Rabbit CD158f1/2 Polyclonal Antibody | anti-CD158f1/2 antibody
CD158f1/2 Rabbit Polyclonal Antibody
Gene Names
KIR2DL5A; CD158F; KIR2DL5; KIR2DL5.1; KIR2DL5.3
Reactivity
Human, Rat, Mouse
Applications
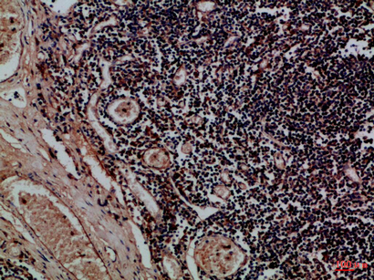
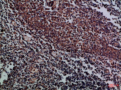
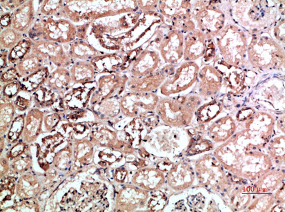
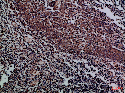
ELISA, Immunofluorescence, Immunohistochemistry
Purity
The antibody was affinity-purified from rabbit antiserum by affinity-chromatography using epitope-specific immunogen.
Synonyms
CD158f1/2, Antibody; CD158f1/2 Rabbit Polyclonal Antibody; BH6842; Killer cell immunoglobulin-like receptor 2DL5A/B (CD antigen CD158f1/2); anti-CD158f1/2 antibody
Host
Rabbit
Reactivity
Human, Rat, Mouse
Clonality
Polyclonal
Specificity
The antibody detects endogenous CD158f1/2
Purity/Purification
The antibody was affinity-purified from rabbit antiserum by affinity-chromatography using epitope-specific immunogen.
Form/Format
Liquid in PBS containing 50% glycerol, 0.5% BSA and 0.02% sodium azide.
Concentration
1mg/ml (varies by lot)
Applicable Applications for anti-CD158f1/2 antibody
ELISA, IF (Immunofluorescence), IHC (Immunohistochemistry)
Immunogen
Synthetic peptide from human protein at AA range: 31-80
Modification
Unmodified/Total
Preparation and Storage
Store at -20 degree C/1 year
Related Product Information for anti-CD158f1/2 antibody
killer cell immunoglobulin like receptor, two Ig domains and long Cytoplasmic tail 5A (KIR2DL5A) Homo sapiens Killer cell immunoglobulin-like receptors (KIRs) are transmembrane glycoproteins expressed by natural killer cells and subsets of T cells. The KIR genes are polymorphic and highly homologous and they are found in a cluster on chromosome 19q13.4 within the 1 Mb leukocyte receptor complex (LRC). The gene content of the KIR gene cluster varies among haplotypes, although several "framework" genes are found in all haplotypes (KIR3DL3, KIR3DP1, KIR3DL4, KIR3DL2). The KIR proteins are classified by the number of extracellular immunoglobulin domains (2D or 3D) and by whether they have a long (L) or short (S) Cytoplasmic domain. KIR proteins with the long Cytoplasmic domain transduce inhibitory signals upon ligand binding via an immune tyrosine-based inhibitory motif (ITIM), while KIR proteins with the short Cytoplasmic domain lack the
NCBI and Uniprot Product Information
NCBI GI #
NCBI GeneID
NCBI Official Full Name
Killer cell immunoglobulin-like receptor 2DL5A
NCBI Official Synonym Full Names
killer cell immunoglobulin like receptor, two Ig domains and long cytoplasmic tail 5A
NCBI Official Symbol
KIR2DL5A
NCBI Official Synonym Symbols
CD158F; KIR2DL5; KIR2DL5.1; KIR2DL5.3
NCBI Protein Information
killer cell immunoglobulin-like receptor 2DL5A
UniProt Protein Name
Killer cell immunoglobulin-like receptor 2DL5A
UniProt Gene Name
KIR2DL5A
UniProt Synonym Gene Names
CD158F; CD158F1; KIR2DL5
Customer Reviews
Loading reviews...
Share Your Experience
Similar Products
Product Notes
The CD158f1/2 kir2dl5a (Catalog #AAA318807) is an Antibody produced from Rabbit and is intended for research purposes only. The product is available for immediate purchase. The CD158f1/2 Rabbit Polyclonal Antibody reacts with Human, Rat, Mouse and may cross-react with other species as described in the data sheet. AAA Biotech's CD158f1/2 can be used in a range of immunoassay formats including, but not limited to, ELISA, IF (Immunofluorescence), IHC (Immunohistochemistry). Researchers should empirically determine the suitability of the CD158f1/2 kir2dl5a for an application not listed in the data sheet. Researchers commonly develop new applications and it is an integral, important part of the investigative research process. It is sometimes possible for the material contained within the vial of "CD158f1/2, Polyclonal Antibody" to become dispersed throughout the inside of the vial, particularly around the seal of said vial, during shipment and storage. We always suggest centrifuging these vials to consolidate all of the liquid away from the lid and to the bottom of the vial prior to opening. Please be advised that certain products may require dry ice for shipping and that, if this is the case, an additional dry ice fee may also be required.Precautions
All products in the AAA Biotech catalog are strictly for research-use only, and are absolutely not suitable for use in any sort of medical, therapeutic, prophylactic, in-vivo, or diagnostic capacity. By purchasing a product from AAA Biotech, you are explicitly certifying that said products will be properly tested and used in line with industry standard. AAA Biotech and its authorized distribution partners reserve the right to refuse to fulfill any order if we have any indication that a purchaser may be intending to use a product outside of our accepted criteria.Disclaimer
Though we do strive to guarantee the information represented in this datasheet, AAA Biotech cannot be held responsible for any oversights or imprecisions. AAA Biotech reserves the right to adjust any aspect of this datasheet at any time and without notice. It is the responsibility of the customer to inform AAA Biotech of any product performance issues observed or experienced within 30 days of receipt of said product. To see additional details on this or any of our other policies, please see our Terms & Conditions page.Item has been added to Shopping Cart
If you are ready to order, navigate to Shopping Cart and get ready to checkout.
