Rabbit anti-Human CD272 Polyclonal Antibody | anti-CD272 antibody
CD272 Polyclonal Antibody
Gene Names
BTLA; BTLA1; CD272
Reactivity
Human
Applications
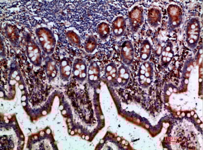
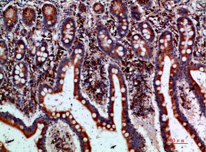
Immunohistochemistry
Synonyms
CD272, Antibody; CD272 Polyclonal Antibody; B- and T-lymphocyte attenuator (B- and T-lymphocyte-associated protein)(CD antigen CD272); anti-CD272 antibody
Host
Rabbit
Reactivity
Human
Clonality
Polyclonal
Applicable Applications for anti-CD272 antibody
IHC (Immunohistochemistry)
Notes
ECO:0000303|PubMed:12796776, ECO:0000312|HGNC: HGNC:21087
Preparation and Storage
Maintain refrigerated at 2-8 degree C for up to 2 weeks. For long term storage store at -20 degree C in small aliquots to prevent freeze-thaw cycles.
Related Product Information for anti-CD272 antibody
Inhibitory receptor on lymphocytes that negatively regulates antigen receptor signaling via PTPN6/SHP-1 and PTPN11/SHP-2 (PubMed:14652006, PubMed:15568026, PubMed:18193050). May interact in cis (on the same cell) or in trans (on other cells) with TNFRSF14 (PubMed:19915044). In cis interactions, appears to play an immune regulatory role inhibiting in trans interactions in naive T cells to maintain a resting state. In trans interactions, can predominate during adaptive immune response to provide survival signals to effector T cells (PubMed:19915044).
NCBI and Uniprot Product Information
NCBI GI #
NCBI GeneID
NCBI Accession #
NCBI GenBank Nucleotide #
Molecular Weight
32,834 Da
NCBI Official Full Name
B- and T-lymphocyte attenuator isoform 2
NCBI Official Synonym Full Names
B and T lymphocyte associated
NCBI Official Symbol
BTLA
NCBI Official Synonym Symbols
BTLA1; CD272
NCBI Protein Information
B- and T-lymphocyte attenuator; B and T lymphocyte attenuator; B- and T-lymphocyte-associated protein
UniProt Protein Name
B- and T-lymphocyte attenuator
UniProt Gene Name
BTLA
UniProt Entry Name
BTLA_HUMAN
Customer Reviews
Loading reviews...
Share Your Experience
Similar Products
Product Notes
The CD272 btla (Catalog #AAA296563) is an Antibody produced from Rabbit and is intended for research purposes only. The product is available for immediate purchase. The CD272 Polyclonal Antibody reacts with Human and may cross-react with other species as described in the data sheet. AAA Biotech's CD272 can be used in a range of immunoassay formats including, but not limited to, IHC (Immunohistochemistry). Researchers should empirically determine the suitability of the CD272 btla for an application not listed in the data sheet. Researchers commonly develop new applications and it is an integral, important part of the investigative research process. It is sometimes possible for the material contained within the vial of "CD272, Polyclonal Antibody" to become dispersed throughout the inside of the vial, particularly around the seal of said vial, during shipment and storage. We always suggest centrifuging these vials to consolidate all of the liquid away from the lid and to the bottom of the vial prior to opening. Please be advised that certain products may require dry ice for shipping and that, if this is the case, an additional dry ice fee may also be required.Precautions
All products in the AAA Biotech catalog are strictly for research-use only, and are absolutely not suitable for use in any sort of medical, therapeutic, prophylactic, in-vivo, or diagnostic capacity. By purchasing a product from AAA Biotech, you are explicitly certifying that said products will be properly tested and used in line with industry standard. AAA Biotech and its authorized distribution partners reserve the right to refuse to fulfill any order if we have any indication that a purchaser may be intending to use a product outside of our accepted criteria.Disclaimer
Though we do strive to guarantee the information represented in this datasheet, AAA Biotech cannot be held responsible for any oversights or imprecisions. AAA Biotech reserves the right to adjust any aspect of this datasheet at any time and without notice. It is the responsibility of the customer to inform AAA Biotech of any product performance issues observed or experienced within 30 days of receipt of said product. To see additional details on this or any of our other policies, please see our Terms & Conditions page.Item has been added to Shopping Cart
If you are ready to order, navigate to Shopping Cart and get ready to checkout.
