Rabbit anti-Human CD63 Polyclonal Antibody | anti-CD63 antibody
CD63 Rabbit anti-Human Polyclonal Antibody
Gene Names
CD63; MLA1; ME491; LAMP-3; OMA81H; TSPAN30
Reactivity
Human
Applications
Immunohistochemistry
Purity
Immunoaffinity purified
Synonyms
CD63, Antibody; CD63 Rabbit anti-Human Polyclonal Antibody; IHC-plus CD63 Antibody; CD63; CD63 molecule; LAMP-3; ME491; Granulophysin; MLA1; Tetraspanin-30; Tspan-30; CD63 antigen; OMA81H; TSPAN30; anti-CD63 antibody
Host
Rabbit
Reactivity
Human
Clonality
Polyclonal
Purity/Purification
Immunoaffinity purified
Form/Format
PBS, 0.1% Sodium Azide
Concentration
1mg/ml (varies by lot)
Applicable Applications for anti-CD63 antibody
IHC (Immunohistochemistry)
Target
Human CD63
Immunogen
LP-11976, synthetic peptide
Conjugation
Unconjugated
Family
Tetraspan
Preparation and Storage
Aliquot and store undiluted at -20 degree C or below for up to 1 year. Can be stored undiluted at 4 degree C for up to 1 month. Avoid freeze-thaw cycles.
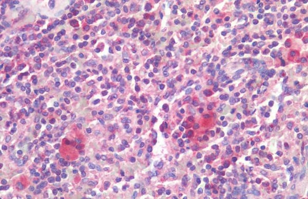
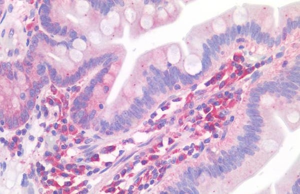
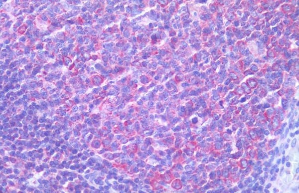
IHC (Immunohistochemistry)
(CD63 Antibody-Human Small Intestine: Formalin-Fixed, Paraffin-Embedded (FFPE))
Related Product Information for anti-CD63 antibody
CD63 antibody is an unconjugated rabbit polyclonal antibody to CD63 from human. Validated for IHC. Tested on 20 paraffin-embedded human tissues.
NCBI and Uniprot Product Information
NCBI GI #
NCBI GeneID
NCBI Accession #
NCBI GenBank Nucleotide #
Molecular Weight
17,271 Da
NCBI Official Full Name
CD63 antigen isoform A
NCBI Official Synonym Full Names
CD63 molecule
NCBI Official Symbol
CD63
NCBI Official Synonym Symbols
MLA1; ME491; LAMP-3; OMA81H; TSPAN30
NCBI Protein Information
CD63 antigen; tspan-30; granulophysin; tetraspanin-30; melanoma-associated antigen MLA1; CD63 antigen (melanoma 1 antigen); melanoma-associated antigen ME491; ocular melanoma-associated antigen; lysosomal-associated membrane protein 3; lysosome-associated
UniProt Protein Name
CD63 antigen
UniProt Gene Name
CD63
UniProt Synonym Gene Names
MLA1; TSPAN30; LAMP-3; Tspan-30
Customer Reviews
Loading reviews...
Share Your Experience
Similar Products
Product Notes
The CD63 cd63 (Catalog #AAA163289) is an Antibody produced from Rabbit and is intended for research purposes only. The product is available for immediate purchase. The CD63 Rabbit anti-Human Polyclonal Antibody reacts with Human and may cross-react with other species as described in the data sheet. AAA Biotech's CD63 can be used in a range of immunoassay formats including, but not limited to, IHC (Immunohistochemistry). Researchers should empirically determine the suitability of the CD63 cd63 for an application not listed in the data sheet. Researchers commonly develop new applications and it is an integral, important part of the investigative research process. It is sometimes possible for the material contained within the vial of "CD63, Polyclonal Antibody" to become dispersed throughout the inside of the vial, particularly around the seal of said vial, during shipment and storage. We always suggest centrifuging these vials to consolidate all of the liquid away from the lid and to the bottom of the vial prior to opening. Please be advised that certain products may require dry ice for shipping and that, if this is the case, an additional dry ice fee may also be required.Precautions
All products in the AAA Biotech catalog are strictly for research-use only, and are absolutely not suitable for use in any sort of medical, therapeutic, prophylactic, in-vivo, or diagnostic capacity. By purchasing a product from AAA Biotech, you are explicitly certifying that said products will be properly tested and used in line with industry standard. AAA Biotech and its authorized distribution partners reserve the right to refuse to fulfill any order if we have any indication that a purchaser may be intending to use a product outside of our accepted criteria.Disclaimer
Though we do strive to guarantee the information represented in this datasheet, AAA Biotech cannot be held responsible for any oversights or imprecisions. AAA Biotech reserves the right to adjust any aspect of this datasheet at any time and without notice. It is the responsibility of the customer to inform AAA Biotech of any product performance issues observed or experienced within 30 days of receipt of said product. To see additional details on this or any of our other policies, please see our Terms & Conditions page.Item has been added to Shopping Cart
If you are ready to order, navigate to Shopping Cart and get ready to checkout.
