Rabbit pan Cadherin Polyclonal Antibody | anti-CDH1 antibody
pan Cadherin Antibody
Phosphate buffered saline, pH 7.4, 150mM NaCl, 0.02% sodium azide and 50% glycerol.
IHC (Immunohistochemistry)
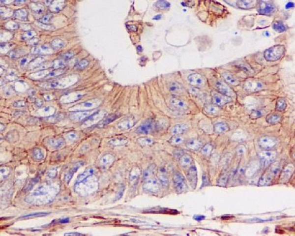
(AAA327184 at 1/100 staining Mouse testis tissue by IHC-P. The sample was formaldehyde fixed and a heat mediated antigen retrieval step in citrate buffer was performed. The sample was then blocked and incubated with the antibody for 1.5 hours at 22 degree C. An HRP conjugated goat anti-rabbit antibody was used as the secondary.)
Subunit Structure: Homodimer; disulfide-linked (PubMed:11856755). Component of an E-cadherin/catenin adhesion complex composed of at least E-cadherin/CDH1, beta-catenin/CTNNB1 or gamma-catenin/JUP, and potentially alpha-catenin/CTNNA1; the complex is located to adherens junctions (PubMed:16126725, PubMed:7982500). Interacts with the TRPV4 and CTNNB1 complex (By similarity). Interacts with CTNND1 (PubMed:15240885). The stable association of CTNNA1 is controversial as CTNNA1 was shown not to bind to F-actin when assembled in the complex (By similarity). Alternatively, the CTNNA1-containing complex may be linked to F-actin by other proteins such as LIMA1 (By similarity). Interaction with PSEN1, cleaves CDH1 resulting in the disassociation of cadherin-based adherens junctions (CAJs) (PubMed:11226248, PubMed:16126725). Interacts with AJAP1 and DLGAP5 (PubMed:14699157, PubMed:14595118). Interacts with TBC1D2 (PubMed:20116244). Interacts with LIMA1 (PubMed:18093941). Interacts with CAV1. Interacts with PIP5K1C (PubMed:17261850). Interacts with RAB8B (By similarity). Interacts with RAPGEF2 (By similarity). Interacts with DDR1; this stabilizes CDH1 at the cell surface and inhibits its internalization (PubMed:20432435). Interacts with KLRG1 (PubMed:19604491).
Post-translational Modifications: During apoptosis or with calcium influx, cleaved by a membrane-bound metalloproteinase (ADAM10), PS1/gamma-secretase and caspase-3 to produce fragments of about 38 kDa (E-CAD/CTF1), 33 kDa (E-CAD/CTF2) and 29 kDa (E-CAD/CTF3), respectively. Processing by the metalloproteinase, induced by calcium influx, causes disruption of cell-cell adhesion and the subsequent release of beta-catenin into the cytoplasm. The residual membrane-tethered cleavage product is rapidly degraded via an intracellular proteolytic pathway. Cleavage by caspase-3 releases the cytoplasmic tail resulting in disintegration of the actin microfilament system. The gamma-secretase-mediated cleavage promotes disassembly of adherens junctions. N-glycosylation at Asn-637 is essential for expression, folding and trafficking. Ubiquitinated by a SCF complex containing SKP2, which requires prior phosphorylation by CK1/CSNK1A1. Ubiquitinated by CBLL1/HAKAI, requires prior phosphorylation at Tyr-754.
Similarity: Three calcium ions are usually bound at the interface of each cadherin domain and rigidify the connections, imparting a strong curvature to the full-length ectodomain.
NCBI and Uniprot Product Information
Predicted: 98 kDa
Customer Reviews
Loading reviews...
Share Your Experience
Similar Products
Product Notes
The CDH1 cdh1 (Catalog #AAA327184) is an Antibody produced from Rabbit and is intended for research purposes only. The product is available for immediate purchase. The pan Cadherin Antibody reacts with Human, Mouse, Rat and may cross-react with other species as described in the data sheet. AAA Biotech's pan Cadherin can be used in a range of immunoassay formats including, but not limited to, ELISA, IHC (Immunohistochemistry), WB (Western Blot). Researchers should empirically determine the suitability of the CDH1 cdh1 for an application not listed in the data sheet. Researchers commonly develop new applications and it is an integral, important part of the investigative research process. It is sometimes possible for the material contained within the vial of "pan Cadherin, Polyclonal Antibody" to become dispersed throughout the inside of the vial, particularly around the seal of said vial, during shipment and storage. We always suggest centrifuging these vials to consolidate all of the liquid away from the lid and to the bottom of the vial prior to opening. Please be advised that certain products may require dry ice for shipping and that, if this is the case, an additional dry ice fee may also be required.Precautions
All products in the AAA Biotech catalog are strictly for research-use only, and are absolutely not suitable for use in any sort of medical, therapeutic, prophylactic, in-vivo, or diagnostic capacity. By purchasing a product from AAA Biotech, you are explicitly certifying that said products will be properly tested and used in line with industry standard. AAA Biotech and its authorized distribution partners reserve the right to refuse to fulfill any order if we have any indication that a purchaser may be intending to use a product outside of our accepted criteria.Disclaimer
Though we do strive to guarantee the information represented in this datasheet, AAA Biotech cannot be held responsible for any oversights or imprecisions. AAA Biotech reserves the right to adjust any aspect of this datasheet at any time and without notice. It is the responsibility of the customer to inform AAA Biotech of any product performance issues observed or experienced within 30 days of receipt of said product. To see additional details on this or any of our other policies, please see our Terms & Conditions page.Item has been added to Shopping Cart
If you are ready to order, navigate to Shopping Cart and get ready to checkout.
