Rabbit anti-Human CD85j Polyclonal Antibody | anti-CD85j antibody
CD85j Polyclonal Antibody
Gene Names
LILRB1; ILT2; LIR1; MIR7; CD85J; ILT-2; LIR-1; MIR-7
Reactivity
Human
Applications
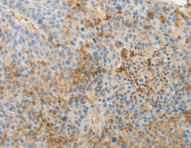
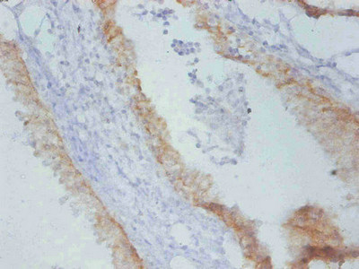
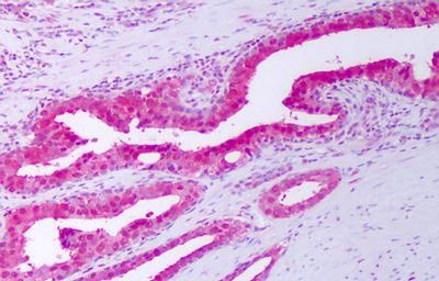
Immunofluorescence, Western Blot
Purity
Affinity purification
Synonyms
CD85j, Antibody; CD85j Polyclonal Antibody; LILRB1; CD85J; ILT-2; ILT2; LIR-1; LIR1; MIR-7; MIR7; PIR-B; PIRB; anti-CD85j antibody
Host
Rabbit
Reactivity
Human
Clonality
Polyclonal
Isotype
IgG
Purity/Purification
Affinity purification
Form/Format
PBS with 0.05% proclin300,50% glycerol,pH7.3.
Concentration
1mg/mL (varies by lot)
Applicable Applications for anti-CD85j antibody
IF (Immunofluorescence), WB (Western Blot)
Immunogen
Recombinant fusion protein of human CD85j
Research Area
Immunology
Preparation and Storage
Storage: -20 degree C/One year. Avoid freeze/thaw cycles.
Related Product Information for anti-CD85j antibody
This gene is member of the leukocyte immunoglobulin-like receptor (LIR) family, which is found in a gene cluster at chromosomal region 19q13.4. The encoded protein belongs to the subfamily B class of LIR receptors which contain two or four extracellular immunoglobulin domains, a transmembrane domain, and two to four cytoplasmic immunoreceptor tyrosine-based inhibitory motifs (ITIMs). The receptor is expressed on immune cells where it binds to MHC class I molecules on antigen-presenting cells and transduces a negative signal that inhibits stimulation of an immune response. It is thought to control inflammatory responses and cytotoxicity to help focus the immune response and limit autoreactivity. Multiple transcript variants encoding different isoforms have been found for this gene.
Product Categories/Family for anti-CD85j antibody
NCBI and Uniprot Product Information
NCBI GI #
NCBI GeneID
NCBI Accession #
NCBI GenBank Nucleotide #
Molecular Weight
70,819 Da
NCBI Official Full Name
leukocyte immunoglobulin-like receptor subfamily B member 1 isoform 4
NCBI Official Synonym Full Names
leukocyte immunoglobulin-like receptor, subfamily B (with TM and ITIM domains), member 1
NCBI Official Symbol
LILRB1
NCBI Official Synonym Symbols
ILT2; LIR1; MIR7; CD85J; ILT-2; LIR-1; MIR-7
NCBI Protein Information
leukocyte immunoglobulin-like receptor subfamily B member 1; Ig-like transcript 2; CD85 antigen-like family member J; monocyte/macrophage immunoglobulin-like receptor 7; leukocyte immunoglobulin-like receptor subfamily B member 1 soluble isoform
UniProt Protein Name
Leukocyte immunoglobulin-like receptor subfamily B member 1
UniProt Gene Name
LILRB1
UniProt Synonym Gene Names
ILT2; LIR1; MIR7; LIR-1; Leukocyte immunoglobulin-like receptor 1; ILT-2; MIR-7
UniProt Entry Name
LIRB1_HUMAN
Similar Products
Product Notes
The CD85j lilrb1 (Catalog #AAA179370) is an Antibody produced from Rabbit and is intended for research purposes only. The product is available for immediate purchase. The CD85j Polyclonal Antibody reacts with Human and may cross-react with other species as described in the data sheet. AAA Biotech's CD85j can be used in a range of immunoassay formats including, but not limited to, IF (Immunofluorescence), WB (Western Blot). Researchers should empirically determine the suitability of the CD85j lilrb1 for an application not listed in the data sheet. Researchers commonly develop new applications and it is an integral, important part of the investigative research process. It is sometimes possible for the material contained within the vial of "CD85j, Polyclonal Antibody" to become dispersed throughout the inside of the vial, particularly around the seal of said vial, during shipment and storage. We always suggest centrifuging these vials to consolidate all of the liquid away from the lid and to the bottom of the vial prior to opening. Please be advised that certain products may require dry ice for shipping and that, if this is the case, an additional dry ice fee may also be required.Precautions
All products in the AAA Biotech catalog are strictly for research-use only, and are absolutely not suitable for use in any sort of medical, therapeutic, prophylactic, in-vivo, or diagnostic capacity. By purchasing a product from AAA Biotech, you are explicitly certifying that said products will be properly tested and used in line with industry standard. AAA Biotech and its authorized distribution partners reserve the right to refuse to fulfill any order if we have any indication that a purchaser may be intending to use a product outside of our accepted criteria.Disclaimer
Though we do strive to guarantee the information represented in this datasheet, AAA Biotech cannot be held responsible for any oversights or imprecisions. AAA Biotech reserves the right to adjust any aspect of this datasheet at any time and without notice. It is the responsibility of the customer to inform AAA Biotech of any product performance issues observed or experienced within 30 days of receipt of said product. To see additional details on this or any of our other policies, please see our Terms & Conditions page.Item has been added to Shopping Cart
If you are ready to order, navigate to Shopping Cart and get ready to checkout.
