Rabbit CD31/Pecam1 Polyclonal Antibody | anti-Pecam1 antibody
Anti-CD31/Pecam1 Antibody
Gene Names
Pecam1; CD31; Pecam
Reactivity
Human, Mouse, Rat
Applications
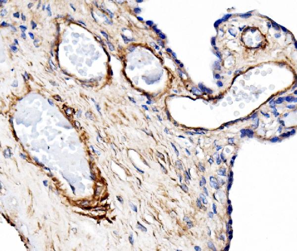
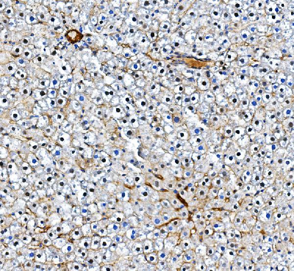
ELISA, Immunohistochemistry, Western Blot
Purity
Immunogen affinity purified.
Synonyms
CD31/Pecam1, Antibody; Anti-CD31/Pecam1 Antibody; Platelet endothelial cell adhesion molecule; PECAM-1; CD31; Pecam1; Pecam; anti-Pecam1 antibody
Host
Rabbit
Reactivity
Human, Mouse, Rat
Clonality
Polyclonal
Isotype
IgG
Specificity
No cross reactivity with other proteins.
Purity/Purification
Immunogen affinity purified.
Form/Format
Lyophilized
Each vial contains 4mg Trehalose, 0.9mg NaCl, 0.2mg Na2HPO4, 0.05mg NaN3.
Each vial contains 4mg Trehalose, 0.9mg NaCl, 0.2mg Na2HPO4, 0.05mg NaN3.
Sequence Length
678
Applicable Applications for anti-Pecam1 antibody
ELISA (Direct ELISA), IHC (Immunohistochemistry), WB (Western Blot)
Immunogen
E Coli-derived rat CD31/Pecam1 recombinant protein (Position: Q41-E491).
Reconstitution
Add 0.2ml of distilled water will yield a concentration of 500ug/ml.
Preparation and Storage
Store at -20 degree C for one year. After reconstitution, at 4 degree C for one month. It can also be aliquotted and stored frozen store at -20 degree C for a longer time. Avoid repeated freezing and thawing.
Related Product Information for anti-Pecam1 antibody
Description: Rabbit IgG polyclonal antibody for CD31/Pecam1 detection. Tested with WB, IHC-P, Direct ELISA in Human; Mouse; Rat.
Background: CD31 also known as Platelet endothelial cell adhesion molecule (PECAM-1), is a protein that in human is encoded by the PECAM1 gene. Encoded protein is a member of the immunoglobulin superfamily and this gene is mapped to 17q23.3. CD31 is found on the surface of platelets, monocytes, neutrophils, and some types of T-cells, and makes up a large portion of endothelial cell intercellular junctions. It is demonstrated that CD31 expression on human PBSCs may positively affect both neutrophil and platelet engraftment. Meanwhile, CD31 is involved in leukocyte migration and angiogenesis, which are key components of venous thrombus resolution.
Background: CD31 also known as Platelet endothelial cell adhesion molecule (PECAM-1), is a protein that in human is encoded by the PECAM1 gene. Encoded protein is a member of the immunoglobulin superfamily and this gene is mapped to 17q23.3. CD31 is found on the surface of platelets, monocytes, neutrophils, and some types of T-cells, and makes up a large portion of endothelial cell intercellular junctions. It is demonstrated that CD31 expression on human PBSCs may positively affect both neutrophil and platelet engraftment. Meanwhile, CD31 is involved in leukocyte migration and angiogenesis, which are key components of venous thrombus resolution.
References
1. Gumina, R. J., Kirschbaum, N. E., Rao, P. N., vanTuinen, P., Newman, P. J. The human PECAM1 gene maps to 17q23. Genomics 34: 229-232, 1996.
2. Wu, Y., Tworkoski, K., Michaud, M., Madri, J. A. Bone marrow monocyte PECAM-1 deficiency elicits increased osteoclastogenesis resulting in trabecular bone loss. J. Immun. 182: 2672-2679, 2009.
3. Xie, Y., Muller, W. A. Fluorescence in situ hybridization mapping of the mouse platelet endothelial cell adhesion molecule-1 (PECAM1) to mouse chromosome 6, region F3-G1. Genomics 37: 226-228, 1996.
2. Wu, Y., Tworkoski, K., Michaud, M., Madri, J. A. Bone marrow monocyte PECAM-1 deficiency elicits increased osteoclastogenesis resulting in trabecular bone loss. J. Immun. 182: 2672-2679, 2009.
3. Xie, Y., Muller, W. A. Fluorescence in situ hybridization mapping of the mouse platelet endothelial cell adhesion molecule-1 (PECAM1) to mouse chromosome 6, region F3-G1. Genomics 37: 226-228, 1996.
NCBI and Uniprot Product Information
NCBI GI #
NCBI GeneID
UniProt Accession #
NCBI Official Full Name
Platelet endothelial cell adhesion molecule
NCBI Official Synonym Full Names
platelet and endothelial cell adhesion molecule 1
NCBI Official Symbol
Pecam1
NCBI Official Synonym Symbols
CD31; Pecam
NCBI Protein Information
platelet endothelial cell adhesion molecule
UniProt Protein Name
Platelet endothelial cell adhesion molecule
UniProt Gene Name
Pecam1
UniProt Synonym Gene Names
Pecam; PECAM-1
UniProt Entry Name
PECA1_RAT
Customer Reviews
Loading reviews...
Share Your Experience
Similar Products
Product Notes
The Pecam1 pecam1 (Catalog #AAA125430) is an Antibody produced from Rabbit and is intended for research purposes only. The product is available for immediate purchase. The Anti-CD31/Pecam1 Antibody reacts with Human, Mouse, Rat and may cross-react with other species as described in the data sheet. AAA Biotech's CD31/Pecam1 can be used in a range of immunoassay formats including, but not limited to, ELISA (Direct ELISA), IHC (Immunohistochemistry), WB (Western Blot). Researchers should empirically determine the suitability of the Pecam1 pecam1 for an application not listed in the data sheet. Researchers commonly develop new applications and it is an integral, important part of the investigative research process. It is sometimes possible for the material contained within the vial of "CD31/Pecam1, Polyclonal Antibody" to become dispersed throughout the inside of the vial, particularly around the seal of said vial, during shipment and storage. We always suggest centrifuging these vials to consolidate all of the liquid away from the lid and to the bottom of the vial prior to opening. Please be advised that certain products may require dry ice for shipping and that, if this is the case, an additional dry ice fee may also be required.Precautions
All products in the AAA Biotech catalog are strictly for research-use only, and are absolutely not suitable for use in any sort of medical, therapeutic, prophylactic, in-vivo, or diagnostic capacity. By purchasing a product from AAA Biotech, you are explicitly certifying that said products will be properly tested and used in line with industry standard. AAA Biotech and its authorized distribution partners reserve the right to refuse to fulfill any order if we have any indication that a purchaser may be intending to use a product outside of our accepted criteria.Disclaimer
Though we do strive to guarantee the information represented in this datasheet, AAA Biotech cannot be held responsible for any oversights or imprecisions. AAA Biotech reserves the right to adjust any aspect of this datasheet at any time and without notice. It is the responsibility of the customer to inform AAA Biotech of any product performance issues observed or experienced within 30 days of receipt of said product. To see additional details on this or any of our other policies, please see our Terms & Conditions page.Item has been added to Shopping Cart
If you are ready to order, navigate to Shopping Cart and get ready to checkout.
