Chk2 Polyclonal Antibody | anti-Chk2 antibody
Anti-Chk2 Antibody
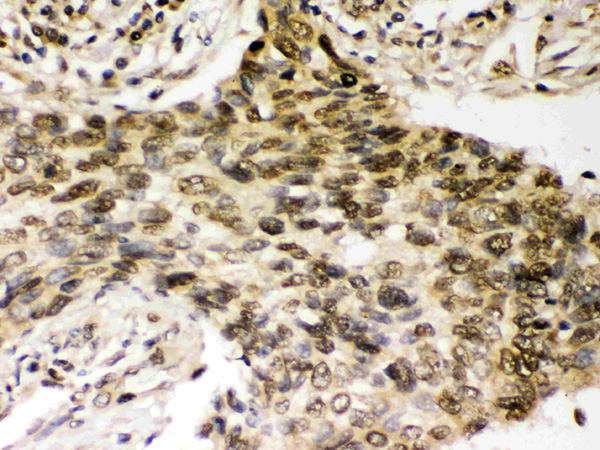
IHC (Immunohiostchemistry)
(Anti- Chk2 Picoband antibody, AAA46376, IHC(P)IHC(P): Human Lung Cancer Tissue)
WB (Western Blot)
(Anti- Chk2 Picoband antibody, AAA46376, Western blottingAll lanes: Anti Chk2 (AAA46376) at 0.5ug/mlLane 1: Rat Spleen Tissue Lysate at 50ugLane 2: Mouse Testis Tissue Lysate at 50ugLane 3: SW620 Whole Cell Lysate at 40ugPredicted bind size: 65KDObserved bind size: 65KD)
Background: CHK2, a protein kinase that is activated in response to DNA damage, is involved in cell cycle arrest. Mapped on 22q12.1, CHK2 has a potential regulatory region rich in SQ and TQ amino acid pairs. It regulates BRCA1 function after DNA damage by phosphorylating serine-988 of BRCA1. Additionally, CHK2 can be modified by phosphorylation and activated in response to ionizing radiation, and can be also modified in response to hydroxyurea treatment. Furthermore, oligomerization of CHEK2 increases the efficiency of transautophosphorylation, resulting in the release of active CHEK2 monomers that proceed to enforce checkpoint control in irradiated cells. Moreover, CHK2 is a tumor suppressor gene conferring predisposition to sarcoma, breast cancer, and brain tumors, and that their observations provided a link between the central role of p53 inactivation in human cancer and the well-defined G2 checkpoint in yeast. There is a wide expression of small amounts of CHK2 mRNA with larger amounts in human testis, spleen, colon, and peripheral blood leukocytes.
NCBI and Uniprot Product Information
Customer Reviews
Loading reviews...
Share Your Experience
Similar Products
Product Notes
The Chk2 chek2 (Catalog #AAA46376) is an Antibody and is intended for research purposes only. The product is available for immediate purchase. The Anti-Chk2 Antibody reacts with Human, Mouse, Rat and may cross-react with other species as described in the data sheet. AAA Biotech's Chk2 can be used in a range of immunoassay formats including, but not limited to, IHC (Immunohistochemistry), WB (Western Blot). Researchers should empirically determine the suitability of the Chk2 chek2 for an application not listed in the data sheet. Researchers commonly develop new applications and it is an integral, important part of the investigative research process. It is sometimes possible for the material contained within the vial of "Chk2, Polyclonal Antibody" to become dispersed throughout the inside of the vial, particularly around the seal of said vial, during shipment and storage. We always suggest centrifuging these vials to consolidate all of the liquid away from the lid and to the bottom of the vial prior to opening. Please be advised that certain products may require dry ice for shipping and that, if this is the case, an additional dry ice fee may also be required.Precautions
All products in the AAA Biotech catalog are strictly for research-use only, and are absolutely not suitable for use in any sort of medical, therapeutic, prophylactic, in-vivo, or diagnostic capacity. By purchasing a product from AAA Biotech, you are explicitly certifying that said products will be properly tested and used in line with industry standard. AAA Biotech and its authorized distribution partners reserve the right to refuse to fulfill any order if we have any indication that a purchaser may be intending to use a product outside of our accepted criteria.Disclaimer
Though we do strive to guarantee the information represented in this datasheet, AAA Biotech cannot be held responsible for any oversights or imprecisions. AAA Biotech reserves the right to adjust any aspect of this datasheet at any time and without notice. It is the responsibility of the customer to inform AAA Biotech of any product performance issues observed or experienced within 30 days of receipt of said product. To see additional details on this or any of our other policies, please see our Terms & Conditions page.Item has been added to Shopping Cart
If you are ready to order, navigate to Shopping Cart and get ready to checkout.
