Rabbit CD19 Polyclonal Antibody | anti-CD19 antibody
CD19 Polyclonal Antibody
Gene Names
CD19; B4; CVID3
Reactivity
Human, Mouse, Rat
Applications
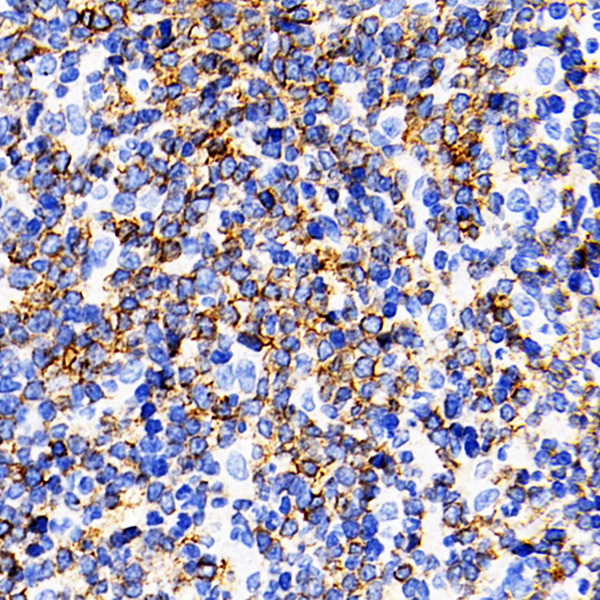
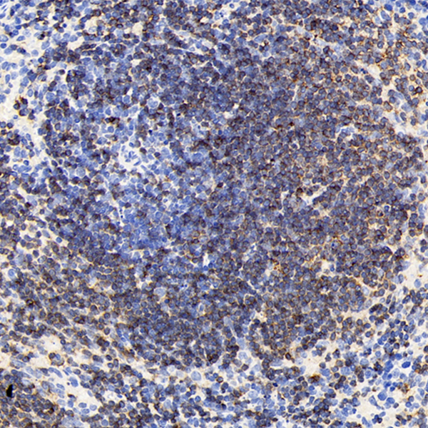
Immunohistochemistry
Purity
Affinity Purification
Synonyms
CD19, Antibody; CD19 Polyclonal Antibody; Antibody deficiency due to defect in CD19; included; AW495831; B lymphocyte antigen CD19; B lymphocyte surface antigen B4; B-lymphocyte antigen CD19; B-lymphocyte surface antigen B4; B4; CD19; CD19 antigen; CD19 molecule; Cd19 protein; CVID3; Differentiation antigen CD19; Leu 12; Leu-12; Leu12; MGC109570; MGC12802; T-cell surface antigen Leu-12; anti-CD19 antibody
Host
Rabbit
Reactivity
Human, Mouse, Rat
Clonality
Polyclonal
Isotype
IgG
Purity/Purification
Affinity Purification
Form/Format
PBS with 0.02% sodium azide, 100 mug/ml BSA and 50% glycerol.
Concentration
50 mug/mL (varies by lot)
Sequence Length
557
Applicable Applications for anti-CD19 antibody
IHC (Immunohistochemistry)
Immunogen
Recombinant protein corresponding to Mouse CD19
Conjugation
Unconjugated
Preparation and Storage
Store at -20 degree C. Avoid freeze/thaw cycles.
Related Product Information for anti-CD19 antibody
CD19 is a B cell-specific molecule that controls B cell activation by complexing with the BCR. CD19 is a member of the Ig superfamily and is the dominant component for the signaling complex on B cells that includes CD21, CD81, and CD22. Humans with CD19 deficiency have reduced proliferative responses to BCR stimulation in vitro and mount impaired Ab responses to vaccination.
Product Categories/Family for anti-CD19 antibody
NCBI and Uniprot Product Information
NCBI GI #
NCBI GeneID
NCBI Accession #
NCBI GenBank Nucleotide #
Molecular Weight
61,200 Da
NCBI Official Full Name
B-lymphocyte antigen CD19 isoform 1
NCBI Official Synonym Full Names
CD19 molecule
NCBI Official Symbol
CD19
NCBI Official Synonym Symbols
B4; CVID3
NCBI Protein Information
B-lymphocyte antigen CD19
UniProt Protein Name
B-lymphocyte antigen CD19
UniProt Gene Name
CD19
Similar Products
Product Notes
The CD19 cd19 (Catalog #AAA174508) is an Antibody produced from Rabbit and is intended for research purposes only. The product is available for immediate purchase. The CD19 Polyclonal Antibody reacts with Human, Mouse, Rat and may cross-react with other species as described in the data sheet. AAA Biotech's CD19 can be used in a range of immunoassay formats including, but not limited to, IHC (Immunohistochemistry). Researchers should empirically determine the suitability of the CD19 cd19 for an application not listed in the data sheet. Researchers commonly develop new applications and it is an integral, important part of the investigative research process. It is sometimes possible for the material contained within the vial of "CD19, Polyclonal Antibody" to become dispersed throughout the inside of the vial, particularly around the seal of said vial, during shipment and storage. We always suggest centrifuging these vials to consolidate all of the liquid away from the lid and to the bottom of the vial prior to opening. Please be advised that certain products may require dry ice for shipping and that, if this is the case, an additional dry ice fee may also be required.Precautions
All products in the AAA Biotech catalog are strictly for research-use only, and are absolutely not suitable for use in any sort of medical, therapeutic, prophylactic, in-vivo, or diagnostic capacity. By purchasing a product from AAA Biotech, you are explicitly certifying that said products will be properly tested and used in line with industry standard. AAA Biotech and its authorized distribution partners reserve the right to refuse to fulfill any order if we have any indication that a purchaser may be intending to use a product outside of our accepted criteria.Disclaimer
Though we do strive to guarantee the information represented in this datasheet, AAA Biotech cannot be held responsible for any oversights or imprecisions. AAA Biotech reserves the right to adjust any aspect of this datasheet at any time and without notice. It is the responsibility of the customer to inform AAA Biotech of any product performance issues observed or experienced within 30 days of receipt of said product. To see additional details on this or any of our other policies, please see our Terms & Conditions page.Item has been added to Shopping Cart
If you are ready to order, navigate to Shopping Cart and get ready to checkout.
