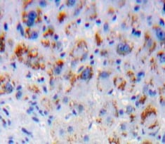
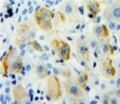
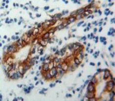
Rabbit anti-Human CD1D Polyclonal Antibody | anti-CD1D antibody
CD1D Antibody
Gene Names
CD1D; R3; CD1A
Reactivity
Human
Applications
ELISA, Western Blot
Purity
Affinity-purified from rabbit antiserum by affinity-chromatography using epitope-specific immunogen.
Synonyms
CD1D, Antibody; CD1D Antibody; CD1D; Antigen-presenting glycoprotein CD1d; R3G1; CD1d; anti-CD1D antibody
Host
Rabbit
Reactivity
Human
Clonality
Polyclonal
Isotype
IgG
Purity/Purification
Affinity-purified from rabbit antiserum by affinity-chromatography using epitope-specific immunogen.
Form/Format
Liquid; In Phosphate Buffered Saline, 50% Glycerol, 0.5% BSA and 0.02% Sodium Azide.
Applicable Applications for anti-CD1D antibody
ELISA, WB (Western Blot)
Immunogen
Synthesized peptide derived from the Internal region of human CD1D.
Immunogen Species
Human
Conjugate
Non-conjugated
Preparation and Storage
Upon receipt, store at -20 degree C or -80 degree C. Avoid repeated freeze.
Product Categories/Family for anti-CD1D antibody
NCBI and Uniprot Product Information
NCBI GI #
NCBI GeneID
Molecular Weight
335
NCBI Official Full Name
Antigen-presenting glycoprotein CD1d
NCBI Official Synonym Full Names
CD1d molecule
NCBI Official Symbol
CD1D
NCBI Official Synonym Symbols
R3; CD1A
NCBI Protein Information
antigen-presenting glycoprotein CD1d; R3G1; thymocyte antigen CD1D; CD1D antigen, d polypeptide; T-cell surface glycoprotein CD1d; differentiation antigen CD1-alpha-3; HMC class I antigen-like glycoprotein CD1D
UniProt Protein Name
Antigen-presenting glycoprotein CD1d
UniProt Gene Name
CD1D
UniProt Entry Name
CD1D_HUMAN
Customer Reviews
Loading reviews...
Share Your Experience
Similar Products
Product Notes
The CD1D cd1d (Catalog #AAA236524) is an Antibody produced from Rabbit and is intended for research purposes only. The product is available for immediate purchase. The CD1D Antibody reacts with Human and may cross-react with other species as described in the data sheet. AAA Biotech's CD1D can be used in a range of immunoassay formats including, but not limited to, ELISA, WB (Western Blot). Researchers should empirically determine the suitability of the CD1D cd1d for an application not listed in the data sheet. Researchers commonly develop new applications and it is an integral, important part of the investigative research process. It is sometimes possible for the material contained within the vial of "CD1D, Polyclonal Antibody" to become dispersed throughout the inside of the vial, particularly around the seal of said vial, during shipment and storage. We always suggest centrifuging these vials to consolidate all of the liquid away from the lid and to the bottom of the vial prior to opening. Please be advised that certain products may require dry ice for shipping and that, if this is the case, an additional dry ice fee may also be required.Precautions
All products in the AAA Biotech catalog are strictly for research-use only, and are absolutely not suitable for use in any sort of medical, therapeutic, prophylactic, in-vivo, or diagnostic capacity. By purchasing a product from AAA Biotech, you are explicitly certifying that said products will be properly tested and used in line with industry standard. AAA Biotech and its authorized distribution partners reserve the right to refuse to fulfill any order if we have any indication that a purchaser may be intending to use a product outside of our accepted criteria.Disclaimer
Though we do strive to guarantee the information represented in this datasheet, AAA Biotech cannot be held responsible for any oversights or imprecisions. AAA Biotech reserves the right to adjust any aspect of this datasheet at any time and without notice. It is the responsibility of the customer to inform AAA Biotech of any product performance issues observed or experienced within 30 days of receipt of said product. To see additional details on this or any of our other policies, please see our Terms & Conditions page.Item has been added to Shopping Cart
If you are ready to order, navigate to Shopping Cart and get ready to checkout.
