Rabbit CD274 Polyclonal Antibody | anti-CD274 antibody
CD274 Rabbit Polyclonal Antibody
Gene Names
CD274; B7-H; B7H1; PDL1; PD-L1; PDCD1L1; PDCD1LG1
Reactivity
Human, Rat, Mouse
Applications
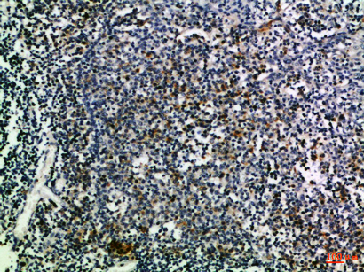
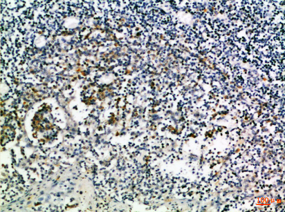
ELISA, Immunofluorescence, Immunohistochemistry
Purity
The antibody was affinity-purified from rabbit antiserum by affinity-chromatography using epitope-specific immunogen.
Synonyms
CD274, Antibody; CD274 Rabbit Polyclonal Antibody; Programmed cell death 1 ligand 1 (PD-L1)(PDCD1 ligand 1)(Programmed death ligand 1)(B7 homolog 1)(B7-H1)(CD antigen CD274); BH6842; anti-CD274 antibody
Host
Rabbit
Reactivity
Human, Rat, Mouse
Clonality
Polyclonal
Specificity
The antibody detects endogenous CD274
Purity/Purification
The antibody was affinity-purified from rabbit antiserum by affinity-chromatography using epitope-specific immunogen.
Form/Format
Liquid in PBS containing 50% glycerol, 0.5% BSA and 0.02% sodium azide.
Concentration
1mg/ml (varies by lot)
Applicable Applications for anti-CD274 antibody
ELISA, IF (Immunofluorescence), IHC (Immunohistochemistry)
Immunogen
Synthetic peptide from human protein at AA range: 181-230
Modification
Unmodified/Total
Preparation and Storage
Store at -20 degree C/1 year
Related Product Information for anti-CD274 antibody
This gene encodes an immune inhibitory receptor ligand that is expressed by hematopoietic and non-hematopoietic cells, such as T cells and B cells and various types of tumor cells. The encoded protein is a type I transmembrane protein that has immunoglobulin V-like and C-like domains. Interaction of this ligand with its receptor inhibits T-cell activation and cytokine production. During infection or inflammation of normal tissue, this interaction is important for preventing autoimmunity by maintaining homeostasis of the immune response. In tumor microenvironments, this interaction provides an immune escape for tumor cells through cytotoxic T-cell inactivation. Expression of this gene in tumor cells is consideredto be prognostic in many types of human malignancies, including colon cancer and renal cell carcinoma. Alternative splicing results in multiple transcript variants. [provided by RefSeq, Sep 2015]
NCBI and Uniprot Product Information
NCBI GI #
NCBI GeneID
NCBI Accession #
NCBI GenBank Nucleotide #
Molecular Weight
33,275 Da
NCBI Official Full Name
programmed cell death 1 ligand 1 isoform b
NCBI Official Synonym Full Names
CD274 molecule
NCBI Official Symbol
CD274
NCBI Official Synonym Symbols
B7-H; B7H1; PDL1; PD-L1; PDCD1L1; PDCD1LG1
NCBI Protein Information
programmed cell death 1 ligand 1; B7 homolog 1; CD274 antigen; PDCD1 ligand 1; programmed death ligand 1
UniProt Protein Name
Programmed cell death 1 ligand 1
UniProt Gene Name
CD274
UniProt Synonym Gene Names
B7H1; PDCD1L1; PDCD1LG1; PDL1; PD-L1; PDCD1 ligand 1; Programmed death ligand 1; B7-H1
UniProt Entry Name
PD1L1_HUMAN
Customer Reviews
Loading reviews...
Share Your Experience
Similar Products
Product Notes
The CD274 cd274 (Catalog #AAA318806) is an Antibody produced from Rabbit and is intended for research purposes only. The product is available for immediate purchase. The CD274 Rabbit Polyclonal Antibody reacts with Human, Rat, Mouse and may cross-react with other species as described in the data sheet. AAA Biotech's CD274 can be used in a range of immunoassay formats including, but not limited to, ELISA, IF (Immunofluorescence), IHC (Immunohistochemistry). Researchers should empirically determine the suitability of the CD274 cd274 for an application not listed in the data sheet. Researchers commonly develop new applications and it is an integral, important part of the investigative research process. It is sometimes possible for the material contained within the vial of "CD274, Polyclonal Antibody" to become dispersed throughout the inside of the vial, particularly around the seal of said vial, during shipment and storage. We always suggest centrifuging these vials to consolidate all of the liquid away from the lid and to the bottom of the vial prior to opening. Please be advised that certain products may require dry ice for shipping and that, if this is the case, an additional dry ice fee may also be required.Precautions
All products in the AAA Biotech catalog are strictly for research-use only, and are absolutely not suitable for use in any sort of medical, therapeutic, prophylactic, in-vivo, or diagnostic capacity. By purchasing a product from AAA Biotech, you are explicitly certifying that said products will be properly tested and used in line with industry standard. AAA Biotech and its authorized distribution partners reserve the right to refuse to fulfill any order if we have any indication that a purchaser may be intending to use a product outside of our accepted criteria.Disclaimer
Though we do strive to guarantee the information represented in this datasheet, AAA Biotech cannot be held responsible for any oversights or imprecisions. AAA Biotech reserves the right to adjust any aspect of this datasheet at any time and without notice. It is the responsibility of the customer to inform AAA Biotech of any product performance issues observed or experienced within 30 days of receipt of said product. To see additional details on this or any of our other policies, please see our Terms & Conditions page.Item has been added to Shopping Cart
If you are ready to order, navigate to Shopping Cart and get ready to checkout.
