Rabbit anti-Human TIMP1 Polyclonal Antibody | anti-TIMP1 antibody
TIMP1 Antibody (C-term)
FCM/FACS (Flow Cytometry)
(TIMP1 Antibody (C-term) flow cytometric analysis of A2058 cells (right histogram) compared to a negative control cell (left histogram).FITC-conjugated goat-anti-rabbit secondary antibodies were used for the analysis.)
IF (Immunofluorescence)
(Confocal immunofluorescent analysis of TIMP1 Antibody (C-term) with A2058 cell followed by Alexa Fluor 488-conjugated goat anti-rabbit lgG (green). Actin filaments have been labeled with Alexa Fluor 555 phalloidin (red).)
IF (Immunofluorescence)
(Confocal immunofluorescent analysis of TIMP1 Antibody (C-term) with A2058 cell followed by Alexa Fluor 488-conjugated goat anti-rabbit lgG (green). DAPI was used to stain the cell nuclear (blue).)
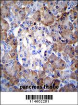
IHC (Immunohiostchemistry)
(TIMP1 Antibody (C-term) immunohistochemistry analysis in formalin fixed and paraffin embedded human pancreas tissue followed by peroxidase conjugation of the secondary antibody and DAB staining.This data demonstrates the use of TIMP1 Antibody (C-term) for immunohistochemistry. Clinical relevance has not been evaluated.)
WB (Western Blot)
(TIMP1 Antibody (C-term) western blot analysis in CEM cell line lysates (35ug/lane).This demonstrates the TIMP1 antibody detected the TIMP1 protein (arrow).)
encoded by this gene family are natural inhibitors of the matrix
metalloproteinases (MMPs), a group of peptidases involved in
degradation of the extracellular matrix. In addition to its
inhibitory role against most of the known MMPs, the encoded protein
is able to promote cell proliferation in a wide range of cell
types, and may also have an anti-apoptotic function. Transcription
of this gene is highly inducible in response to many cytokines and
hormones. In addition, the expression from some but not all
inactive X chromosomes suggests that this gene inactivation is
polymorphic in human females. This gene is located within intron 6
of the synapsin I gene and is transcribed in the opposite
direction.
Bailey, S.D., et al. Diabetes Care 33(10):2250-2253(2010)
Lin, C.C., et al. Clin J Am Soc Nephrol 5(10):1805-1814(2010)
Yeh, Y.C., et al. BMC Microbiol. 10, 218 (2010) :
Johnatty, S.E., et al. PLoS Genet. 6 (7), E1001016 (2010) :
NCBI and Uniprot Product Information
Customer Reviews
Loading reviews...
Share Your Experience
Similar Products
Product Notes
The TIMP1 timp1 (Catalog #AAA289281) is an Antibody produced from Rabbit and is intended for research purposes only. The product is available for immediate purchase. The immunogen sequence is 157-188. The TIMP1 Antibody (C-term) reacts with Human and may cross-react with other species as described in the data sheet. AAA Biotech's TIMP1 can be used in a range of immunoassay formats including, but not limited to, FCM/FACS (Flow Cytometry), IF (Immunofluorescence), IHC (Immunohistochemistry), ELISA, WB (Western Blot). Researchers should empirically determine the suitability of the TIMP1 timp1 for an application not listed in the data sheet. Researchers commonly develop new applications and it is an integral, important part of the investigative research process. It is sometimes possible for the material contained within the vial of "TIMP1, Polyclonal Antibody" to become dispersed throughout the inside of the vial, particularly around the seal of said vial, during shipment and storage. We always suggest centrifuging these vials to consolidate all of the liquid away from the lid and to the bottom of the vial prior to opening. Please be advised that certain products may require dry ice for shipping and that, if this is the case, an additional dry ice fee may also be required.Precautions
All products in the AAA Biotech catalog are strictly for research-use only, and are absolutely not suitable for use in any sort of medical, therapeutic, prophylactic, in-vivo, or diagnostic capacity. By purchasing a product from AAA Biotech, you are explicitly certifying that said products will be properly tested and used in line with industry standard. AAA Biotech and its authorized distribution partners reserve the right to refuse to fulfill any order if we have any indication that a purchaser may be intending to use a product outside of our accepted criteria.Disclaimer
Though we do strive to guarantee the information represented in this datasheet, AAA Biotech cannot be held responsible for any oversights or imprecisions. AAA Biotech reserves the right to adjust any aspect of this datasheet at any time and without notice. It is the responsibility of the customer to inform AAA Biotech of any product performance issues observed or experienced within 30 days of receipt of said product. To see additional details on this or any of our other policies, please see our Terms & Conditions page.Item has been added to Shopping Cart
If you are ready to order, navigate to Shopping Cart and get ready to checkout.
