Rabbit anti-Human CD168 Polyclonal Antibody | anti-CD168 antibody
CD168 Polyclonal Antibody
Gene Names
HMMR; CD168; IHABP; RHAMM
Reactivity
Human
Applications
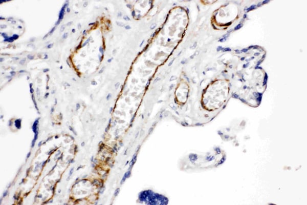
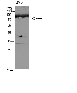
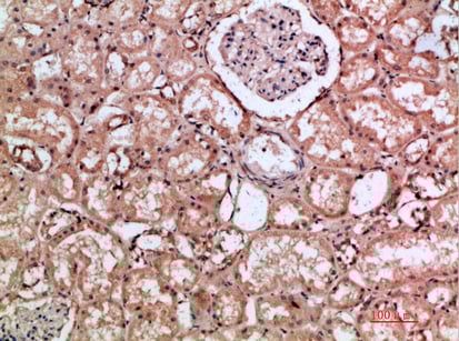
Immunohistochemistry, Western Blot
Synonyms
CD168, Antibody; CD168 Polyclonal Antibody; Hyaluronan mediated motility receptor (Intracellular hyaluronic acid-binding protein)(Receptor for hyaluronan-mediated motility)(CD antigen CD168); anti-CD168 antibody
Host
Rabbit
Reactivity
Human
Clonality
Polyclonal
Applicable Applications for anti-CD168 antibody
IHC (Immunohistochemistry), WB (Western Blot)
Preparation and Storage
Maintain refrigerated at 2-8 degree C for up to 2 weeks. For long term storage store at -20 degree C in small aliquots to prevent freeze-thaw cycles.
Related Product Information for anti-CD168 antibody
Receptor for hyaluronic acid (HA)(By similarity). Involved in cell motility (By similarity). When hyaluronan binds to HMMR, the phosphorylation of a number of proteins, including PTK2/FAK1 occurs. May also be involved in cellular transformation and metastasis formation, and in regulating extracellular- regulated kinase (ERK) activity. May act as a regulator of adipogenisis (By similarity).
NCBI and Uniprot Product Information
NCBI GI #
NCBI GeneID
NCBI Accession #
NCBI GenBank Nucleotide #
Molecular Weight
84,100 Da
NCBI Official Full Name
hyaluronan mediated motility receptor isoform a
NCBI Official Synonym Full Names
hyaluronan-mediated motility receptor (RHAMM)
NCBI Official Symbol
HMMR
NCBI Official Synonym Symbols
CD168; IHABP; RHAMM
NCBI Protein Information
hyaluronan mediated motility receptor; receptor for hyaluronan-mediated motility; intracellular hyaluronic acid-binding protein
UniProt Protein Name
Hyaluronan mediated motility receptor
UniProt Gene Name
HMMR
UniProt Synonym Gene Names
IHABP; RHAMM
UniProt Entry Name
HMMR_HUMAN
Customer Reviews
Loading reviews...
Share Your Experience
Similar Products
Product Notes
The CD168 hmmr (Catalog #AAA296534) is an Antibody produced from Rabbit and is intended for research purposes only. The product is available for immediate purchase. The CD168 Polyclonal Antibody reacts with Human and may cross-react with other species as described in the data sheet. AAA Biotech's CD168 can be used in a range of immunoassay formats including, but not limited to, IHC (Immunohistochemistry), WB (Western Blot). Researchers should empirically determine the suitability of the CD168 hmmr for an application not listed in the data sheet. Researchers commonly develop new applications and it is an integral, important part of the investigative research process. It is sometimes possible for the material contained within the vial of "CD168, Polyclonal Antibody" to become dispersed throughout the inside of the vial, particularly around the seal of said vial, during shipment and storage. We always suggest centrifuging these vials to consolidate all of the liquid away from the lid and to the bottom of the vial prior to opening. Please be advised that certain products may require dry ice for shipping and that, if this is the case, an additional dry ice fee may also be required.Precautions
All products in the AAA Biotech catalog are strictly for research-use only, and are absolutely not suitable for use in any sort of medical, therapeutic, prophylactic, in-vivo, or diagnostic capacity. By purchasing a product from AAA Biotech, you are explicitly certifying that said products will be properly tested and used in line with industry standard. AAA Biotech and its authorized distribution partners reserve the right to refuse to fulfill any order if we have any indication that a purchaser may be intending to use a product outside of our accepted criteria.Disclaimer
Though we do strive to guarantee the information represented in this datasheet, AAA Biotech cannot be held responsible for any oversights or imprecisions. AAA Biotech reserves the right to adjust any aspect of this datasheet at any time and without notice. It is the responsibility of the customer to inform AAA Biotech of any product performance issues observed or experienced within 30 days of receipt of said product. To see additional details on this or any of our other policies, please see our Terms & Conditions page.Item has been added to Shopping Cart
If you are ready to order, navigate to Shopping Cart and get ready to checkout.
