Rabbit anti-Human CEACAM6 Polyclonal Antibody | anti-CEACAM6 antibody
CEACAM6 antibody - middle region
WB (Western Blot)
(WB Suggested Anti-CEACAM6 Antibody Titration: 1.25ug/mlPositive Control: Jurkat cell lysate)
WB (Western Blot)
(Host: RabbitTarget Name: CEACAM6Sample Type: JurkatLane A: Primary AntibodyLane B: Primary Antibody + Blocking PeptidePrimary Antibody Concentration: 1.25ug/mLPeptide Concentration: 1.0ug/mLLysate Quantity: 25ug/laneGel Concentration: 12%)
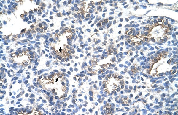
IHC (Immunohistochemistry)
(Rabbit Anti-CEACAM6 AntibodyParaffin Embedded Tissue: Human LungCellular Data: Alveolar cellsAntibody Concentration: 4.0-8.0 ug/mlMagnification: 400X)
Target Description: Many breast, pancreatic, colonic and non-small-cell lung carcinoma lines express CEACAM6 and CEACAM5, and antibodies to both can affect tumor cell growth in vitro and in vivo. CEACAM6 expression is elevated in many solid tumors, but variable as a function of histotype. It may be a promising target for antibody-based therapy.
NCBI and Uniprot Product Information
Customer Reviews
Loading reviews...
Share Your Experience
Similar Products
Product Notes
The CEACAM6 ceacam6 (Catalog #AAA198930) is an Antibody produced from Rabbit and is intended for research purposes only. The product is available for immediate purchase. The CEACAM6 antibody - middle region reacts with Human and may cross-react with other species as described in the data sheet. AAA Biotech's CEACAM6 can be used in a range of immunoassay formats including, but not limited to, WB (Western Blot), IHC (Immunohistochemistry). Researchers should empirically determine the suitability of the CEACAM6 ceacam6 for an application not listed in the data sheet. Researchers commonly develop new applications and it is an integral, important part of the investigative research process. The amino acid sequence is listed below: Synthetic peptide located within the following region: EIQNPASANR SDPVTLNVLY GPDGPTISPS KANYRPGENL NLSCHAASNP. It is sometimes possible for the material contained within the vial of "CEACAM6, Polyclonal Antibody" to become dispersed throughout the inside of the vial, particularly around the seal of said vial, during shipment and storage. We always suggest centrifuging these vials to consolidate all of the liquid away from the lid and to the bottom of the vial prior to opening. Please be advised that certain products may require dry ice for shipping and that, if this is the case, an additional dry ice fee may also be required.Precautions
All products in the AAA Biotech catalog are strictly for research-use only, and are absolutely not suitable for use in any sort of medical, therapeutic, prophylactic, in-vivo, or diagnostic capacity. By purchasing a product from AAA Biotech, you are explicitly certifying that said products will be properly tested and used in line with industry standard. AAA Biotech and its authorized distribution partners reserve the right to refuse to fulfill any order if we have any indication that a purchaser may be intending to use a product outside of our accepted criteria.Disclaimer
Though we do strive to guarantee the information represented in this datasheet, AAA Biotech cannot be held responsible for any oversights or imprecisions. AAA Biotech reserves the right to adjust any aspect of this datasheet at any time and without notice. It is the responsibility of the customer to inform AAA Biotech of any product performance issues observed or experienced within 30 days of receipt of said product. To see additional details on this or any of our other policies, please see our Terms & Conditions page.Item has been added to Shopping Cart
If you are ready to order, navigate to Shopping Cart and get ready to checkout.
