA Biotech's CCR4-NOT transcription complex subunit 8 can be used in a range of immunoassay formats including, but not limited to, IHC (Immunohistochemistry), ELISA. Researchers should empirically determine the suitability of the CNOT8 cnot8 for an application not listed in the data sheet. Researchers commonly develop new applications and it is an integral, important part of the investigative research process. It is sometimes possible for the material contained within the vial of "CCR4-NOT transcription complex subunit 8, Polyclonal Antibody" to become dispersed throughout the inside of the vial, particularly around the seal of said vial, during shipment and storage. We always suggest centrifuging these vials to consolidate all of the liquid away from the lid and to the bottom of the vial prior to opening. Please be advised that certain products may require dry ice for shipping and that, if this is the case, an additional dry ice fee may also be required.Precautions
All products in the AAA Biotech catalog are strictly for research-use only, and are absolutely not suitable for use in any sort of medical, therapeutic, prophylactic, in-vivo, or diagnostic capacity. By purchasing a product from AAA Biotech, you are explicitly certifying that said products will be properly tested and used in line with industry standard. AAA Biotech and its authorized distribution partners reserve the right to refuse to fulfill any order if we have any indication that a purchaser may be intending to use a product outside of our accepted criteria.Disclaimer
Though we do strive to guarantee the information represented in this datasheet, AAA Biotech cannot be held responsible for any oversights or imprecisions. AAA Biotech reserves the right to adjust any aspect of this datasheet at any time and without notice. It is the responsibility of the customer to inform AAA Biotech of any product performance issues observed or experienced within 30 days of receipt of said product. To see additional details on this or any of our other policies, please see our Terms & Conditions page.Item has been added to Shopping Cart
If you are ready to order, navigate to Shopping Cart and get ready to checkout.
