Rabbit CD86 Polyclonal Antibody | anti-CD86 antibody
CD86
Lyophilized antibody is table at room temperature for at leat 1 month and for greater than a year when kept at -20°C. When reconstituted in sterile pH 7.4 0.01M PBS or diluent of antibody, the antibody is stable for at least 2 weeks at 2 to 4°C.
FCM/FACS (Flow Cytometry)
(Blank control: U937(blue). Primary Antibody: Rabbit Anti-CD86 antibody(bs-1035R), Dilution: 1ug in 100 uL 1X PBS containing 0.5% BSA; Isotype Control Antibody: Rabbit IgG (orange) ,used under the same conditions.Secondary Antibody: Goat anti-rabbit IgG-PE (white blue), Dilution: 1:200 in 1 X PBS containing 0.5% BSA. Protocol: The cells were fixed with 2% paraformaldehyde (10 min).Primary antibody (1ug /1x10^6 cells) were incubated for 30 min on the ice, followed by 1 X PBS containing 0.5% BSA + 10% goat serum (15 min) to block non-specific protein-protein interactions. Then the Goat Anti-rabbit IgG/PE antibody was added into the blocking buffer mentioned above to react with the primary antibody at 1/200 dilution for 30 min on ice. Acquisition of 20,000 events was performed.)
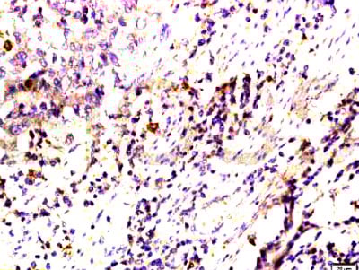
IHC (Immunohiostchemistry)
(Tissue/cell: Human esophageal carcinoma; 4% Paraformaldehyde-fixed and paraffin-embedded; Antigen retrieval: citrate buffer ( 0.01M, pH 6.0 ), Boiling bathing for 15min; Block endogenous peroxidase by 3% Hydrogen peroxide for 30min; Blocking buffer (normal goat serum,C-0005) at 37°C for 20 min; Incubation: Anti-CD86/B7-2 Polyclonal Antibody, Unconjugated 1:200, overnight at 4°C, followed by conjugation to the secondary antibody and DAB staining.)
WB (Western Blot)
(Sample:Lane 1: HepG2 (Human) Cell Lysate at 30 ug.Lane 2: U937 (Human) Cell Lysate at 30 ug.Lane 3: Spleen (Rat) Lysate at 40 ug.Lane 4: Spleen (Mouse) Lysate at 40 ug.Lane 5: HL-60 (Human) Cell Lysate at 30 ug. Primary: Anti-CD86 at 1/1000 dilution. Secondary: IRDye800CW Goat Anti-Rabbit IgG at 1/20000 dilution. Predicted band size: 38 kD. Observed band size: 72 kD)
NCBI and Uniprot Product Information
Customer Reviews
Loading reviews...
Share Your Experience
Similar Products
Product Notes
The CD86 (Catalog #AAA268978) is an Antibody produced from Rabbit and is intended for research purposes only. The product is available for immediate purchase. The CD86 reacts with Human, Mouse, Rat, Dog, Pig, Cow, Sheep and may cross-react with other species as described in the data sheet. AAA Biotech's CD86 can be used in a range of immunoassay formats including, but not limited to, ELISA, IF (Immunofluorescence), IHC (Immunohistochemistry), WB (Western Blot). Researchers should empirically determine the suitability of the CD86 for an application not listed in the data sheet. Researchers commonly develop new applications and it is an integral, important part of the investigative research process. It is sometimes possible for the material contained within the vial of "CD86, Polyclonal Antibody" to become dispersed throughout the inside of the vial, particularly around the seal of said vial, during shipment and storage. We always suggest centrifuging these vials to consolidate all of the liquid away from the lid and to the bottom of the vial prior to opening. Please be advised that certain products may require dry ice for shipping and that, if this is the case, an additional dry ice fee may also be required.Precautions
All products in the AAA Biotech catalog are strictly for research-use only, and are absolutely not suitable for use in any sort of medical, therapeutic, prophylactic, in-vivo, or diagnostic capacity. By purchasing a product from AAA Biotech, you are explicitly certifying that said products will be properly tested and used in line with industry standard. AAA Biotech and its authorized distribution partners reserve the right to refuse to fulfill any order if we have any indication that a purchaser may be intending to use a product outside of our accepted criteria.Disclaimer
Though we do strive to guarantee the information represented in this datasheet, AAA Biotech cannot be held responsible for any oversights or imprecisions. AAA Biotech reserves the right to adjust any aspect of this datasheet at any time and without notice. It is the responsibility of the customer to inform AAA Biotech of any product performance issues observed or experienced within 30 days of receipt of said product. To see additional details on this or any of our other policies, please see our Terms & Conditions page.Item has been added to Shopping Cart
If you are ready to order, navigate to Shopping Cart and get ready to checkout.
