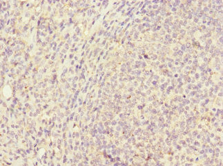
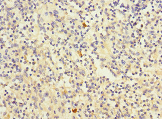
Rabbit anti-Human CD320 Polyclonal Antibody | anti-CD320 antibody
CD320 Antibody
Gene Names
CD320; 8D6; 8D6A; TCBLR
Reactivity
Human
Applications
Immunohistochemistry, ELISA
Purity
Antigen Affinity Purified
Synonyms
CD320, Antibody; CD320 Antibody; CD320 antigen; 8D6 antigen; FDC-signaling molecule 8D6; FDC-SM-8D6; Transcobalamin receptor; TCblR; CD320; 8D6A; UNQ198/PRO224; anti-CD320 antibody
Host
Rabbit
Reactivity
Human
Clonality
Polyclonal
Isotype
IgG
Purity/Purification
Antigen Affinity Purified
Form/Format
Liquid
Sequence Length
240
Applicable Applications for anti-CD320 antibody
IHC (Immunohistochemistry), ELISA
Species
Human
Immunogen
Recombinant human CD320 antigen protein (36-229AA)
Conjugate
Non-conjugated
Buffer
PBS with 0.02% sodium azide, 50% glycerol, pH7.3.
Santa Cruz Alternative
Potential replacement for Santa Cruz Biotechnology antibody catalog# sc-54155
Preparation and Storage
Shipped at 4 degree C. Upon delivery aliquot and store at -20 degree C or -80 degree C. Avoid repeated freeze.
Related Product Information for anti-CD320 antibody
Germinal center-B (GC-B) cells differentiate into memory B-cells and plasma cells (PC) through interaction with T-cells and follicular dendritic cells (FDC). CD320 augments the proliferation of PC precursors generated by IL-10. Receptor for the cellular uptake of transcobalamin bound cobalamin.
NCBI and Uniprot Product Information
NCBI GI #
NCBI GeneID
NCBI Accession #
NCBI GenBank Nucleotide #
Molecular Weight
24,371 Da
NCBI Official Full Name
CD320 antigen isoform 2
NCBI Official Synonym Full Names
CD320 molecule
NCBI Official Symbol
CD320
NCBI Official Synonym Symbols
8D6; 8D6A; TCBLR
NCBI Protein Information
CD320 antigen
UniProt Protein Name
CD320 antigen
UniProt Gene Name
CD320
UniProt Synonym Gene Names
8D6A; FDC-SM-8D6; TCblR
UniProt Entry Name
CD320_HUMAN
Customer Reviews
Loading reviews...
Share Your Experience
Similar Products
Product Notes
The CD320 cd320 (Catalog #AAA232102) is an Antibody produced from Rabbit and is intended for research purposes only. The product is available for immediate purchase. The CD320 Antibody reacts with Human and may cross-react with other species as described in the data sheet. AAA Biotech's CD320 can be used in a range of immunoassay formats including, but not limited to, IHC (Immunohistochemistry), ELISA. Researchers should empirically determine the suitability of the CD320 cd320 for an application not listed in the data sheet. Researchers commonly develop new applications and it is an integral, important part of the investigative research process. It is sometimes possible for the material contained within the vial of "CD320, Polyclonal Antibody" to become dispersed throughout the inside of the vial, particularly around the seal of said vial, during shipment and storage. We always suggest centrifuging these vials to consolidate all of the liquid away from the lid and to the bottom of the vial prior to opening. Please be advised that certain products may require dry ice for shipping and that, if this is the case, an additional dry ice fee may also be required.Precautions
All products in the AAA Biotech catalog are strictly for research-use only, and are absolutely not suitable for use in any sort of medical, therapeutic, prophylactic, in-vivo, or diagnostic capacity. By purchasing a product from AAA Biotech, you are explicitly certifying that said products will be properly tested and used in line with industry standard. AAA Biotech and its authorized distribution partners reserve the right to refuse to fulfill any order if we have any indication that a purchaser may be intending to use a product outside of our accepted criteria.Disclaimer
Though we do strive to guarantee the information represented in this datasheet, AAA Biotech cannot be held responsible for any oversights or imprecisions. AAA Biotech reserves the right to adjust any aspect of this datasheet at any time and without notice. It is the responsibility of the customer to inform AAA Biotech of any product performance issues observed or experienced within 30 days of receipt of said product. To see additional details on this or any of our other policies, please see our Terms & Conditions page.Item has been added to Shopping Cart
If you are ready to order, navigate to Shopping Cart and get ready to checkout.
