Rabbit anti-Human CDH1/E Cadherin Polyclonal Antibody | anti-CDH1 antibody
CDH1/E Cadherin Rabbit anti-Human Polyclonal Antibody
Gene Names
CDH1; UVO; CDHE; ECAD; LCAM; Arc-1; CD324
Reactivity
Human
Applications
Immunohistochemistry
Purity
Immunoaffinity purified
Synonyms
CDH1/E Cadherin, Antibody; CDH1/E Cadherin Rabbit anti-Human Polyclonal Antibody; PathPlus CDH1/E Cadherin Antibody; CDH1; CD324; CDHE; Cell-CAM 120/80; E Cadherin; E-Cadherin; ECAD; Epithelial cadherin; Arc-1; UVO; Cadherin-1; CAM 120/80; CD324 antigen; LCAM; Uvomorulin; anti-CDH1 antibody
Host
Rabbit
Reactivity
Human
Clonality
Polyclonal
Purity/Purification
Immunoaffinity purified
Form/Format
PBS, 0.1% Sodium Azide
Concentration
1mg/ml (varies by lot)
Applicable Applications for anti-CDH1 antibody
IHC (Immunohistochemistry)
Target
Human CDH1/E Cadherin
Immunogen
LP-10827, synthetic peptide
Conjugation
Unconjugated
Family
Cadherin
Preparation and Storage
Aliquot and store undiluted at -20 degree C or below for up to 1 year. Can be stored undiluted at 4 degree C for up to 1 month. Avoid freeze-thaw cycles.
Related Product Information for anti-CDH1 antibody
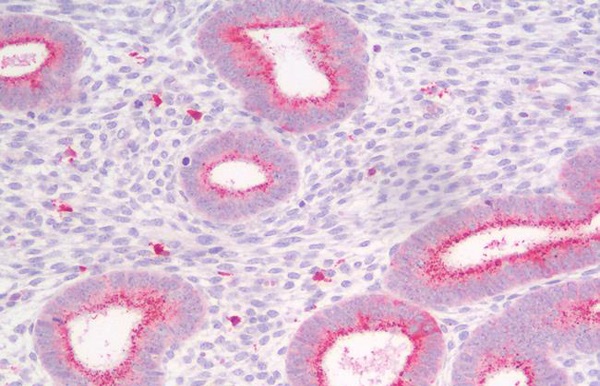
E Cadherin antibody is an unconjugated rabbit polyclonal antibody to E Cadherin (CDH1) from human. Validated for IHC.
E-cadherin (CDH1) is a calcium-depending glycoprotein that is involved in cell to cell adhesion and is expressed on the surface of epithelial tissues. Loss of e-cadherin is associated with decreased cell adhesion, increased cellular motility, invasion and poor prognosis in carcinomas, particularly lobular carcinomas of the breast. In immunohistochemistry, e-cadherin is positive in normal breast ducts, the epithelium of the GI tract, hepatocytes and bile ducts. In cancer, it is positive in breast ductal carcinoma (but not lobular), esophageal adenocarcinoma and squamous carcinoma, and bladder transitional cell carcinoma.
E-cadherin (CDH1) is a calcium-depending glycoprotein that is involved in cell to cell adhesion and is expressed on the surface of epithelial tissues. Loss of e-cadherin is associated with decreased cell adhesion, increased cellular motility, invasion and poor prognosis in carcinomas, particularly lobular carcinomas of the breast. In immunohistochemistry, e-cadherin is positive in normal breast ducts, the epithelium of the GI tract, hepatocytes and bile ducts. In cancer, it is positive in breast ductal carcinoma (but not lobular), esophageal adenocarcinoma and squamous carcinoma, and bladder transitional cell carcinoma.
References
Eur J Cancer 2000, 36:1607; Cell. 2015 Oct 8;163(2):506-19, PMID: 26451490; Breast Cancer Res. 2017 Jul 27;19(1):86, PMID: 28750639; Oncotarget 2017 Jan; 8.1; 16445-16455, PMID: 28147315; Oncotarget. 2016 Nov; 7.49; 80655-80663, PMID: 27811364;
NCBI and Uniprot Product Information
NCBI GI #
NCBI GeneID
NCBI Accession #
NCBI GenBank Nucleotide #
Molecular Weight
97,456 Da
NCBI Official Full Name
cadherin-1 preproprotein
NCBI Official Synonym Full Names
cadherin 1, type 1, E-cadherin (epithelial)
NCBI Official Symbol
CDH1
NCBI Official Synonym Symbols
UVO; CDHE; ECAD; LCAM; Arc-1; CD324
NCBI Protein Information
cadherin-1; CAM 120/80; E-Cadherin; uvomorulin; cell-CAM 120/80; epithelial cadherin; cadherin 1, E-cadherin (epithelial); calcium-dependent adhesion protein, epithelial
UniProt Protein Name
Cadherin-1
UniProt Gene Name
CDH1
UniProt Synonym Gene Names
CDHE; UVO; E-cadherin
UniProt Entry Name
CADH1_HUMAN
Customer Reviews
Loading reviews...
Share Your Experience
Similar Products
Product Notes
The CDH1 cdh1 (Catalog #AAA162981) is an Antibody produced from Rabbit and is intended for research purposes only. The product is available for immediate purchase. The CDH1/E Cadherin Rabbit anti-Human Polyclonal Antibody reacts with Human and may cross-react with other species as described in the data sheet. AAA Biotech's CDH1/E Cadherin can be used in a range of immunoassay formats including, but not limited to, IHC (Immunohistochemistry). Researchers should empirically determine the suitability of the CDH1 cdh1 for an application not listed in the data sheet. Researchers commonly develop new applications and it is an integral, important part of the investigative research process. It is sometimes possible for the material contained within the vial of "CDH1/E Cadherin, Polyclonal Antibody" to become dispersed throughout the inside of the vial, particularly around the seal of said vial, during shipment and storage. We always suggest centrifuging these vials to consolidate all of the liquid away from the lid and to the bottom of the vial prior to opening. Please be advised that certain products may require dry ice for shipping and that, if this is the case, an additional dry ice fee may also be required.Precautions
All products in the AAA Biotech catalog are strictly for research-use only, and are absolutely not suitable for use in any sort of medical, therapeutic, prophylactic, in-vivo, or diagnostic capacity. By purchasing a product from AAA Biotech, you are explicitly certifying that said products will be properly tested and used in line with industry standard. AAA Biotech and its authorized distribution partners reserve the right to refuse to fulfill any order if we have any indication that a purchaser may be intending to use a product outside of our accepted criteria.Disclaimer
Though we do strive to guarantee the information represented in this datasheet, AAA Biotech cannot be held responsible for any oversights or imprecisions. AAA Biotech reserves the right to adjust any aspect of this datasheet at any time and without notice. It is the responsibility of the customer to inform AAA Biotech of any product performance issues observed or experienced within 30 days of receipt of said product. To see additional details on this or any of our other policies, please see our Terms & Conditions page.Item has been added to Shopping Cart
If you are ready to order, navigate to Shopping Cart and get ready to checkout.
