Rabbit CD156c Polyclonal Antibody | anti-CD156c antibody
CD156c Rabbit Polyclonal Antibody
Gene Names
ADAM10; kuz; AD10; MADM; CD156c; HsT18717
Reactivity
Human, Mouse, Rat
Applications
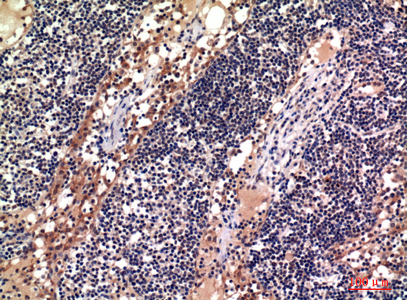
ELISA, Immunofluorescence, Immunohistochemistry, Western Blot
Purity
The antibody was affinity-purified from rabbit antiserum by affinity-chromatography using epitope-specific immunogen.
Synonyms
CD156c, Antibody; CD156c Rabbit Polyclonal Antibody; ADAM10; KUZ; MADM; Disintegrin and metalloproteinase domain-containing protein 10; ADAM 10; CDw156; Kuzbanian protein homolog; Mammalian disintegrin-metalloprotease; CD156c; BH6842; anti-CD156c antibody
Host
Rabbit
Reactivity
Human, Mouse, Rat
Clonality
Polyclonal
Specificity
CD156c Polyclonal Antibody detects endogenous levels of CD156c protein.
Purity/Purification
The antibody was affinity-purified from rabbit antiserum by affinity-chromatography using epitope-specific immunogen.
Form/Format
Liquid in PBS containing 50% glycerol, 0.5% BSA and 0.02% sodium azide.
Concentration
1mg/ml (varies by lot)
Applicable Applications for anti-CD156c antibody
ELISA, IF (Immunofluorescence), IHC (Immunohistochemistry), WB (Western Blot)
Immunogen
Synthesized peptide derived from the Internal region of human CD156c.
Modification
Unmodified/Total
Preparation and Storage
Store at -20 degree C/1 year
Related Product Information for anti-CD156c antibody
ADAM metallopeptidase domain 10 (ADAM10) Homo sapiens Members of the ADAM family are cell surface proteins with a unique structure possessing both potential adhesion and protease domains. This gene encodes and ADAM family member that cleaves many proteins including TNF-alpha and E-cadherin. Alternate splicing results in multiple transcript variants encoding different proteins that may undergo similar processing. [provided by RefSeq, Feb 2016]
NCBI and Uniprot Product Information
NCBI GI #
NCBI GeneID
Molecular Weight
84,142 Da
NCBI Official Full Name
ADAM10
NCBI Official Synonym Full Names
ADAM metallopeptidase domain 10
NCBI Official Symbol
ADAM10
NCBI Official Synonym Symbols
kuz; AD10; MADM; CD156c; HsT18717
NCBI Protein Information
disintegrin and metalloproteinase domain-containing protein 10; CDw156; ADAM 10; kuzbanian protein homolog; mammalian disintegrin-metalloprotease; a disintegrin and metalloprotease domain 10; a disintegrin and metalloproteinase domain 10
UniProt Protein Name
Disintegrin and metalloproteinase domain-containing protein 10
UniProt Gene Name
ADAM10
UniProt Synonym Gene Names
KUZ; MADM; ADAM 10
UniProt Entry Name
ADA10_HUMAN
Customer Reviews
Loading reviews...
Share Your Experience
Similar Products
Product Notes
The CD156c adam10 (Catalog #AAA318739) is an Antibody produced from Rabbit and is intended for research purposes only. The product is available for immediate purchase. The CD156c Rabbit Polyclonal Antibody reacts with Human, Mouse, Rat and may cross-react with other species as described in the data sheet. AAA Biotech's CD156c can be used in a range of immunoassay formats including, but not limited to, ELISA, IF (Immunofluorescence), IHC (Immunohistochemistry), WB (Western Blot). Researchers should empirically determine the suitability of the CD156c adam10 for an application not listed in the data sheet. Researchers commonly develop new applications and it is an integral, important part of the investigative research process. It is sometimes possible for the material contained within the vial of "CD156c, Polyclonal Antibody" to become dispersed throughout the inside of the vial, particularly around the seal of said vial, during shipment and storage. We always suggest centrifuging these vials to consolidate all of the liquid away from the lid and to the bottom of the vial prior to opening. Please be advised that certain products may require dry ice for shipping and that, if this is the case, an additional dry ice fee may also be required.Precautions
All products in the AAA Biotech catalog are strictly for research-use only, and are absolutely not suitable for use in any sort of medical, therapeutic, prophylactic, in-vivo, or diagnostic capacity. By purchasing a product from AAA Biotech, you are explicitly certifying that said products will be properly tested and used in line with industry standard. AAA Biotech and its authorized distribution partners reserve the right to refuse to fulfill any order if we have any indication that a purchaser may be intending to use a product outside of our accepted criteria.Disclaimer
Though we do strive to guarantee the information represented in this datasheet, AAA Biotech cannot be held responsible for any oversights or imprecisions. AAA Biotech reserves the right to adjust any aspect of this datasheet at any time and without notice. It is the responsibility of the customer to inform AAA Biotech of any product performance issues observed or experienced within 30 days of receipt of said product. To see additional details on this or any of our other policies, please see our Terms & Conditions page.Item has been added to Shopping Cart
If you are ready to order, navigate to Shopping Cart and get ready to checkout.
