Rabbit anti-Rat CEACAM1 Polyclonal Antibody | anti-CEACAM1 antibody
CEACAM1 Polyclonal Antibody
Gene Names
Ceacam1; Bgp; BGPR; CD66a; Ccam1
Reactivity
Rat
Applications
Immunohistochemistry, Western Blot
Purity
Antigen Affinity Purification
Synonyms
CEACAM1, Antibody; CEACAM1 Polyclonal Antibody; Antigen CD66; BGP 1; BGP; BGP-1; BGPI; Biliary glycoprotein 1; Biliary glycoprotein adhesion molecule; Biliary glycoprotein; Carcinoembryonic antigen related cell adhesion molecule 1; carcinoembryonic antigen-related cell adhesion molecule 1 (biliary glycoprotein); Carcinoembryonic antigen-related cell adhesion molecule 1; CD66a; CD66a antigen; CEACAM1; CEAM1; meconium antigen 100; anti-CEACAM1 antibody
Host
Rabbit
Reactivity
Rat
Clonality
Polyclonal
Isotype
IgG
Purity/Purification
Antigen Affinity Purification
Form/Format
PBS with 0.05% Proclin300, 50% glycerol, pH7.3.
Concentration
1mg/mL (varies by lot)
Sequence Length
519
Applicable Applications for anti-CEACAM1 antibody
IHC (Immunohistochemistry), WB (Western Blot)
Immunogen
Recombinant Rat Carcinoembryonic antigen-related cell adhesion molecule 1 protein
Conjugation
Unconjugated
Preparation and Storage
Store at -20?. Avoid freeze/ thaw cycles.
Related Product Information for anti-CEACAM1 antibody
This gene encodes a member of the carcinoembryonic antigen (CEA) gene family, which belongs to the immunoglobulin superfamily. Two subgroups of the CEA family, the CEA cell adhesion molecules and the pregnancy-specific glycoproteins, are located within a 1.2 Mb cluster on the long arm of chromosome 19. Eleven pseudogenes of the CEA cell adhesion molecule subgroup are also found in the cluster. The encoded protein was originally described in bile ducts of liver as biliary glycoprotein. Subsequently, it was found to be a cell-cell adhesion molecule detected on leukocytes, epithelia, and endothelia. The encoded protein mediates cell adhesion via homophilic as well as heterophilic binding to other proteins of the subgroup.
Product Categories/Family for anti-CEACAM1 antibody
NCBI and Uniprot Product Information
NCBI GI #
NCBI GeneID
NCBI Accession #
NCBI GenBank Nucleotide #
UniProt Accession #
Molecular Weight
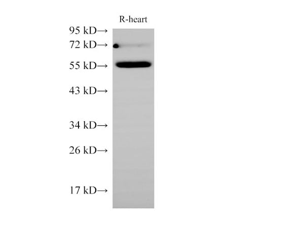
Calculated MW: 57,50kDa
Observed MW: 57kDa
Observed MW: 57kDa
NCBI Official Full Name
carcinoembryonic antigen-related cell adhesion molecule 1 isoform 1
NCBI Official Synonym Full Names
CEA cell adhesion molecule 1
NCBI Official Symbol
Ceacam1
NCBI Official Synonym Symbols
Bgp; BGPR; CD66a; Ccam1
NCBI Protein Information
carcinoembryonic antigen-related cell adhesion molecule 1
UniProt Protein Name
Carcinoembryonic antigen-related cell adhesion molecule 1
UniProt Gene Name
Ceacam1
UniProt Synonym Gene Names
C-CAM 105
UniProt Entry Name
CEAM1_RAT
Similar Products
Product Notes
The CEACAM1 ceacam1 (Catalog #AAA176962) is an Antibody produced from Rabbit and is intended for research purposes only. The product is available for immediate purchase. The CEACAM1 Polyclonal Antibody reacts with Rat and may cross-react with other species as described in the data sheet. AAA Biotech's CEACAM1 can be used in a range of immunoassay formats including, but not limited to, IHC (Immunohistochemistry), WB (Western Blot). Researchers should empirically determine the suitability of the CEACAM1 ceacam1 for an application not listed in the data sheet. Researchers commonly develop new applications and it is an integral, important part of the investigative research process. It is sometimes possible for the material contained within the vial of "CEACAM1, Polyclonal Antibody" to become dispersed throughout the inside of the vial, particularly around the seal of said vial, during shipment and storage. We always suggest centrifuging these vials to consolidate all of the liquid away from the lid and to the bottom of the vial prior to opening. Please be advised that certain products may require dry ice for shipping and that, if this is the case, an additional dry ice fee may also be required.Precautions
All products in the AAA Biotech catalog are strictly for research-use only, and are absolutely not suitable for use in any sort of medical, therapeutic, prophylactic, in-vivo, or diagnostic capacity. By purchasing a product from AAA Biotech, you are explicitly certifying that said products will be properly tested and used in line with industry standard. AAA Biotech and its authorized distribution partners reserve the right to refuse to fulfill any order if we have any indication that a purchaser may be intending to use a product outside of our accepted criteria.Disclaimer
Though we do strive to guarantee the information represented in this datasheet, AAA Biotech cannot be held responsible for any oversights or imprecisions. AAA Biotech reserves the right to adjust any aspect of this datasheet at any time and without notice. It is the responsibility of the customer to inform AAA Biotech of any product performance issues observed or experienced within 30 days of receipt of said product. To see additional details on this or any of our other policies, please see our Terms & Conditions page.Item has been added to Shopping Cart
If you are ready to order, navigate to Shopping Cart and get ready to checkout.
