Rabbit anti-Human CD22 Polyclonal Antibody | anti-CD22 antibody
CD22 Polyclonal Antibody
Gene Names
CD22; SIGLEC2; SIGLEC-2
Reactivity
Human
Applications
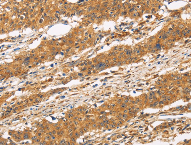
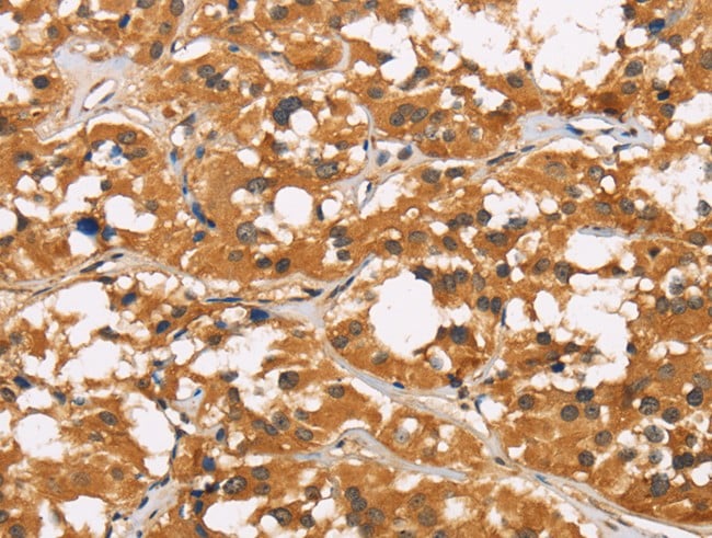
Immunohistochemistry, ELISA
Purity
Affinity purification
Synonyms
CD22, Antibody; CD22 Polyclonal Antibody; SIGLEC2; SIGLEC-2; anti-CD22 antibody
Host
Rabbit
Reactivity
Human
Clonality
Polyclonal
Isotype
IgG
Purity/Purification
Affinity purification
Concentration
0.3mg/mL (varies by lot)
Sequence Length
40
Applicable Applications for anti-CD22 antibody
IHC (Immunohistochemistry), ELISA
Preparation and Storage
Store at -20 degree C , Avoid freeze / thaw cycles
Related Product Information for anti-CD22 antibody
Background/Introduction: The B lymphocyte specific CD22 antigen, also designated B-lymphocyte cell adhesion molecule (BLCAM), sialic acid-binding Ig-like lectin 2 (Siglec-2) and Leu-14, is a type I integral membrane glycoprotein, structurally similar to other cell adhesion molecules (CAMs), which acts as a regulator of B cell signaling. CD22 is expressed as both a cytoplasmic and membrane protein during discrete stages of B cell lymphocyte differentiation. The cytoplasmic form of CD22, expressed early in B cell development, is a useful marker for acute lymphocytic leukemia. The membrane form of CD22 is expressed in mature B cells prior to their differentiation into plasma cells.
Product Categories/Family for anti-CD22 antibody
NCBI and Uniprot Product Information
NCBI GI #
NCBI GeneID
Molecular Weight
75,354 Da
NCBI Official Full Name
CD22, partial
NCBI Official Synonym Full Names
CD22 molecule
NCBI Official Symbol
CD22
NCBI Official Synonym Symbols
SIGLEC2; SIGLEC-2
NCBI Protein Information
B-cell receptor CD22; B-lymphocyte cell adhesion molecule; BL-CAM; CD22 antigen; T-cell surface antigen Leu-14; sialic acid binding Ig-like lectin 2; sialic acid-binding Ig-like lectin 2
UniProt Protein Name
B-cell receptor CD22
UniProt Gene Name
CD22
UniProt Synonym Gene Names
SIGLEC2; BL-CAM; Siglec-2
UniProt Entry Name
CD22_HUMAN
Similar Products
Product Notes
The CD22 cd22 (Catalog #AAA166951) is an Antibody produced from Rabbit and is intended for research purposes only. The product is available for immediate purchase. The CD22 Polyclonal Antibody reacts with Human and may cross-react with other species as described in the data sheet. AAA Biotech's CD22 can be used in a range of immunoassay formats including, but not limited to, IHC (Immunohistochemistry), ELISA. Researchers should empirically determine the suitability of the CD22 cd22 for an application not listed in the data sheet. Researchers commonly develop new applications and it is an integral, important part of the investigative research process. It is sometimes possible for the material contained within the vial of "CD22, Polyclonal Antibody" to become dispersed throughout the inside of the vial, particularly around the seal of said vial, during shipment and storage. We always suggest centrifuging these vials to consolidate all of the liquid away from the lid and to the bottom of the vial prior to opening. Please be advised that certain products may require dry ice for shipping and that, if this is the case, an additional dry ice fee may also be required.Precautions
All products in the AAA Biotech catalog are strictly for research-use only, and are absolutely not suitable for use in any sort of medical, therapeutic, prophylactic, in-vivo, or diagnostic capacity. By purchasing a product from AAA Biotech, you are explicitly certifying that said products will be properly tested and used in line with industry standard. AAA Biotech and its authorized distribution partners reserve the right to refuse to fulfill any order if we have any indication that a purchaser may be intending to use a product outside of our accepted criteria.Disclaimer
Though we do strive to guarantee the information represented in this datasheet, AAA Biotech cannot be held responsible for any oversights or imprecisions. AAA Biotech reserves the right to adjust any aspect of this datasheet at any time and without notice. It is the responsibility of the customer to inform AAA Biotech of any product performance issues observed or experienced within 30 days of receipt of said product. To see additional details on this or any of our other policies, please see our Terms & Conditions page.Item has been added to Shopping Cart
If you are ready to order, navigate to Shopping Cart and get ready to checkout.
