CD62L Polyclonal Antibody | anti-CD62L antibody
Anti-CD62L Antibody
WB (Western Blot)
(Anti- L-selectin Picoband antibody, AAA46271, Western blottingAll lanes: Anti L-selectin (AAA46271) at 0.5ug/mlLane 1: Human Placenta Tissue Lysate at 50ugLane 2: JURKAT Whole Cell Lysate at 40ugLane 3: CEM Whole Cell Lysate at 40ugLane 4: HL60 Whole Cell Lysate at 40ugLane 5: Rat Spleen Tissue Lysate at 50ugLane 6: Mouse Spleen Tissue Lysate at 50ugPredicted bind size: 42KDObserved bind size: 42KD)
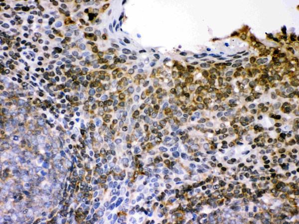
IHC (Immunohistochemistry)
(Anti- L-selectin Picoband antibody, AAA46271, IHC(P)IHC(P): Human Tonsil Tissue)
Background: CD62L, also known as L-selectin, is a cell adhesion molecule found on leukocytes. It belongs to the selectin family of proteins, which recognize sialylated carbohydrate groups. It is cleaved by ADAM17. SELL (L-selectin) is a cell surface component that is a member of a family of adhesion/homing receptors which play important roles in leukocyte-endothelial cell interactions. The molecule is composed of multiple domains: one homologous to lectins, one to epidermal growth factor, and two to the consensus repeat units found in C3/C4 binding proteins. L-selectin acts as a "homing receptor" for leukocytes to enter secondary lymphoid tissues via high endothelial venules. Ligands present on endothelial cells will bind to leukocyte expressing L-selectin, slowing leukocyte trafficking through the blood, and facilitating entry into a secondary lymphoid organ at that point.
NCBI and Uniprot Product Information
Customer Reviews
Loading reviews...
Share Your Experience
Similar Products
Product Notes
The CD62L sell (Catalog #AAA46271) is an Antibody and is intended for research purposes only. The product is available for immediate purchase. The Anti-CD62L Antibody reacts with Human, Mouse, Rat and may cross-react with other species as described in the data sheet. AAA Biotech's CD62L can be used in a range of immunoassay formats including, but not limited to, ELISA, IHC (Immunohistochemistry), WB (Western Blot). Researchers should empirically determine the suitability of the CD62L sell for an application not listed in the data sheet. Researchers commonly develop new applications and it is an integral, important part of the investigative research process. It is sometimes possible for the material contained within the vial of "CD62L, Polyclonal Antibody" to become dispersed throughout the inside of the vial, particularly around the seal of said vial, during shipment and storage. We always suggest centrifuging these vials to consolidate all of the liquid away from the lid and to the bottom of the vial prior to opening. Please be advised that certain products may require dry ice for shipping and that, if this is the case, an additional dry ice fee may also be required.Precautions
All products in the AAA Biotech catalog are strictly for research-use only, and are absolutely not suitable for use in any sort of medical, therapeutic, prophylactic, in-vivo, or diagnostic capacity. By purchasing a product from AAA Biotech, you are explicitly certifying that said products will be properly tested and used in line with industry standard. AAA Biotech and its authorized distribution partners reserve the right to refuse to fulfill any order if we have any indication that a purchaser may be intending to use a product outside of our accepted criteria.Disclaimer
Though we do strive to guarantee the information represented in this datasheet, AAA Biotech cannot be held responsible for any oversights or imprecisions. AAA Biotech reserves the right to adjust any aspect of this datasheet at any time and without notice. It is the responsibility of the customer to inform AAA Biotech of any product performance issues observed or experienced within 30 days of receipt of said product. To see additional details on this or any of our other policies, please see our Terms & Conditions page.Item has been added to Shopping Cart
If you are ready to order, navigate to Shopping Cart and get ready to checkout.
